Skip to main content

UBE2N/Ubc13 Antibody - BSA Free

Novus Biologicals, part of Bio-Techne | Catalog # NBP1-76593

Novus Biologicals, part of Bio-Techne
Catalog #
Availability
Size / Price
Qty
Loading...
NBP1-76593SS
NBP1-76593

Key Product Details

Species Reactivity

Validated:

Human, Mouse, Rat

Predicted:

Bovine (100%). Backed by our 100% Guarantee.

Applications

Immunohistochemistry, Immunohistochemistry-Paraffin, Western Blot, ELISA, Immunocytochemistry/ Immunofluorescence

Label

Unconjugated

Antibody Source

Polyclonal Rabbit IgG

Format

BSA Free

Concentration

1 mg/ml

Product Specifications

Immunogen

Antibody was raised against a peptide corresponding to 15 amino acids near the C-terminus of human UBC13. The immunogen is located within the last 50 amino acids of UBC13. Amino Acid Squence: NPDDPLANDVAEQWK

Clonality

Polyclonal

Host

Rabbit

Isotype

IgG

Scientific Data Images for UBE2N/Ubc13 Antibody - BSA Free

Western Blot: UBE2N/Ubc13 AntibodyBSA Free [NBP1-76593]

Western Blot: UBE2N/Ubc13 AntibodyBSA Free [NBP1-76593]

Western Blot: UBE2N/Ubc13 Antibody [NBP1-76593] - Human small intestine cell lysates with Ube2N antibody at (A) 0.5, (B) 1, and (C) 2 ug/ml.
UBE2N/Ubc13 Antibody - BSA Free

Immunocytochemistry/ Immunofluorescence: UBE2N/Ubc13 Antibody - BSA Free [NBP1-76593] -

Immunocytochemistry/ Immunofluorescence: UBE2N/Ubc13 Antibody - BSA Free [NBP1-76593] - Immunofluorescence of UBE2N/Ubc13 in Mouse Thymus cells with UBE2N/Ubc13 antibody at 10 ug/mL.
UBE2N/Ubc13 Antibody - BSA Free

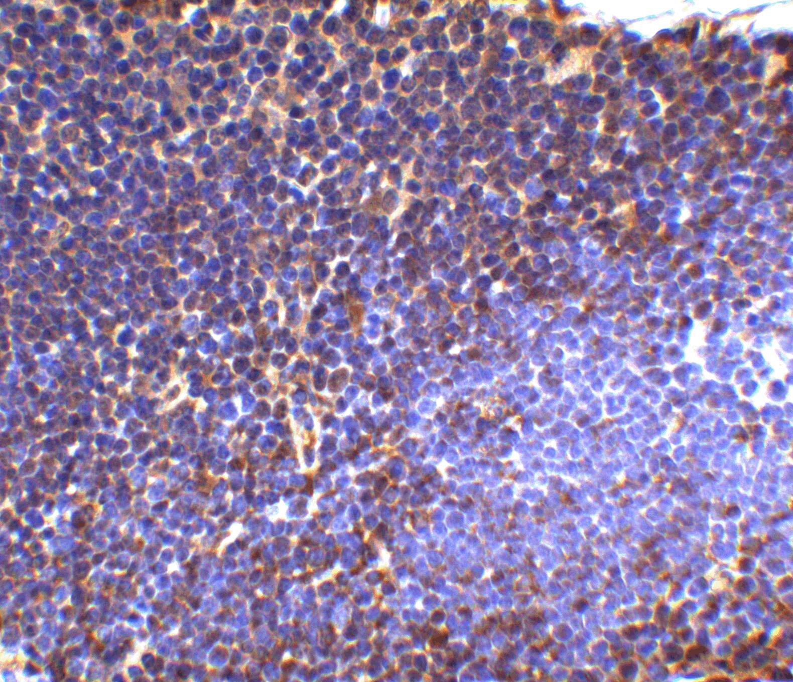
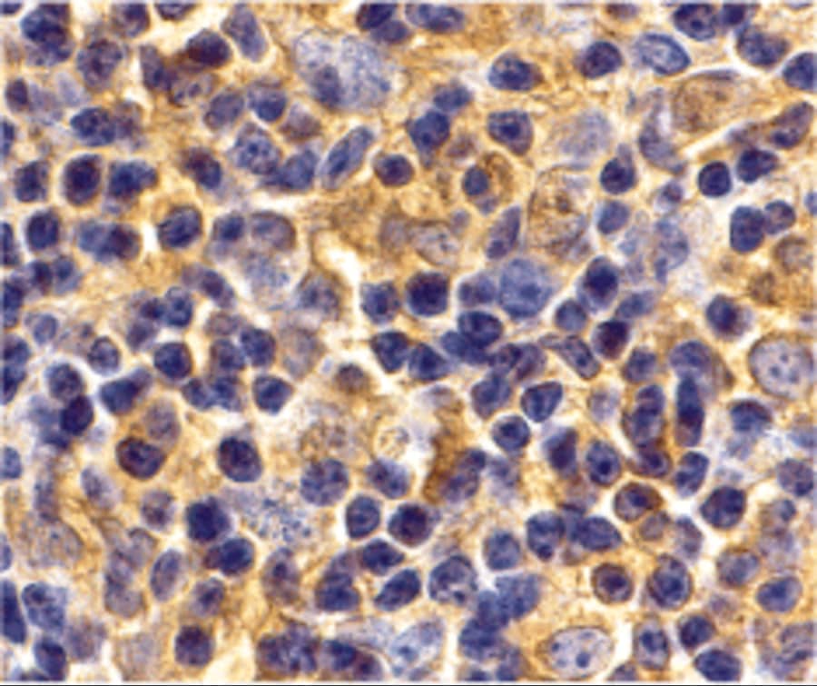
Immunohistochemistry: UBE2N/Ubc13 Antibody - BSA Free [NBP1-76593] -

