Skip to main content

UBL4B Antibody - BSA Free

Novus Biologicals, part of Bio-Techne | Catalog # NBP1-82054

Novus Biologicals, part of Bio-Techne
Catalog #
Availability
Size / Price
Qty
Loading...
NBP1-82054
NBP1-82054-25ul

Key Product Details

Validated by

Orthogonal Validation

Species Reactivity

Human

Applications

Immunohistochemistry, Immunohistochemistry-Paraffin, Western Blot

Label

Unconjugated

Antibody Source

Polyclonal Rabbit IgG

Format

BSA Free

Concentration

Concentrations vary lot to lot. See vial label for concentration. If unlisted please contact technical services.

Product Specifications

Immunogen

This antibody was developed against Recombinant Protein corresponding to amino acids: KVPEEQQHLLFRGQLLEDDKHLSDYCIGPNASINVIMQPLEKMALKEAHQPQTQPLWHQLGLVLAKHFEP

Clonality

Polyclonal

Host

Rabbit

Isotype

IgG

Scientific Data Images for UBL4B Antibody - BSA Free

Western Blot: UBL4B Antibody [NBP1-82054]

Western Blot: UBL4B Antibody [NBP1-82054]

Western Blot: UBL4B Antibody [NBP1-82054] - Analysis in control (vector only transfected HEK293T lysate) and UBL4B over-expression lysate (Co-expressed with a C-terminal myc-DDK tag (3.1 kDa) in mammalian HEK293T cells).
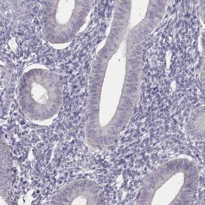
Immunohistochemistry-Paraffin: UBL4B Antibody [NBP1-82054]

Immunohistochemistry-Paraffin: UBL4B Antibody [NBP1-82054]

Immunohistochemistry-Paraffin: UBL4B Antibody [NBP1-82054] - Staining of human endometrium shows low expression as expected.
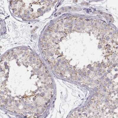
Immunohistochemistry-Paraffin: UBL4B Antibody [NBP1-82054]

Immunohistochemistry-Paraffin: UBL4B Antibody [NBP1-82054]

Immunohistochemistry-Paraffin: UBL4B Antibody [NBP1-82054] - Staining in human testis and endometrium tissues using anti-UBL4B antibody. Corresponding UBL4B RNA-seq data are presented for the same tissues.

Applications for UBL4B Antibody - BSA Free

Application
Recommended Usage

Immunohistochemistry

1:200 - 1:500

Immunohistochemistry-Paraffin

1:10-1:20

Western Blot

0.04-0.4 ug/ml
Application Notes
For IHC-Paraffin, HIER pH 6 retrieval is recommended. Immunocytochemistry/Immunofluorescence Fixation Permeabilization: Use PFA/Triton X-100.

Formulation, Preparation, and Storage

Purification

Affinity purified

Formulation

PBS (pH 7.2) and 40% Glycerol

Format

BSA Free

Preservative

0.02% Sodium Azide

Concentration

Concentrations vary lot to lot. See vial label for concentration. If unlisted please contact technical services.

Shipping

The product is shipped with polar packs. Upon receipt, store it immediately at the temperature recommended below.

Stability & Storage

Store at 4C short term. Aliquot and store at -20C long term. Avoid freeze-thaw cycles.

Background: UBL4B

Alternate Names

FLJ25690, ubiquitin-like 4B, ubiquitin-like protein 4B

Gene Symbol

UBL4B

Additional UBL4B Products

Product Documents for UBL4B Antibody - BSA Free

Certificate of Analysis

To download a Certificate of Analysis, please enter a lot number in the search box below.

Product Specific Notices for UBL4B Antibody - BSA Free

This product is for research use only and is not approved for use in humans or in clinical diagnosis. Primary Antibodies are guaranteed for 1 year from date of receipt.

Loading...
Loading...
Loading...
Loading...