Skip to main content

UBXN7 Antibody - BSA Free

Novus Biologicals, part of Bio-Techne | Catalog # NBP2-47589

Novus Biologicals, part of Bio-Techne
Catalog #
Availability
Size / Price
Qty
Loading...
NBP2-47589-25ul
NBP2-47589

Key Product Details

Validated by

Orthogonal Validation

Species Reactivity

Validated:

Human

Predicted:

Mouse (100%), Rat (100%). Backed by our 100% Guarantee.

Applications

Immunohistochemistry, Immunohistochemistry-Paraffin, Western Blot, Immunocytochemistry/ Immunofluorescence

Label

Unconjugated

Antibody Source

Polyclonal Rabbit IgG

Format

BSA Free

Concentration

Concentrations vary lot to lot. See vial label for concentration. If unlisted please contact technical services.

Product Specifications

Immunogen

This antibody was developed against a recombinant protein corresponding to amino acids: FGAPKRRRPARSIFDGFRDFQTETIRQEQELRNGGAIDKKLTTLADLFRPPIDLMHKGSFETAKECGQMQNKWLMINIQNVQDFACQCLNRDVWSNEAVK

Clonality

Polyclonal

Host

Rabbit

Isotype

IgG

Scientific Data Images for UBXN7 Antibody - BSA Free

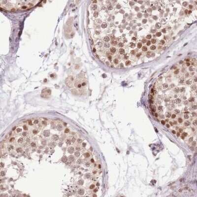
Immunohistochemistry-Paraffin: UBXN7 Antibody [NBP2-47589]

Immunohistochemistry-Paraffin: UBXN7 Antibody [NBP2-47589]

Immunohistochemistry-Paraffin: UBXN7 Antibody [NBP2-47589] - Staining in human testis and skeletal muscle tissues using anti-UBXN7 antibody. Corresponding UBXN7 RNA-seq data are presented for the same tissues.
Immunocytochemistry/ Immunofluorescence: UBXN7 Antibody [NBP2-47589]

Immunocytochemistry/ Immunofluorescence: UBXN7 Antibody [NBP2-47589]

Immunocytochemistry/Immunofluorescence: UBXN7 Antibody [NBP2-47589] - Immunofluorescent staining of human cell line CACO-2 shows localization to nucleoplasm.
Immunohistochemistry-Paraffin: UBXN7 Antibody [NBP2-47589]

Immunohistochemistry-Paraffin: UBXN7 Antibody [NBP2-47589]

Immunohistochemistry-Paraffin: UBXN7 Antibody [NBP2-47589] - Staining of human testis shows high expression.

Applications for UBXN7 Antibody - BSA Free

Application
Recommended Usage

Immunocytochemistry/ Immunofluorescence

0.25-2 ug/ml

Immunohistochemistry

1:500 - 1:1000

Immunohistochemistry-Paraffin

1:500 - 1:1000

Western Blot

0.04-0.4 ug/ml
Application Notes
IHC-Paraffin, HIER pH 6 retrieval is recommended. ICC/IF,Fixation Permeabilization: Use PFA/Triton X-100.

Formulation, Preparation, and Storage

Purification

Affinity purified

Formulation

PBS (pH 7.2) and 40% Glycerol

Format

BSA Free

Preservative

0.02% Sodium Azide

Concentration

Concentrations vary lot to lot. See vial label for concentration. If unlisted please contact technical services.

Shipping

The product is shipped with polar packs. Upon receipt, store it immediately at the temperature recommended below.

Stability & Storage

Store at 4C short term. Aliquot and store at -20C long term. Avoid freeze-thaw cycles.

Background: UBXN7

Alternate Names

KIAA0794, UBX domain containing 7, UBX domain protein 7, UBX domain-containing protein 7, UBXD7

Gene Symbol

UBXN7

Additional UBXN7 Products

Product Documents for UBXN7 Antibody - BSA Free

Certificate of Analysis

To download a Certificate of Analysis, please enter a lot number in the search box below.

Product Specific Notices for UBXN7 Antibody - BSA Free

This product is for research use only and is not approved for use in humans or in clinical diagnosis. Primary Antibodies are guaranteed for 1 year from date of receipt.

Loading...
Loading...
Loading...
Loading...