Immunohistochemistry: UBE2N/Ubc13 Antibody - BSA Free [NBP1-76593] - Immunohistochemistry of UBE2N/Ubc13 in mouse thymus tissue with UBE2N/Ubc13 antibody at 2 ug/mL.

Applications for UBE2N/Ubc13 Antibody - BSA Free

Application
Recommended Usage

ELISA

1:100-1:2000

Immunocytochemistry/ Immunofluorescence

10 ug/mL

Immunohistochemistry

2.5 ug/ml

Immunohistochemistry-Paraffin

2.5 ug/ml

Western Blot

0.5-2 ug/ml

Formulation, Preparation, and Storage

Purification

Peptide affinity purified

Formulation

PBS

Format

BSA Free

Preservative

0.02% Sodium Azide

Concentration

1 mg/ml

Shipping

The product is shipped with polar packs. Upon receipt, store it immediately at the temperature recommended below.

Stability & Storage

Store at 4C short term. Aliquot and store at -20C long term. Avoid freeze-thaw cycles.

Background: UBE2N/Ubc13

Ubiquitin-conjugating enzyme 13 (Ubc13) was initially discovered in S. cerevisiae as a DNA-damage inducible protein involved in the error-free DNA postreplication repair pathway. It has recently been shown to be an important component of the Toll-like receptor and IL-1R signaling pathway. Signals from these pathways are relayed by a number of downstream molecules such as MyD88 and tumor necrosis factor receptor associated factor (TRAF6), ultimately activating various kinases and transcription factors. Ubc13 is part of a dimeric ubiquitin-conjugating enzyme complex also containing UEV1A (ubiquitin-conjugating enzyme E2 variant 1) that together with TRAF6 activates TAK1, a member of the mitogen-activated protein kinase kinase kinase family. The Ubc13-UEV1A complex also mediates the Lys-63 ubiquitination of TRAF-6, and this ubiquitination is essential for TAK1 activation.

Alternate Names

BLU, UBC13, UbcH13, UBE2N

Gene Symbol

UBE2N

Additional UBE2N/Ubc13 Products

Product Documents for UBE2N/Ubc13 Antibody - BSA Free

Certificate of Analysis

To download a Certificate of Analysis, please enter a lot number in the search box below.

Product Specific Notices for UBE2N/Ubc13 Antibody - BSA Free

This product is for research use only and is not approved for use in humans or in clinical diagnosis. Primary Antibodies are guaranteed for 1 year from date of receipt.

Loading...
Loading...
Loading...
Loading...