Skip to main content

UFSP2 Antibody (PSH03-57)

Novus Biologicals, part of Bio-Techne | Catalog # NBP3-33081

Recombinant Monoclonal Antibody
Novus Biologicals, part of Bio-Techne
Catalog #
Availability
Size / Price
Qty
Loading...
NBP3-33081

Key Product Details

Species Reactivity

Human, Mouse, Rat

Applications

Immunohistochemistry, Immunohistochemistry-Paraffin, Western Blot

Label

Unconjugated

Antibody Source

Recombinant Monoclonal Rabbit IgG Clone # PSH03-57 expressed in HEK293

Concentration

1 mg/ml

Product Specifications

Immunogen

Synthetic peptide within human UFSP2 aa 420-469 / 469. (Uniprot: Q9NUQ7)

Localization

Cytoplasm, Endoplasmic reticulum, Nucleus.

Clonality

Monoclonal

Host

Rabbit

Isotype

IgG

Theoretical MW

53 kDa.
Disclaimer note: The observed molecular weight of the protein may vary from the listed predicted molecular weight due to post translational modifications, post translation cleavages, relative charges, and other experimental factors.

Description

Novus Biologicals Rabbit UFSP2 Antibody (PSH03-57) (NBP3-33081) is a recombinant monoclonal antibody validated for use in IHC and WB. All Novus Biologicals antibodies are covered by our 100% guarantee.

Scientific Data Images for UFSP2 Antibody (PSH03-57)

UFSP2 Antibody (PSH03-57)

Western Blot: UFSP2 Antibody (PSH03-57) [NBP3-33081]

Western Blot: UFSP2 Antibody (PSH03-57) [NBP3-33081] - Western blot analysis of UFSP2 on different lysates with Rabbit anti-UFSP2 antibody (NBP3-33081) at 1/2,000 dilution.

Lane 1: 293T cell lysate
Lane 2: HeLa cell lysate
Lane 3: HepG2 cell lysate
Lane 4: U-87 MG cell lysate
Lane 5: Neuro-2a cell lysate
Lane 6: RAW264.7 cell lysate
Lane 7: PC-12 cell lysate
Lane 8: C6 cell lysate

Lysates/proteins at 30 ug/Lane.

Predicted band size: 92 kDa
Observed band size: 92 kDa

Exposure time: 1 minute 40 seconds;

4-20% SDS-PAGE gel.

Proteins were transferred to a PVDF membrane and blocked with 5% NFDM/TBST for 1 hour at room temperature. The primary antibody (NBP3-33081) at 1/2,000 dilution was used in 5% NFDM/TBST at 4C overnight. Goat Anti-Rabbit IgG - HRP Secondary Antibody at 1/50,000 dilution was used for 1 hour at room temperature.
UFSP2 Antibody (PSH03-57)

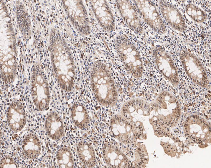
Immunohistochemistry: UFSP2 Antibody (PSH03-57) [NBP3-33081]

Immunohistochemistry: UFSP2 Antibody (PSH03-57) [NBP3-33081] - Immunohistochemical analysis of paraffin-embedded human colon tissue with Rabbit anti-UFSP2 antibody (NBP3-33081) at 1/200 dilution.

The section was pre-treated using heat mediated antigen retrieval with sodium citrate buffer (pH 6.0) for 2 minutes. The tissues were blocked in 1% BSA for 20 minutes at room temperature, washed with ddH2O and PBS, and then probed with the primary antibody (NBP3-33081) at 1/200 dilution for 1 hour at room temperature. The detection was performed using an HRP conjugated compact polymer system. DAB was used as the chromogen. Tissues were counterstained with hematoxylin and mounted with DPX.

Applications for UFSP2 Antibody (PSH03-57)

Application
Recommended Usage

Immunohistochemistry-Paraffin

1:200-1:500

Western Blot

1:2000

Formulation, Preparation, and Storage

Purification

Protein A purified

Formulation

PBS (pH7.4), 0.1% BSA and 40% Glycerol

Preservative

0.05% Sodium Azide

Concentration

1 mg/ml

Shipping

The product is shipped with polar packs. Upon receipt, store it immediately at the temperature recommended below.

Stability & Storage

Store at 4C short term. Aliquot and store at -20C long term. Avoid freeze-thaw cycles.

Background: UFSP2

Alternate Names

FLJ11200, UFM1-specific peptidase 2, ufm1-specific protease 2

Gene Symbol

UFSP2

Additional UFSP2 Products

Product Documents for UFSP2 Antibody (PSH03-57)

Certificate of Analysis

To download a Certificate of Analysis, please enter a lot number in the search box below.

Product Specific Notices for UFSP2 Antibody (PSH03-57)

This product is for research use only and is not approved for use in humans or in clinical diagnosis. Primary Antibodies are guaranteed for 1 year from date of receipt.

Loading...
Loading...
Loading...
Loading...