UBL7 Antibody - BSA Free
Novus Biologicals, part of Bio-Techne | Catalog # NBP3-28964
Key Product Details
Species Reactivity
Human, Mouse
Applications
Immunohistochemistry, Western Blot, Immunoprecipitation
Label
Unconjugated
Antibody Source
Polyclonal Rabbit IgG
Format
BSA Free
Concentration
Please see the vial label for concentration. If unlisted please contact technical services.
Product Specifications
Immunogen
between 330 and 380
Clonality
Polyclonal
Host
Rabbit
Isotype
IgG
Description
Novus Biologicals Rabbit UBL7 Antibody - BSA Free (NBP3-28964) is a polyclonal antibody validated for use in IHC, WB and IP. All Novus Biologicals antibodies are covered by our 100% guarantee.
Scientific Data Images for UBL7 Antibody - BSA Free
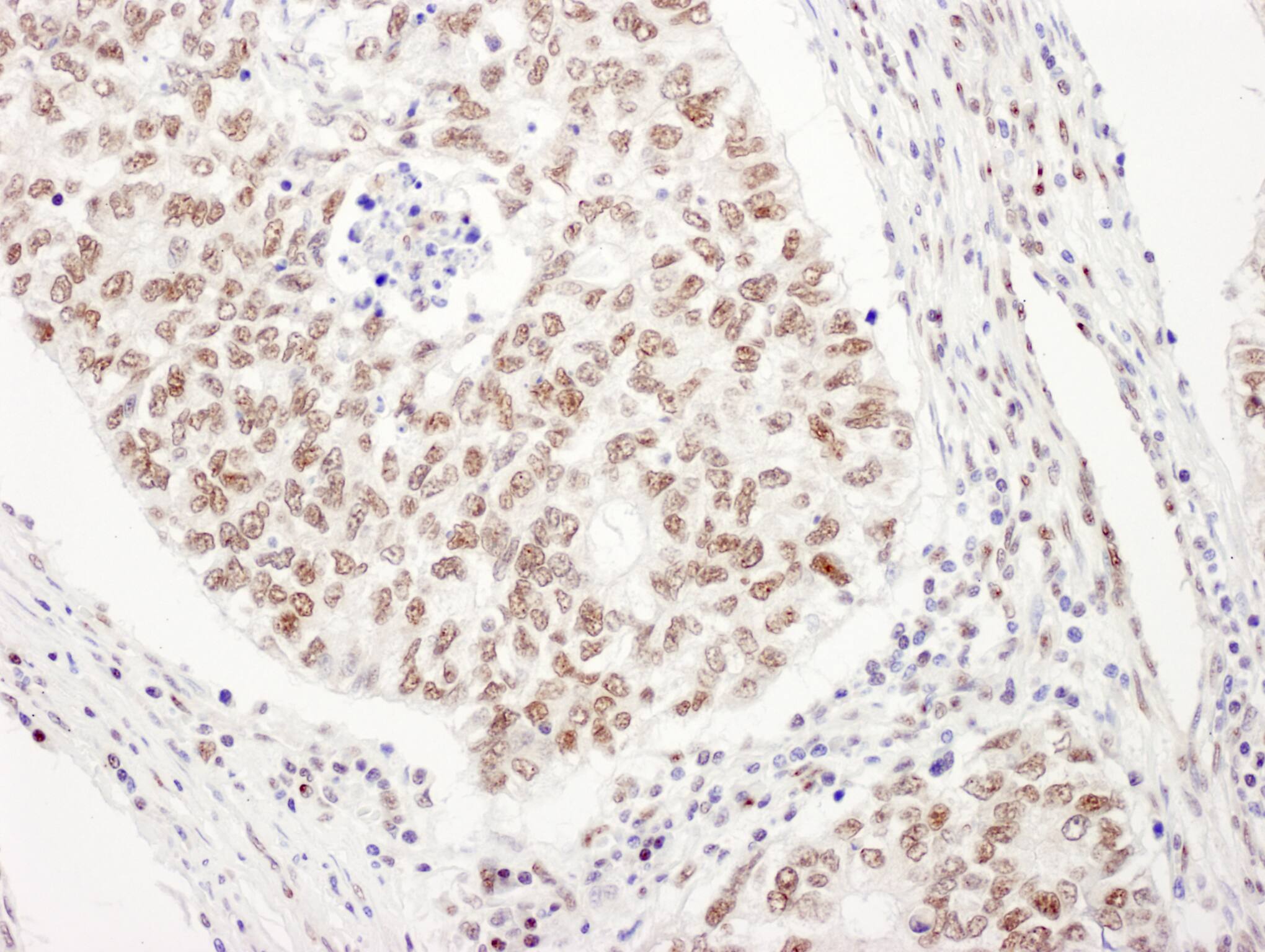
Immunohistochemistry;UBL7 Antibody[NBP3-28964]
Immunohistochemistry;UBL7 Antibody[NBP3-28964]Detection of human UBL7 by immunohistochemistry. Sample: FFPE section of human testicular seminoma. Antibody: Affinity purified rabbit anti-UBL7 used at a dilution of 1:1,000 . Detection: DABImmunohistochemistry;UBL7 Antibody[NBP3-28932]
Immunohistochemistry;UBL7 Antibody[NBP3-28932]Detection of human UBL7 by immunohistochemistry. Sample: FFPE section of human lung carcinoma. Antibody: Affinity purified rabbit anti-UBL7 used at a dilution of 1:1,000 . Detection: DABApplications for UBL7 Antibody - BSA Free
Application
Recommended Usage
Immunohistochemistry
Optimal dilutions of this antibody should be experimentally determined.
Immunoprecipitation
Optimal dilutions of this antibody should be experimentally determined.
Western Blot
Optimal dilutions of this antibody should be experimentally determined.
Formulation, Preparation, and Storage
Purification
Affinity purified
Formulation
Tris-citrate/phosphate buffer, pH 7 to 8
Format
BSA Free
Preservative
0.09% Sodium Azide
Concentration
Please see the vial label for concentration. If unlisted please contact technical services.
Shipping
The product is shipped with polar packs. Upon receipt, store it immediately at the temperature recommended below.
Stability & Storage
Store at 4C. Do not freeze.
Background: UBL7
Alternate Names
BMSCUBP, BMSC-UbPTCBA1, Bone marrow stromal cell ubiquitin-like protein, MGC14421, ubiquitin-like 7 (bone marrow stromal cell-derived), ubiquitin-like protein 7, Ubiquitin-like protein SB132
Gene Symbol
UBL7
Additional UBL7 Products
Product Specific Notices for UBL7 Antibody - BSA Free
This product is for research use only and is not approved for use in humans or in clinical diagnosis. Primary Antibodies are guaranteed for 1 year from date of receipt.
Loading...
Loading...
Loading...
Loading...