Skip to main content

UBIAD1 Antibody - BSA Free

Novus Biologicals, part of Bio-Techne | Catalog # NBP2-93542

Novus Biologicals, part of Bio-Techne
Catalog #
Availability
Size / Price
Qty
Loading...
NBP2-93542-0.1ml
NBP2-93542-0.02ml

Key Product Details

Species Reactivity

Validated:

Human, Mouse, Rat

Cited:

Human

Applications

Validated:

Immunohistochemistry, Immunohistochemistry-Paraffin, Western Blot, Immunocytochemistry/ Immunofluorescence

Cited:

Western Blot

Label

Unconjugated

Antibody Source

Polyclonal Rabbit IgG

Format

BSA Free

Concentration

Please see the vial label for concentration. If unlisted please contact technical services.

Product Specifications

Immunogen

A synthetic peptide corresponding to a sequence within amino acids 1-100 of human UBIAD1 (NP_037451.1). MAASQVLGEKINILSGETVKAGDRDPLGNDCPEQDRLPQRSWRQKCASYVLALRPWSFSASLTPVALGSALAYRSHGVLDPRLLVGCAVAVLAVHGAGNL

Clonality

Polyclonal

Host

Rabbit

Isotype

IgG

Scientific Data Images for UBIAD1 Antibody - BSA Free

Western Blot: UBIAD1 AntibodyBSA Free [NBP2-93542]

Western Blot: UBIAD1 AntibodyBSA Free [NBP2-93542]

Western Blot: UBIAD1 Antibody [NBP2-93542] - Western blot analysis of extracts of HepG2 cells, using UBIAD1 Rabbit pAb (NBP2-93542) at 1:1000 dilution. Secondary antibody: HRP Goat Anti-Rabbit IgG (H+L) at 1:10000 dilution. Lysates/proteins: 25ug per lane. Blocking buffer: 3% nonfat dry milk in TBST. Detection: ECL Basic Kit. Exposure time: 30s.
Immunocytochemistry/ Immunofluorescence: UBIAD1 Antibody - BSA Free [NBP2-93542]

Immunocytochemistry/ Immunofluorescence: UBIAD1 Antibody - BSA Free [NBP2-93542]

Immunocytochemistry/Immunofluorescence: UBIAD1 Antibody [NBP2-93542] - Analysis of NIH/3T3 cells using UBIAD1 at dilution of 1:100. Blue: DAPI for nuclear staining.
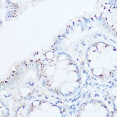
Immunohistochemistry-Paraffin: UBIAD1 Antibody - BSA Free [NBP2-93542]

Immunohistochemistry-Paraffin: UBIAD1 Antibody - BSA Free [NBP2-93542]

Immunohistochemistry-Paraffin: UBIAD1 Antibody [NBP2-93542] - Human colon using UBIAD1 Rabbit pAb (NBP2-93542) at dilution of 1:500 (40x lens). Perform high pressure antigen retrieval with 10 mM citrate buffer pH 6.0 before commencing with IHC staining protocol.

Applications for UBIAD1 Antibody - BSA Free

Application
Recommended Usage

Immunocytochemistry/ Immunofluorescence

1:50 - 1:200

Immunohistochemistry

1:100 - 1:500

Western Blot

1:500 - 1:2000

Formulation, Preparation, and Storage

Purification

Affinity purified

Formulation

PBS (pH 7.3), 50% glycerol

Format

BSA Free

Preservative

0.02% Sodium Azide

Concentration

Please see the vial label for concentration. If unlisted please contact technical services.

Shipping

The product is shipped with polar packs. Upon receipt, store it immediately at the temperature recommended below.

Stability & Storage

Store at -20C. Avoid freeze-thaw cycles.

Background: UBIAD1

UBIAD1 is a novel gene designated TERE1 that has a significant effect on the growth regulation in bladder cancer. The TERE1 gene maps to a chromosome locus that has been identified, in loss of heterozygosity studies, as a site of a putative tumor suppressor gene or genes for multiple tumor types including prostate carcinoma. Data suggest that TERE1 may be significant in prostate cancer growth regulation, and the down regulation or absence of TERE1 may be an important component of the phenotype of advanced disease. Data also suggest a potential role for this gene product in the progression of bladder cancer.

Alternate Names

EC 2.5.1.-, RP4-796F18.1, SCCD, Schnyder crystalline corneal dystrophy, TERE1transitional epithelia response protein, Transitional epithelial response protein 1, UbiA prenyltransferase domain containing 1, ubiA prenyltransferase domain-containing protein 1

Gene Symbol

UBIAD1

Additional UBIAD1 Products

Product Documents for UBIAD1 Antibody - BSA Free

Certificate of Analysis

To download a Certificate of Analysis, please enter a lot number in the search box below.

Product Specific Notices for UBIAD1 Antibody - BSA Free

This product is for research use only and is not approved for use in humans or in clinical diagnosis. Primary Antibodies are guaranteed for 1 year from date of receipt.

Loading...
Loading...
Loading...
Loading...