UBQLN4/CIP75 Antibody - BSA Free
Novus Biologicals, part of Bio-Techne | Catalog # NBP1-77054
Conjugate
Catalog #
Key Product Details
Species Reactivity
Human, Mouse, Rat
Applications
Immunohistochemistry, Immunohistochemistry-Paraffin, Western Blot, ELISA
Label
Unconjugated
Antibody Source
Polyclonal Rabbit IgG
Format
BSA Free
Concentration
1 mg/ml
Product Specifications
Immunogen
Antibody was raised against an 18 amino acid synthetic peptide near the amino terminus of human CIP75. The immunogen is located within the first 50 amino acids of CIP75. Amino Acid Squence: SVKEFKEEISRRFKAQQD
Clonality
Polyclonal
Host
Rabbit
Isotype
IgG
Scientific Data Images for UBQLN4/CIP75 Antibody - BSA Free
Western Blot: UBQLN4/CIP75 AntibodyBSA Free [NBP1-77054]
Western Blot: UBQLN4/CIP75 Antibody [NBP1-77054] - 3T3 cell lysate with UBQLN4/CIP75 antibody at (A) 1 and (B) 2 ug/ml.Immunohistochemistry: UBQLN4/CIP75 Antibody - BSA Free [NBP1-77054] -
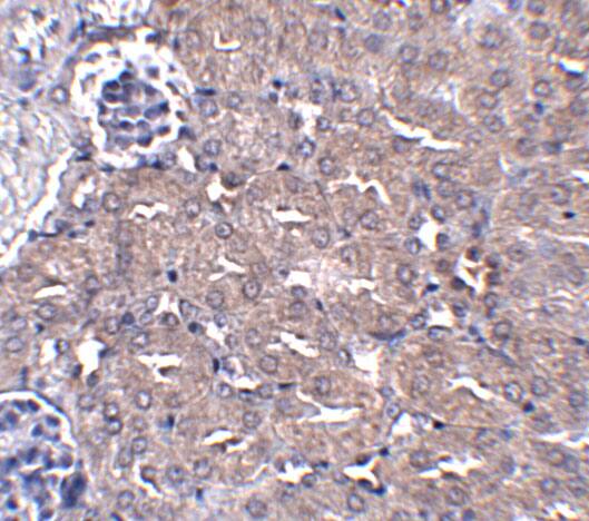
Immunohistochemistry: UBQLN4/CIP75 Antibody - BSA Free [NBP1-77054] - Immunohistochemistry of UBQLN4/CIP75 in mouse kidney tissue with UBQLN4/CIP75 antibody at 5 ug/mL.Applications for UBQLN4/CIP75 Antibody - BSA Free
Application
Recommended Usage
ELISA
1:100-1:2000
Immunohistochemistry
5 ug/ml
Immunohistochemistry-Paraffin
5 ug/ml
Western Blot
1-2 ug/ml
Formulation, Preparation, and Storage
Purification
Peptide affinity purified
Formulation
PBS
Format
BSA Free
Preservative
0.02% Sodium Azide
Concentration
1 mg/ml
Shipping
The product is shipped with polar packs. Upon receipt, store it immediately at the temperature recommended below.
Stability & Storage
Store at 4C short term. Aliquot and store at -20C long term. Avoid freeze-thaw cycles.
Background: UBQLN4/CIP75
Alternate Names
A1Uataxin-1 ubiquitin-like interacting protein, Ataxin-1 ubiquitin-like-interacting protein A1U, C1orf6ubiquilin-4, chromosome 1 open reading frame 6, UBINCIP75, ubiquilin 4
Gene Symbol
UBQLN4
UniProt
Additional UBQLN4/CIP75 Products
Product Documents for UBQLN4/CIP75 Antibody - BSA Free
Product Specific Notices for UBQLN4/CIP75 Antibody - BSA Free
This product is for research use only and is not approved for use in humans or in clinical diagnosis. Primary Antibodies are guaranteed for 1 year from date of receipt.
Loading...
Loading...
Loading...
Loading...