Skip to main content

UFL1 Antibody - BSA Free

Novus Biologicals, part of Bio-Techne | Catalog # NBP1-90693

Novus Biologicals, part of Bio-Techne
Catalog #
Availability
Size / Price
Qty
Loading...
NBP1-90693
NBP1-90693-25ul

Key Product Details

Species Reactivity

Validated:

Human

Predicted:

Mouse (93%), Rat (96%). Backed by our 100% Guarantee.

Applications

Immunohistochemistry, Immunohistochemistry-Paraffin

Label

Unconjugated

Antibody Source

Polyclonal Rabbit IgG

Format

BSA Free

Concentration

Concentrations vary lot to lot. See vial label for concentration. If unlisted please contact technical services.

Product Specifications

Immunogen

This antibody was developed against Recombinant Protein corresponding to amino acids: GLFSAITRPTAVNSLISKYGFQEQLLYSVLEELVNSGRLRGTVVGGRQDKAVFVPDIYSRTQSTWVDSFFRQNGYLEFDALSRLGIPDAVS

Clonality

Polyclonal

Host

Rabbit

Isotype

IgG

Scientific Data Images for UFL1 Antibody - BSA Free

Immunohistochemistry-Paraffin: UFL1 Antibody [NBP1-90693]

Immunohistochemistry-Paraffin: UFL1 Antibody [NBP1-90693]

Immunohistochemistry-Paraffin: UFL1 Antibody [NBP1-90693] - Staining of human urinary bladder shows cytoplasmic positivity in urothelial cells.
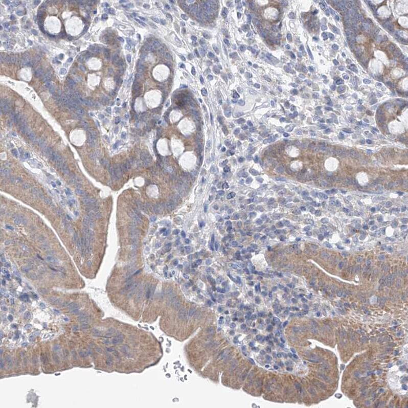
UFL1 Antibody - BSA Free Immunohistochemistry: UFL1 Antibody - BSA Free [NBP1-90693]

Immunohistochemistry: UFL1 Antibody - BSA Free [NBP1-90693]

Staining of human duodenum shows weak to moderate cytoplasmic positivity in glandular cells.
UFL1 Antibody - BSA Free Immunohistochemistry: UFL1 Antibody - BSA Free [NBP1-90693]

Immunohistochemistry: UFL1 Antibody - BSA Free [NBP1-90693]

Staining of human heart muscle shows moderate cytoplasmic positivity in cardiomyocytes.

Applications for UFL1 Antibody - BSA Free

Application
Recommended Usage

Immunohistochemistry

1:20 - 1:50

Immunohistochemistry-Paraffin

1:20 - 1:50
Application Notes
For IHC-Paraffin, HIER pH 6 retrieval is recommended.

Formulation, Preparation, and Storage

Purification

Affinity purified

Formulation

PBS (pH 7.2) and 40% Glycerol

Format

BSA Free

Preservative

0.02% Sodium Azide

Concentration

Concentrations vary lot to lot. See vial label for concentration. If unlisted please contact technical services.

Shipping

The product is shipped with polar packs. Upon receipt, store it immediately at the temperature recommended below.

Stability & Storage

Store at 4C short term. Aliquot and store at -20C long term. Avoid freeze-thaw cycles.

Background: UFL1

Alternate Names

E3 UFM1-protein ligase 1, EC 6.3.2.-, KIAA0776, LZAP-binding protein, NLBPnovel LZAP-binding protein, RP3-393D12.1, UFL1

Gene Symbol

UFL1

Additional UFL1 Products

Product Documents for UFL1 Antibody - BSA Free

Certificate of Analysis

To download a Certificate of Analysis, please enter a lot number in the search box below.

Product Specific Notices for UFL1 Antibody - BSA Free

This product is for research use only and is not approved for use in humans or in clinical diagnosis. Primary Antibodies are guaranteed for 1 year from date of receipt.

Loading...
Loading...
Loading...
Loading...