Skip to main content

UBPY/USP8 Antibody

Novus Biologicals, part of Bio-Techne | Catalog # NBP1-50001

Novus Biologicals, part of Bio-Techne
Catalog #
Availability
Size / Price
Qty
Loading...
NBP1-50001

Key Product Details

Validated by

Independent Antibodies, Biological Validation

Species Reactivity

Human

Applications

Immunohistochemistry, Immunohistochemistry-Paraffin, Immunoprecipitation, Western Blot

Label

Unconjugated

Antibody Source

Polyclonal Rabbit IgG

Concentration

0.2 mg/ml

Product Specifications

Immunogen

The immunogen for this product maps to a region between residue 400 and 450 of human Ubiquitin Specific Peptidase 8 using the numbering given in entry NP_005145.3 (GeneID 9101).

Clonality

Polyclonal

Host

Rabbit

Isotype

IgG

Description

Novus Biologicals Rabbit UBPY/USP8 Antibody (NBP1-50001) is a polyclonal antibody validated for use in IHC, WB and IP. All Novus Biologicals antibodies are covered by our 100% guarantee.

Scientific Data Images for UBPY/USP8 Antibody

Western Blot: UBPY/USP8 Antibody [NBP1-50001]

Western Blot: UBPY/USP8 Antibody [NBP1-50001]

Western Blot: UBPY/USP8 Antibody [NBP1-50001] - Detection of Human USP8 by Western Blot and Immunoprecipitation. Samples: Whole cell lysate from HeLa (5, 15 and 50 mcg for WB; 1 mg for IP, 20% of IP loaded) and 293T (T; 50 mcg) cells. Antibodies: Affinity purified rabbit anti-USP8 antibody used for WB at 0.04 mcg/ml (A) and 0.4 mcg/ml (B) and used for IP at 3 mcg/mg lysate. USP8 was also immunoprecipitated by rabbit anti-USP8 antibody which recognizes a downstream epitope. For blotting immunoprecipitated USP8, the ReliaBLOT(R) Reagents and Procedures were used. Detection: Chemiluminescence with exposure times of 3 minutes (A) and 10 seconds (B).
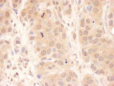
Immunohistochemistry-Paraffin: UBPY/USP8 Antibody [NBP1-50001]

Immunohistochemistry-Paraffin: UBPY/USP8 Antibody [NBP1-50001]

Immunohistochemistry-Paraffin: UBPY/USP8 Antibody [NBP1-50001] - FFPE section of human breast carcinoma. Antibody: Affinity purified rabbit anti-USP8 (NBP1-50001) used at a dilution of 1:200 (1ug/ml). Detection: DAB

Applications for UBPY/USP8 Antibody

Application
Recommended Usage

Immunohistochemistry

1:200 - 1:1000

Immunohistochemistry-Paraffin

1:200 - 1:1000

Immunoprecipitation

2-5 ug/mg lysate

Western Blot

1:2000-1:10000
Application Notes
Epitope retrieval with citrate buffer pH 6.0 is recommended for FFPE tissue sections.

Formulation, Preparation, and Storage

Purification

Immunogen affinity purified

Formulation

TBS and 0.1% BSA

Preservative

0.09% Sodium Azide

Concentration

0.2 mg/ml

Shipping

The product is shipped with polar packs. Upon receipt, store it immediately at the temperature recommended below.

Stability & Storage

Store at 4C. Do not freeze.

Background: USP8

Ubiquitin Specific Peptidase 8 (USP8), also known as Ubiquitin Isopeptidase Y (UBPY), is a widely expressed deubiquitinating enzyme belonging to the peptidase C19 family. It has a predicted molecular weight of 127.5 kDa. Human USP8 is 1118 amino acids (aa) in length and shares 84% aa sequence identity with the mouse and rat orthologs. It contains an N-terminal MIT domain (aa 33-116) that mediates endosomal localization, CHMP-binding, and maintenance of ESCRT-0. USP8 also has a rhodanese domain (aa 181-319) that binds NRDP1 Ubiquitin ligase (E3), a SH3 domain binding sequence (aa 405-413), and a C-terminal catalytic domain (aa 734-1110). USP8 is a growth-regulated enzyme that controls the internalization and endocytic trafficking of cell surface receptors. Some receptors are targeted for internalization and degradation by ubiquitination. USP8 has been shown to disrupt the down-regulation of multiple receptors, including EGF R/ErbB1, ErbB2/Her2, and Smoothened, via their deubiquitination. Conversely, USP8 appears to have the opposite effect on the trafficking of CXCR4, PAR2, and the delta-opioid receptor. Depletion or catalytic inactivation of USP8 stabilized their expression. It is thought that deubiquitination of these receptors down-stream of the sorting endosome commits them to lysosomal degradation. USP8 can be phosphorylated at Ser680 allowing for 14-3-3-epsilon binding, which subsequently inhibits USP8 activity. Additionally, USP8 undergoes tyrosine phosphorylation at its N-terminus following EGF activation of the EGF R/ErbB1 / ErbB2/Her2 receptor complex.

Long Name

Ubiquitin Specific Protease 8

Alternate Names

UBPY

Entrez Gene IDs

9101 (Human)

Gene Symbol

USP8

UniProt

Additional USP8 Products

Product Documents for UBPY/USP8 Antibody

Certificate of Analysis

To download a Certificate of Analysis, please enter a lot number in the search box below.

Product Specific Notices for UBPY/USP8 Antibody

This product is for research use only and is not approved for use in humans or in clinical diagnosis. Primary Antibodies are guaranteed for 1 year from date of receipt.

Loading...
Loading...
Loading...
Loading...