UBXN1 Antibody - BSA Free
Novus Biologicals, part of Bio-Techne | Catalog # NBP1-89387
Key Product Details
Species Reactivity
Human, Mouse, Rat
Applications
Immunohistochemistry, Immunohistochemistry-Paraffin, Western Blot, Immunocytochemistry/ Immunofluorescence
Label
Unconjugated
Antibody Source
Polyclonal Rabbit IgG
Format
BSA Free
Concentration
Concentrations vary lot to lot. See vial label for concentration. If unlisted please contact technical services.
Product Specifications
Immunogen
This antibody was developed against Recombinant Protein corresponding to amino acids: MAELTALESLIEMGFPRGRAEKALALTGNQGIEAAMDWLMEHEDDPDVDEPLETPLGHILGREPTSSEQGGLEGSGSAAGEGKPALSEEERQEQTKRMLELVAQKQREREEREEREALERERQRRRQGQELSAARQRLQEDEMRRAAEER
Clonality
Polyclonal
Host
Rabbit
Isotype
IgG
Scientific Data Images for UBXN1 Antibody - BSA Free
Immunocytochemistry/ Immunofluorescence: UBXN1 Antibody [NBP1-89387]
Immunocytochemistry/Immunofluorescence: UBXN1 Antibody [NBP1-89387] - Staining of human cell line U-2 OS shows localization to nucleoplasm. Antibody staining is shown in green.Immunohistochemistry-Paraffin: UBXN1 Antibody [NBP1-89387]
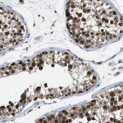
Immunohistochemistry-Paraffin: UBXN1 Antibody [NBP1-89387] - Staining of human testis shows strong cytoplasmic positivity in cells in seminiferous ducts.Immunohistochemistry-Paraffin: UBXN1 Antibody [NBP1-89387]
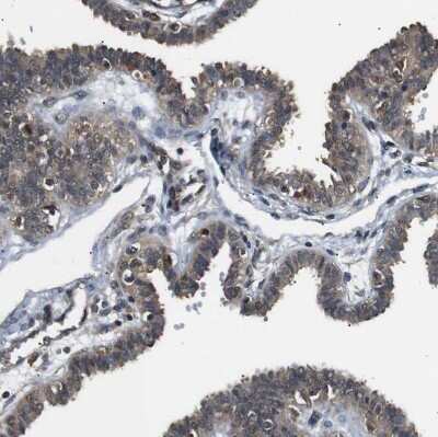
Immunohistochemistry-Paraffin: UBXN1 Antibody [NBP1-89387] - Staining of human fallopian tube shows moderate cytoplasmic positivity in glandular cells.Applications for UBXN1 Antibody - BSA Free
Application
Recommended Usage
Immunocytochemistry/ Immunofluorescence
0.25-2 ug/ml
Immunohistochemistry
1:200 - 1:500
Immunohistochemistry-Paraffin
1:200 - 1:500
Western Blot
0.04-0.4 ug/ml
Application Notes
For IHC-Paraffin, HIER pH 6 retrieval is recommended. ICC/IF Fixation Permeabilization: Use PFA/Triton X-100.
Formulation, Preparation, and Storage
Purification
Affinity purified
Formulation
PBS (pH 7.2) and 40% Glycerol
Format
BSA Free
Preservative
0.02% Sodium Azide
Concentration
Concentrations vary lot to lot. See vial label for concentration. If unlisted please contact technical services.
Shipping
The product is shipped with polar packs. Upon receipt, store it immediately at the temperature recommended below.
Stability & Storage
Store at 4C short term. Aliquot and store at -20C long term. Avoid freeze-thaw cycles.
Background: UBXN1
Alternate Names
2B28, LOC51035, SAKS1UBA/UBX 33.3 kDa protein, SAPK substrate protein 1, UBX domain protein 1, UBX domain-containing protein 1, UBXD10
Gene Symbol
UBXN1
Additional UBXN1 Products
Product Documents for UBXN1 Antibody - BSA Free
Product Specific Notices for UBXN1 Antibody - BSA Free
This product is for research use only and is not approved for use in humans or in clinical diagnosis. Primary Antibodies are guaranteed for 1 year from date of receipt.
Loading...
Loading...
Loading...
Loading...