Skip to main content

UBXN1 Antibody - BSA Free

Novus Biologicals, part of Bio-Techne | Catalog # NBP2-20795

Novus Biologicals, part of Bio-Techne
Catalog #
Availability
Size / Price
Qty
Loading...
NBP2-20795

Key Product Details

Species Reactivity

Human, Mouse

Applications

Immunohistochemistry, Immunohistochemistry-Paraffin, Western Blot, Immunocytochemistry/ Immunofluorescence

Label

Unconjugated

Antibody Source

Polyclonal Rabbit IgG

Format

BSA Free

Concentration

Concentrations vary lot to lot. See vial label for concentration. If unlisted please contact technical services.

Product Specifications

Immunogen

Recombinant protein encompassing a sequence within the center region of human UBXN1. The exact sequence is proprietary.

Localization

Cytoplasm

Clonality

Polyclonal

Host

Rabbit

Isotype

IgG

Theoretical MW

35 kDa.
Disclaimer note: The observed molecular weight of the protein may vary from the listed predicted molecular weight due to post translational modifications, post translation cleavages, relative charges, and other experimental factors.

Description

Novus Biologicals Rabbit UBXN1 Antibody - BSA Free (NBP2-20795) is a polyclonal antibody validated for use in IHC, WB and ICC/IF. All Novus Biologicals antibodies are covered by our 100% guarantee.

Scientific Data Images for UBXN1 Antibody - BSA Free

Western Blot: UBXN1 Antibody [NBP2-20795]

Western Blot: UBXN1 Antibody [NBP2-20795]

Western Blot: UBXN1 Antibody [NBP2-20795] - Sample (30 ug of whole cell lysate) A: NIH-3T3 B: JC C: BCL-1 10% SDS PAGE gel, diluted at 1:3000.
Immunocytochemistry/ Immunofluorescence: UBXN1 Antibody [NBP2-20795]

Immunocytochemistry/ Immunofluorescence: UBXN1 Antibody [NBP2-20795]

Immunocytochemistry/Immunofluorescence: UBXN1 Antibody [NBP2-20795] - Immunofluorescence analysis of methanol-fixed HeLa, using antibody at 1:500 dilution.
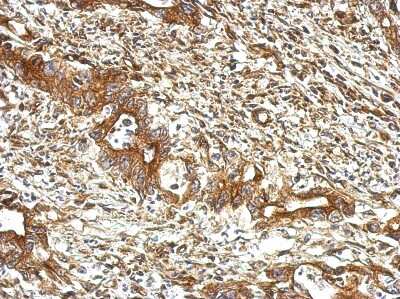
Immunohistochemistry-Paraffin: UBXN1 Antibody [NBP2-20795]

Immunohistochemistry-Paraffin: UBXN1 Antibody [NBP2-20795]

Immunohistochemistry-Paraffin: UBXN1 Antibody [NBP2-20795] - Immunohistochemical analysis of paraffin-embedded Colon ca, using antibody at 1:500 dilution.

Applications for UBXN1 Antibody - BSA Free

Application
Recommended Usage

Immunocytochemistry/ Immunofluorescence

1:100-1:1000

Immunohistochemistry

10 - 1:500

Immunohistochemistry-Paraffin

1:100-1:1000

Western Blot

1:500-1:3000

Formulation, Preparation, and Storage

Purification

Antigen Affinity-purified

Formulation

0.1M Tris, 0.1M Glycine, 20% Glycerol

Format

BSA Free

Preservative

0.01% Thimerosal

Concentration

Concentrations vary lot to lot. See vial label for concentration. If unlisted please contact technical services.

Shipping

The product is shipped with polar packs. Upon receipt, store it immediately at the temperature recommended below.

Stability & Storage

Aliquot and store at -20C or -80C. Avoid freeze-thaw cycles.

Background: UBXN1

Ubiquitin-binding protein that interacts with the BRCA1-BARD1 heterodimer, and regulates its activity. Specifically binds 'Lys-6'-linked polyubiquitin chains. Interaction with autoubiquitinated BRCA1, leads to inhibit the E3 ubiquitin-protein ligase activity of the BRCA1-BARD1 heterodimer. Component of a complex required to couple deglycosylation and proteasome-mediated degradation of misfolded proteins in the endoplasmic reticulun that are retrotranslocated in the cytosol.

Alternate Names

2B28, LOC51035, SAKS1UBA/UBX 33.3 kDa protein, SAPK substrate protein 1, UBX domain protein 1, UBX domain-containing protein 1, UBXD10

Gene Symbol

UBXN1

Additional UBXN1 Products

Product Documents for UBXN1 Antibody - BSA Free

Certificate of Analysis

To download a Certificate of Analysis, please enter a lot number in the search box below.

Product Specific Notices for UBXN1 Antibody - BSA Free

This product is for research use only and is not approved for use in humans or in clinical diagnosis. Primary Antibodies are guaranteed for 1 year from date of receipt.

Loading...
Loading...
Loading...
Loading...

⚠ WARNING: This product can expose you to chemicals including mercury, which is known to the State of California to cause reproductive toxicity with developmental effects.  For more information go to www.P65Warnings.ca.gov.