Skip to main content

ULK4 Antibody - BSA Free

Novus Biologicals, part of Bio-Techne | Catalog # NBP1-84739

Novus Biologicals, part of Bio-Techne
Catalog #
Availability
Size / Price
Qty
Loading...
NBP1-84739
NBP1-84739-25ul

Key Product Details

Species Reactivity

Human

Applications

Immunohistochemistry, Immunohistochemistry-Paraffin, Immunocytochemistry/ Immunofluorescence

Label

Unconjugated

Antibody Source

Polyclonal Rabbit IgG

Format

BSA Free

Concentration

Concentrations vary lot to lot. See vial label for concentration. If unlisted please contact technical services.

Product Specifications

Immunogen

This antibody was developed against Recombinant Protein corresponding to amino acids: LTREIKHKNIVTFHEWYETSNHLWLVVELCTGGSLKTVIAQDENLPEDVVREFGIDLISGLHHLHKLGILFCDISPRKILLEGPGTLKFSNFCLAKVEGENLEEFFALVAAEEGGGDNGENVLKKSMKSRVKGSPVYTAPEV

Reactivity Notes

Immunogen displays the following percentage of sequence identity for non-tested species: Mouse (87%)

Clonality

Polyclonal

Host

Rabbit

Isotype

IgG

Scientific Data Images for ULK4 Antibody - BSA Free

Immunocytochemistry/ Immunofluorescence: ULK4 Antibody [NBP1-84739]

Immunocytochemistry/ Immunofluorescence: ULK4 Antibody [NBP1-84739]

Immunocytochemistry/Immunofluorescence: ULK4 Antibody [NBP1-84739] - Immunofluorescent staining of human cell line A-431 shows localization to nucleoplasm & cytosol.
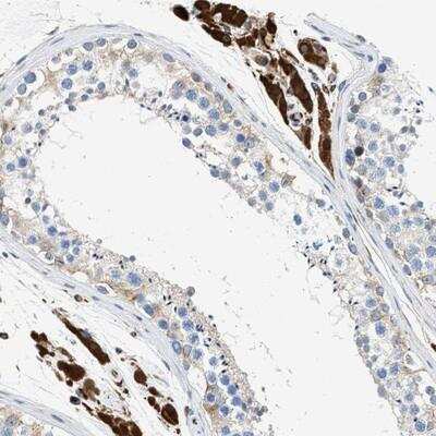
Immunohistochemistry-Paraffin: ULK4 Antibody [NBP1-84739]

Immunohistochemistry-Paraffin: ULK4 Antibody [NBP1-84739]

Immunohistochemistry-Paraffin: ULK4 Antibody [NBP1-84739] - Staining of human testis shows strong cytoplasmic positivity in Leydig cells.

Applications for ULK4 Antibody - BSA Free

Application
Recommended Usage

Immunocytochemistry/ Immunofluorescence

0.25-2 ug/ml

Immunohistochemistry

1:20 - 1:50

Immunohistochemistry-Paraffin

1:20 - 1:50
Application Notes
For IHC-Paraffin, HIER pH 6 retrieval is recommended. Immunocytochemistry/Immunofluorescence Fixation Permeabilization: Use PFA/Triton X-100.

Formulation, Preparation, and Storage

Purification

Affinity purified

Formulation

PBS (pH 7.2) and 40% Glycerol

Format

BSA Free

Preservative

0.02% Sodium Azide

Concentration

Concentrations vary lot to lot. See vial label for concentration. If unlisted please contact technical services.

Shipping

The product is shipped with polar packs. Upon receipt, store it immediately at the temperature recommended below.

Stability & Storage

Store at 4C short term. Aliquot and store at -20C long term. Avoid freeze-thaw cycles.

Background: ULK4

ULK4, also known as serine/threonine-protein kinase ULK4, is a 1275 amino acid that is 142 kDa that is inferred to be involved in ATP binding and protein serine/threonine kinase activity. Studies on this protein have shown a link with hypertension. ULK4 has text-mining interactions with C17orf57, PLEKA7, C10orf107 and P27348.

Alternate Names

DKFZp434E1822, EC 2.7.11.1, FAM7C1, FLJ20574, REC01035, serine/threonine-protein kinase ULK4, Unc-51-like kinase 4, unc-51-like kinase 4 (C. elegans)

Gene Symbol

ULK4

Additional ULK4 Products

Product Documents for ULK4 Antibody - BSA Free

Certificate of Analysis

To download a Certificate of Analysis, please enter a lot number in the search box below.

Product Specific Notices for ULK4 Antibody - BSA Free

This product is for research use only and is not approved for use in humans or in clinical diagnosis. Primary Antibodies are guaranteed for 1 year from date of receipt.

Loading...
Loading...
Loading...
Loading...
Loading...