Skip to main content

UDP glucose dehydrogenase Antibody - BSA Free

Novus Biologicals, part of Bio-Techne | Catalog # NBP3-06479

Novus Biologicals, part of Bio-Techne

Key Product Details

Species Reactivity

Human

Applications

Immunohistochemistry, Immunohistochemistry-Paraffin, Western Blot, Immunoprecipitation

Label

Unconjugated

Antibody Source

Polyclonal Rabbit IgG

Format

BSA Free

Concentration

Please see the vial label for concentration. If unlisted please contact technical services.

Product Specifications

Immunogen

Produced in rabbits immunized with E. coli-derived Human UDP glucose dehydrogenase fragment.

Clonality

Polyclonal

Host

Rabbit

Isotype

IgG

Description

This antibody can be stored at 2C-8C for one month without detectable loss of activity. Antibody products are stable for twelve months from date of receipt when stored at -20C to -80C. Avoid repeated freeze-thaw cycles.

Scientific Data Images for UDP glucose dehydrogenase Antibody - BSA Free

Western Blot: UDP glucose dehydrogenase Antibody [NBP3-06479]

Western Blot: UDP glucose dehydrogenase Antibody [NBP3-06479]

Western Blot: UDP glucose dehydrogenase Antibody [NBP3-06479] - Lane A: HeLa Whole Cell LysateLane B: Jurkat Whole Cell LysateLane C: NIH/3T3 Whole Cell LysateLysates/proteins at 30 ug per lane.SecondaryGoat Anti-Rabbit IgG (H+L)/HRP at 1/10000 dilution.Developed using the ECL technique.Performed under reducing conditions.Predicted band size:55 kDaObserved band size:57 kDa
Immunohistochemistry-Paraffin: UDP glucose dehydrogenase Antibody [NBP3-06479]

Immunohistochemistry-Paraffin: UDP glucose dehydrogenase Antibody [NBP3-06479]

Immunohistochemistry-Paraffin: UDP glucose dehydrogenase Antibody [NBP3-06479] - Staining of human UGDH in human prostate with rabbit polyclonal antibody at 1:100 dilution.
Immunohistochemistry-Paraffin: UDP glucose dehydrogenase Antibody [NBP3-06479]

Immunohistochemistry-Paraffin: UDP glucose dehydrogenase Antibody [NBP3-06479]

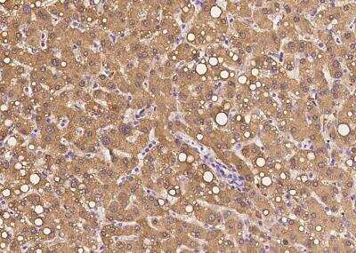
Immunohistochemistry-Paraffin: UDP glucose dehydrogenase Antibody [NBP3-06479] - Staining of human UGDH in human liver with rabbit polyclonal antibody at 1:100 dilution.

Applications for UDP glucose dehydrogenase Antibody - BSA Free

Application
Recommended Usage

Immunohistochemistry-Paraffin

1:50-1:200

Immunoprecipitation

1-5uL/mg of lysate

Western Blot

1:500-1:2000

Formulation, Preparation, and Storage

Purification

Antigen and protein A Affinity-purified

Formulation

PBS

Format

BSA Free

Preservative

0.03% Proclin 300

Concentration

Please see the vial label for concentration. If unlisted please contact technical services.

Shipping

The product is shipped with polar packs. Upon receipt, store it immediately at the temperature recommended below.

Stability & Storage

Store at 4C short term. Aliquot and store at -20C long term. Avoid freeze-thaw cycles.

Background: UDP glucose dehydrogenase

UDP glucose dehydrogenase is encoded by this gene converts UDP-glucose to UDP-glucuronate and thereby participates in the biosynthesis of glycosaminoglycans such as hyaluronan, chondroitin sulfate, and heparan sulfate. These glycosylated compounds are common components of the extracellular matrix and likely play roles in signal transduction, cell migration, and cancer growth and metastasis. The expression of this gene is up-regulated by transforming growth factor beta and down-regulated by hypoxia. [provided by RefSeq]

Alternate Names

EC 1.1.1.22, GDH, UDPGDHUDP-glucose dehydrogenase, UDP-Glc dehydrogenase, UDP-GlcDH, UDP-glucose 6-dehydrogenase, UGD, uridine diphospho-glucose dehydrogenase

Gene Symbol

UGDH

Additional UDP glucose dehydrogenase Products

Product Documents for UDP glucose dehydrogenase Antibody - BSA Free

Certificate of Analysis

To download a Certificate of Analysis, please enter a lot number in the search box below.

Product Specific Notices for UDP glucose dehydrogenase Antibody - BSA Free

This product is for research use only and is not approved for use in humans or in clinical diagnosis. Primary Antibodies are guaranteed for 1 year from date of receipt.

Loading...
Loading...
Loading...
Loading...