Skip to main content

UBE2J1 Antibody (OTI3D1)

Novus Biologicals, part of Bio-Techne | Catalog # NBP2-45402

Novus Biologicals, part of Bio-Techne
Catalog #
Availability
Size / Price
Qty
Loading...
NBP2-45402

Key Product Details

Species Reactivity

Human, Mouse, Rat, Canine, Monkey

Applications

Immunohistochemistry, Immunohistochemistry-Paraffin, Western Blot, Flow Cytometry

Label

Unconjugated

Antibody Source

Monoclonal Mouse IgG2A Clone # OTI3D1

Concentration

1 mg/ml

Product Specifications

Immunogen

Full length human recombinant protein of human UBE2J1(NP_057105) produced in HEK293T cell.

Reactivity Notes

Please note that this antibody is reactive to Mouse and derived from the same host, Mouse. Mouse-On-Mouse blocking reagent may be needed for IHC and ICC experiments to reduce high background signal. You can find these reagents under catalog numbers PK-2200-NB and MP-2400-NB. Please contact Technical Support if you have any questions.

Clonality

Monoclonal

Host

Mouse

Isotype

IgG2A

Theoretical MW

35 kDa.
Disclaimer note: The observed molecular weight of the protein may vary from the listed predicted molecular weight due to post translational modifications, post translation cleavages, relative charges, and other experimental factors.

Description

Novus Biologicals Mouse UBE2J1 Antibody (OTI3D1) (NBP2-45402) is a monoclonal antibody validated for use in IHC, WB and Flow. All Novus Biologicals antibodies are covered by our 100% guarantee.

Scientific Data Images for UBE2J1 Antibody (OTI3D1)

Western Blot: UBE2J1 Antibody (OTI3D1) [NBP2-45402]

Western Blot: UBE2J1 Antibody (OTI3D1) [NBP2-45402]

Western Blot: UBE2J1 Antibody (3D1) [NBP2-45402] - Analysis of extracts (35ug) from 9 different cell lines (HepG2: human; HeLa: human; SVT2: mouse; A549: human; COS7: monkey; Jurkat: human; MDCK: canine; PC12: rat; MCF7: human).
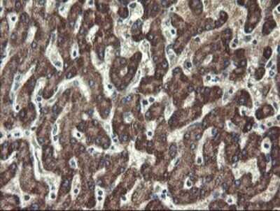
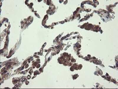
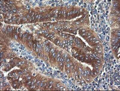
Immunohistochemistry: UBE2J1 Antibody (OTI3D1) [NBP2-45402]

Immunohistochemistry: UBE2J1 Antibody (OTI3D1) [NBP2-45402]

Immunohistochemistry: UBE2J1 Antibody (3D1) [NBP2-45402] - Analysis of Carcinoma of Human prostate tissue.
Flow Cytometry: UBE2J1 Antibody (OTI3D1) [NBP2-45402]

Flow Cytometry: UBE2J1 Antibody (OTI3D1) [NBP2-45402]

Flow Cytometry: UBE2J1 Antibody (3D1) [NBP2-45402] - Analysis of Jurkat cells, using UBE2J1 antibody,(Red), compared to a nonspecific negative control antibody (Blue).

Applications for UBE2J1 Antibody (OTI3D1)

Application
Recommended Usage

Flow Cytometry

1:100

Immunohistochemistry

1:150

Western Blot

1:500-2000

Formulation, Preparation, and Storage

Purification

Immunogen affinity purified

Formulation

PBS (pH 7.3), 1.0% BSA and 50% Glycerol

Preservative

0.02% Sodium Azide

Concentration

1 mg/ml

Shipping

The product is shipped with polar packs. Upon receipt, store it immediately at the temperature recommended below.

Stability & Storage

Store at -20C. Avoid freeze-thaw cycles.

Background: UBE2J1

The modification of proteins with ubiquitin is an important cellular mechanism for targeting abnormal or short-lived proteins for degradation. Ubiquitination involves at least three classes of enzymes: ubiquitin-activating enzymes, or E1s, ubiquitin-conjugating enzymes, or E2s, and ubiquitin-protein ligases, or E3s. This gene encodes a member of the E2 ubiquitin-conjugating enzyme family. This enzyme is located in the membrane of the endoplasmic reticulum (ER) and may contribute to quality control ER-associated degradation by the ubiquitin-proteasome system.

Long Name

Ubiquitin-conjugating Enzyme E2J 1

Alternate Names

CGI-76, HSPC153, NCUBE1, UBC6e

Gene Symbol

UBE2J1

Additional UBE2J1 Products

Product Documents for UBE2J1 Antibody (OTI3D1)

Certificate of Analysis

To download a Certificate of Analysis, please enter a lot number in the search box below.

Product Specific Notices for UBE2J1 Antibody (OTI3D1)

This product is for research use only and is not approved for use in humans or in clinical diagnosis. Primary Antibodies are guaranteed for 1 year from date of receipt.

Loading...
Loading...
Loading...
Loading...
Loading...