Skip to main content

UIP1 Antibody (JE65-32)

Novus Biologicals, part of Bio-Techne | Catalog # NBP3-33079

Recombinant Monoclonal Antibody
Novus Biologicals, part of Bio-Techne
Catalog #
Availability
Size / Price
Qty
Loading...
NBP3-33079

Key Product Details

Species Reactivity

Human

Applications

Immunohistochemistry, Immunohistochemistry-Paraffin, Western Blot

Label

Unconjugated

Antibody Source

Recombinant Monoclonal Rabbit IgG Clone # JE65-32 expressed in HEK293

Concentration

1 mg/ml

Product Specifications

Immunogen

Recombinant protein within human UIP1 aa 150-300/368. (Uniprot: Q99871)

Localization

Centrosome, spindle.

Clonality

Monoclonal

Host

Rabbit

Isotype

IgG

Theoretical MW

41 kDa.
Disclaimer note: The observed molecular weight of the protein may vary from the listed predicted molecular weight due to post translational modifications, post translation cleavages, relative charges, and other experimental factors.

Description

Novus Biologicals Rabbit UIP1 Antibody (JE65-32) (NBP3-33079) is a recombinant monoclonal antibody validated for use in IHC and WB. All Novus Biologicals antibodies are covered by our 100% guarantee.

Scientific Data Images for UIP1 Antibody (JE65-32)

UIP1 Antibody (JE65-32)

Western Blot: UIP1 Antibody (JE65-32) [NBP3-33079]

Western Blot: UIP1 Antibody (JE65-32) [NBP3-33079] - Western blot analysis of UIP1 on different lysates with Rabbit anti-UIP1 antibody (NBP3-33079) at 1/500 dilution.

Lane 1: 293T cell lysate
Lane 2: Hela cell lysate

Lysates/proteins at 10 ug/Lane.

Predicted band size: 41 kDa
Observed band size: 39 kDa

Exposure time: 2 minutes;

10% SDS-PAGE gel.

Proteins were transferred to a PVDF membrane and blocked with 5% NFDM/TBST for 1 hour at room temperature. The primary antibody (NBP3-33079) at 1/500 dilution was used in 5% NFDM/TBST at room temperature for 2 hours. Goat Anti-Rabbit IgG - HRP Secondary Antibody at 1:300,000 dilution was used for 1 hour at room temperature.
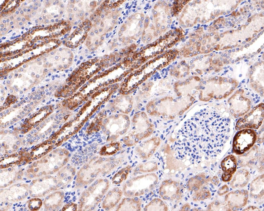
UIP1 Antibody (JE65-32)

Immunohistochemistry: UIP1 Antibody (JE65-32) [NBP3-33079]

Immunohistochemistry: UIP1 Antibody (JE65-32) [NBP3-33079] - Immunohistochemical analysis of paraffin-embedded human kidney tissue with Rabbit anti-UIP1 antibody (NBP3-33079) at 1/400 dilution.

The section was pre-treated using heat mediated antigen retrieval with Tris-EDTA buffer (pH 9.0) for 20 minutes. The tissues were blocked in 1% BSA for 20 minutes at room temperature, washed with ddH2O and PBS, and then probed with the primary antibody (NBP3-33079) at 1/400 dilution for 1 hour at room temperature. The detection was performed using an HRP conjugated compact polymer system. DAB was used as the chromogen. Tissues were counterstained with hematoxylin and mounted with DPX.

Applications for UIP1 Antibody (JE65-32)

Application
Recommended Usage

Immunohistochemistry-Paraffin

1:400

Western Blot

1:500

Formulation, Preparation, and Storage

Purification

Protein A purified

Formulation

1*TBS (pH7.4), 0.05% BSA and 40% Glycerol

Preservative

0.05% Sodium Azide

Concentration

1 mg/ml

Shipping

The product is shipped with polar packs. Upon receipt, store it immediately at the temperature recommended below.

Stability & Storage

Store at 4C short term. Aliquot and store at -20C long term. Avoid freeze-thaw cycles.

Background: UIP1

UIP1 encodes a protein identified by interaction with ubiquitin C-terminal hydrolase 37, which is thought to edit polyubiquitin chains on ubiquitinated substrates. Alternatively spliced transcripts encoding different isoforms have been described. [provided by RefSeq]

Alternate Names

26S proteasome-associated UCH37-interacting protein 1, expressed-Xq28STS protein, HAUS augmin-like complex subunit 7, HAUS augmin-like complex, subunit 7, UCH37 interacting protein 1, UCHL5 interacting protein, UCHL5-interacting protein, UCHL5IPHSXQ28ORF, UIP126S proteasome-associated UCH interacting protein 1, X-linked protein STS1769

Gene Symbol

HAUS7

Additional UIP1 Products

Product Documents for UIP1 Antibody (JE65-32)

Certificate of Analysis

To download a Certificate of Analysis, please enter a lot number in the search box below.

Product Specific Notices for UIP1 Antibody (JE65-32)

This product is for research use only and is not approved for use in humans or in clinical diagnosis. Primary Antibodies are guaranteed for 1 year from date of receipt.

Loading...
Loading...
Loading...
Loading...