Skip to main content

UGT1A9 Antibody - BSA Free

Novus Biologicals, part of Bio-Techne | Catalog # NBP3-35685

Novus Biologicals, part of Bio-Techne
Catalog #
Availability
Size / Price
Qty
Loading...
NBP3-35685-100ul
NBP3-35685-20ul

Key Product Details

Species Reactivity

Human, Mouse, Rat

Applications

Immunohistochemistry, Immunohistochemistry-Paraffin, Western Blot, ELISA

Label

Unconjugated

Antibody Source

Polyclonal Rabbit IgG

Format

BSA Free

Concentration

Please see the vial label for concentration. If unlisted please contact technical services.

Product Specifications

Immunogen

Recombinant fusion protein containing a sequence corresponding to amino acids 26-250 of human UGT1A9 (NP_066307.1).

Sequence:
GKLLVVPMDGSHWFTMRSVVEKLILRGHEVVVVMPEVSWQLGRSLNCTVKTYSTSYTLEDLDREFKAFAHAQWKAQVRSIYSLLMGSYNDIFDLFFSNCRSLFKDKKLVEYLKESSFDAVFLDPFDNCGLIVAKYFSLPSVVFARGILCHYLEEGAQCPAPLSYVPRILLGFSDAMTFKERVRNHIMHLEEHLLCHRFFKNALEIASEILQTPVTEYDLYSHTSI

Clonality

Polyclonal

Host

Rabbit

Isotype

IgG

Theoretical MW

60 kDa.
Disclaimer note: The observed molecular weight of the protein may vary from the listed predicted molecular weight due to post translational modifications, post translation cleavages, relative charges, and other experimental factors.

Description

Novus Biologicals Rabbit UGT1A9 Antibody - BSA Free (NBP3-35685) is a polyclonal antibody validated for use in IHC, WB and ELISA. All Novus Biologicals antibodies are covered by our 100% guarantee.

Scientific Data Images for UGT1A9 Antibody - BSA Free

UGT1A9 Antibody

Western Blot: UGT1A9 Antibody [NBP3-35685] -

Western Blot: UGT1A9 Antibody [NBP3-35685] - Western blot analysis of lysates from Mouse liver, using UGT1A9 Rabbit pAb at 1:1000 dilution.
Secondary antibody: HRP-conjugated Goat anti-Rabbit IgG (H+L) at 1:10000 dilution.
Lysates/proteins: 25ug per lane.
Blocking buffer: 3% nonfat dry milk in TBST.
Detection: ECL Basic Kit.
Exposure time: 90s.
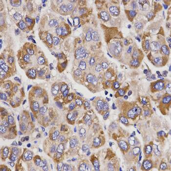
UGT1A9 Antibody

Immunohistochemistry: UGT1A9 Antibody [NBP3-35685] -

Immunohistochemistry: UGT1A9 Antibody [NBP3-35685] - Immunohistochemistry analysis of paraffin-embedded Human liver cancer using UGT1A9 Rabbit pAb at dilution of 1:200 (40x lens). Microwave antigen retrieval performed with 0.01M PBS Buffer (pH 7.2) prior to IHC staining.

Applications for UGT1A9 Antibody - BSA Free

Application
Recommended Usage

Immunohistochemistry-Paraffin

1:50 - 1:200

Western Blot

1:500 - 1:1000

Formulation, Preparation, and Storage

Purification

Affinity purified

Formulation

PBS (pH 7.3), 50% glycerol

Format

BSA Free

Preservative

0.02% Sodium Azide

Concentration

Please see the vial label for concentration. If unlisted please contact technical services.

Shipping

The product is shipped with polar packs. Upon receipt, store it immediately at the temperature recommended below.

Stability & Storage

Store at -20C. Avoid freeze-thaw cycles.

Background: UGT1A9

UGT1A9 encodes a UDP-glucuronosyltransferase, an enzyme of the glucuronidation pathway that transforms small lipophilic molecules, such as steroids, bilirubin, hormones, and drugs, into water-soluble, excretable metabolites. This gene is part of a complex locus that encodes several UDP-glucuronosyltransferases. The locus includes thirteen unique alternate first exons followed by four common exons. Four of the alternate first exons are considered pseudogenes. Each of the remaining nine 5' exons may be spliced to the four common exons, resulting in nine proteins with different N-termini and identical C-termini. Each first exon encodes the substrate binding site, and is regulated by its own promoter. The enzyme encoded by this gene is active on phenols. [provided by RefSeq]

Long Name

UDP Glucuronosyltransferase 1A9

Alternate Names

A12, LUGP4, UDPGT, UDPGT1-9, UGT1-09, UGT1-9, UGT1.9, UGT1I

Gene Symbol

UGT1A9

Additional UGT1A9 Products

Product Documents for UGT1A9 Antibody - BSA Free

Certificate of Analysis

To download a Certificate of Analysis, please enter a lot number in the search box below.

Product Specific Notices for UGT1A9 Antibody - BSA Free

This product is for research use only and is not approved for use in humans or in clinical diagnosis. Primary Antibodies are guaranteed for 1 year from date of receipt.

Loading...
Loading...
Loading...
Loading...