Skip to main content

ULBP-3 Antibody - BSA Free

Novus Biologicals, part of Bio-Techne | Catalog # NBP2-31866

Novus Biologicals, part of Bio-Techne
Catalog #
Availability
Size / Price
Qty
Loading...
NBP2-31866
NBP2-31866-25ul

Key Product Details

Species Reactivity

Validated:

Human

Cited:

Human

Applications

Validated:

Immunohistochemistry, Immunohistochemistry-Paraffin, Immunocytochemistry/ Immunofluorescence

Cited:

Immunohistochemistry-Paraffin, IF/IHC

Label

Unconjugated

Antibody Source

Polyclonal Rabbit IgG

Format

BSA Free

Concentration

Concentrations vary lot to lot. See vial label for concentration. If unlisted please contact technical services.

Product Specifications

Immunogen

This antibody was developed against a recombinant protein corresponding to amino acids: AHSLWYNFTIIHLPRHGQQWCEVQSQVDQKNFLSYDCGSDKVLSMGHLEEQLYATDAWGKQLEM

Clonality

Polyclonal

Host

Rabbit

Isotype

IgG

Description

Novus Biologicals Rabbit ULBP-3 Antibody - BSA Free (NBP2-31866) is a polyclonal antibody validated for use in IHC and ICC/IF. Anti-ULBP-3 Antibody: Cited in 5 publications. All Novus Biologicals antibodies are covered by our 100% guarantee.

Scientific Data Images for ULBP-3 Antibody - BSA Free

Immunohistochemistry-Paraffin: ULBP-3 Antibody [NBP2-31866]

Immunohistochemistry-Paraffin: ULBP-3 Antibody [NBP2-31866]

Immunohistochemistry-Paraffin: ULBP-3 Antibody [NBP2-31866] - Staining of human testis shows moderate positivity in a subset of cells in seminiferous ducts.
Immunocytochemistry/ Immunofluorescence: ULBP-3 Antibody [NBP2-31866]

Immunocytochemistry/ Immunofluorescence: ULBP-3 Antibody [NBP2-31866]

Immunocytochemistry/Immunofluorescence: ULBP-3 Antibody [NBP2-31866] - Staining ULBP-3 in methanol-fixed, Jurkat cells using anti-ULBP-3 antibody. Image submitted by a verified customer review.
ULBP-3 Antibody - BSA Free

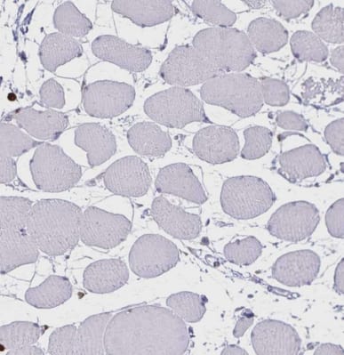
Immunohistochemistry-Paraffin: ULBP-3 Antibody [NBP2-31866] -

Immunohistochemistry-Paraffin: ULBP-3 Antibody [NBP2-31866] - Staining of human skeletal muscle shows no positivity in myocytes as expected.

Applications for ULBP-3 Antibody - BSA Free

Application
Recommended Usage

Immunocytochemistry/ Immunofluorescence

Validated from a verified customer review

Immunohistochemistry

1:500 - 1:1000

Immunohistochemistry-Paraffin

1:500 - 1:1000
Application Notes
For IHC-Paraffin, HIER pH 6 retrieval is recommended.

Reviewed Applications

Read 1 review rated 4 using NBP2-31866 in the following applications:

Formulation, Preparation, and Storage

Purification

Immunogen affinity purified

Formulation

PBS (pH 7.2) and 40% Glycerol

Format

BSA Free

Preservative

0.02% Sodium Azide

Concentration

Concentrations vary lot to lot. See vial label for concentration. If unlisted please contact technical services.

Shipping

The product is shipped with polar packs. Upon receipt, store it immediately at the temperature recommended below.

Stability & Storage

Store at 4C short term. Aliquot and store at -20C long term. Avoid freeze-thaw cycles.

Background: ULBP-3

Ligand for the NKG2D receptor, together with at least ULBP1 and ULBP2. ULBPs activate multiple signalingpathways in primary NK cells, resulting in the production of cytokines and chemokines. Binding of ULBPs ligands toNKG2D induces calcium mobilization and activation of the JAK2, STAT5, ERK and PI3K kinase/Akt signal transductionpathway. Has lower affinity for NKG2D compared to ULBP1 and ULBP2 and induces weaker signaling responses than doesULBP2 or ULBP1

Long Name

UL16 Binding Protein-3

Alternate Names

ULBP3

Gene Symbol

ULBP3

UniProt

Additional ULBP-3 Products

Product Documents for ULBP-3 Antibody - BSA Free

Certificate of Analysis

To download a Certificate of Analysis, please enter a lot number in the search box below.

Product Specific Notices for ULBP-3 Antibody - BSA Free

This product is for research use only and is not approved for use in humans or in clinical diagnosis. Primary Antibodies are guaranteed for 1 year from date of receipt.

Loading...
Loading...
Loading...
Loading...
Loading...