Skip to main content

UBPY/USP8 Antibody

Novus Biologicals, part of Bio-Techne | Catalog # NBP2-20792

Novus Biologicals, part of Bio-Techne
Catalog #
Availability
Size / Price
Qty
Loading...
NBP2-20792

Key Product Details

Species Reactivity

Human, Mouse

Applications

Immunohistochemistry, Immunohistochemistry-Paraffin, Western Blot, Immunocytochemistry/ Immunofluorescence, Immunoprecipitation

Label

Unconjugated

Antibody Source

Polyclonal Rabbit IgG

Concentration

Concentrations vary lot to lot. See vial label for concentration. If unlisted please contact technical services.

Product Specifications

Immunogen

Recombinant protein encompassing a sequence within the center region of human UBPY/USP8. The exact sequence is proprietary.

Clonality

Polyclonal

Host

Rabbit

Isotype

IgG

Theoretical MW

128 kDa.
Disclaimer note: The observed molecular weight of the protein may vary from the listed predicted molecular weight due to post translational modifications, post translation cleavages, relative charges, and other experimental factors.

Description

Novus Biologicals Rabbit UBPY/USP8 Antibody (NBP2-20792) is a polyclonal antibody validated for use in IHC, WB, ICC/IF and IP. All Novus Biologicals antibodies are covered by our 100% guarantee.

Scientific Data Images for UBPY/USP8 Antibody

Western Blot: UBPY/USP8 Antibody [NBP2-20792]

Western Blot: UBPY/USP8 Antibody [NBP2-20792]

Western Blot: UBPY/USP8 Antibody [NBP2-20792] - Various whole cell extracts (30 ug) were separated by 5% SDS-PAGE, and the membrane was blotted with USP8 antibody diluted at 1:5000. HRP-conjugated anti-rabbit IgG antibody was used to detect the primary antibody.
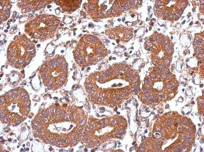
Immunohistochemistry-Paraffin: UBPY/USP8 Antibody [NBP2-20792]

Immunohistochemistry-Paraffin: UBPY/USP8 Antibody [NBP2-20792]

Immunohistochemistry-Paraffin: UBPY/USP8 Antibody [NBP2-20792] - Immunohistochemical analysis of paraffin-embedded Colon ca, using antibody at 1:500 dilution.
Immunoprecipitation: UBPY/USP8 Antibody [NBP2-20792]

Immunoprecipitation: UBPY/USP8 Antibody [NBP2-20792]

Immunoprecipitation: UBPY/USP8 Antibody [NBP2-20792] - Immunoprecipitation of USP8 protein from HCT-116 whole cell extracts using 5 ug of USP8 antibody. Western blot analysis was performed using USP8 antibody diluted at 1:500.

Applications for UBPY/USP8 Antibody

Application
Recommended Usage

Immunocytochemistry/ Immunofluorescence

1:100-1:1000

Immunohistochemistry

10 - 1:500

Immunohistochemistry-Paraffin

1:100-1:1000

Immunoprecipitation

1:100-1:500

Western Blot

1:1000-1:10000

Formulation, Preparation, and Storage

Purification

Antigen Affinity-purified

Formulation

PBS, 1% BSA, 20% Glycerol

Preservative

0.01% Thimerosal

Concentration

Concentrations vary lot to lot. See vial label for concentration. If unlisted please contact technical services.

Shipping

The product is shipped with polar packs. Upon receipt, store it immediately at the temperature recommended below.

Stability & Storage

Aliquot and store at -20C or -80C. Avoid freeze-thaw cycles.

Background: USP8

Ubiquitin Specific Peptidase 8 (USP8), also known as Ubiquitin Isopeptidase Y (UBPY), is a widely expressed deubiquitinating enzyme belonging to the peptidase C19 family. It has a predicted molecular weight of 127.5 kDa. Human USP8 is 1118 amino acids (aa) in length and shares 84% aa sequence identity with the mouse and rat orthologs. It contains an N-terminal MIT domain (aa 33-116) that mediates endosomal localization, CHMP-binding, and maintenance of ESCRT-0. USP8 also has a rhodanese domain (aa 181-319) that binds NRDP1 Ubiquitin ligase (E3), a SH3 domain binding sequence (aa 405-413), and a C-terminal catalytic domain (aa 734-1110). USP8 is a growth-regulated enzyme that controls the internalization and endocytic trafficking of cell surface receptors. Some receptors are targeted for internalization and degradation by ubiquitination. USP8 has been shown to disrupt the down-regulation of multiple receptors, including EGF R/ErbB1, ErbB2/Her2, and Smoothened, via their deubiquitination. Conversely, USP8 appears to have the opposite effect on the trafficking of CXCR4, PAR2, and the delta-opioid receptor. Depletion or catalytic inactivation of USP8 stabilized their expression. It is thought that deubiquitination of these receptors down-stream of the sorting endosome commits them to lysosomal degradation. USP8 can be phosphorylated at Ser680 allowing for 14-3-3-epsilon binding, which subsequently inhibits USP8 activity. Additionally, USP8 undergoes tyrosine phosphorylation at its N-terminus following EGF activation of the EGF R/ErbB1 / ErbB2/Her2 receptor complex.

Long Name

Ubiquitin Specific Protease 8

Alternate Names

UBPY

Gene Symbol

USP8

UniProt

Additional USP8 Products

Product Documents for UBPY/USP8 Antibody

Certificate of Analysis

To download a Certificate of Analysis, please enter a lot number in the search box below.

Product Specific Notices for UBPY/USP8 Antibody

This product is for research use only and is not approved for use in humans or in clinical diagnosis. Primary Antibodies are guaranteed for 1 year from date of receipt.

Loading...
Loading...
Loading...
Loading...

⚠ WARNING: This product can expose you to chemicals including mercury, which is known to the State of California to cause reproductive toxicity with developmental effects.  For more information go to www.P65Warnings.ca.gov.