UBASH3B/STS1/Tula-2 Antibody - BSA Free
Novus Biologicals, part of Bio-Techne | Catalog # NBP1-32592
Key Product Details
Species Reactivity
Human
Applications
Immunohistochemistry, Immunohistochemistry-Paraffin, Western Blot
Label
Unconjugated
Antibody Source
Polyclonal Rabbit IgG
Format
BSA Free
Concentration
Concentrations vary lot to lot. See vial label for concentration. If unlisted please contact technical services.
Product Specifications
Immunogen
Recombinant protein encompassing a sequence within the center region of human UBASH3B/STS1/Tula-2. The exact sequence is proprietary.
Localization
Endoplasmic reticulum membrane, Multi-pass membrane protein
Clonality
Polyclonal
Host
Rabbit
Isotype
IgG
Theoretical MW
65 kDa.
Disclaimer note: The observed molecular weight of the protein may vary from the listed predicted molecular weight due to post translational modifications, post translation cleavages, relative charges, and other experimental factors.
Disclaimer note: The observed molecular weight of the protein may vary from the listed predicted molecular weight due to post translational modifications, post translation cleavages, relative charges, and other experimental factors.
Scientific Data Images for UBASH3B/STS1/Tula-2 Antibody - BSA Free
Western Blot: UBASH3B/STS1/Tula-2 Antibody [NBP1-32592]
Western Blot: UBASH3B/STS1/Tula-2 Antibody [NBP1-32592] - HeLa whole cell and membrane extracts (30 ug) were separated by 7.5% SDS-PAGE, and the membrane was blotted with UBASH3B antibody diluted at 1:1000. HRP-conjugated anti-rabbit IgG antibody was used to detect the primary antibody.Immunohistochemistry-Paraffin: UBASH3B/STS1/Tula-2 Antibody [NBP1-32592]
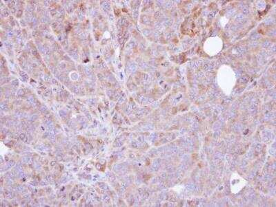
Immunohistochemistry-Paraffin: UBASH3B/STS1/Tula-2 Antibody [NBP1-32592] - SW480 xenograft , using Steroid sulfatase antibody at 1:100 dilution. Antigen Retrieval: Trilogy™ (EDTA based, pH 8.0) buffer, 15min.Western Blot: UBASH3B/STS1/Tula-2 Antibody [NBP1-32592]
Western Blot: UBASH3B/STS1/Tula-2 Antibody [NBP1-32592] - Human tissue extract (30 ug) was separated by 7.5% SDS-PAGE, and the membrane was blotted with Steroid sulfatase antibody diluted at 1:500. HRP-conjugated anti-rabbit IgG antibody was used to detect the primary antibody.Applications for UBASH3B/STS1/Tula-2 Antibody - BSA Free
Application
Recommended Usage
Immunohistochemistry
1:100-1:1000
Immunohistochemistry-Paraffin
1:100-1:1000
Western Blot
1:500-1:3000
Formulation, Preparation, and Storage
Purification
Antigen Affinity-purified
Formulation
0.1M Tris, 0.1M Glycine, 10% Glycerol
Format
BSA Free
Preservative
0.01% Thimerosal
Concentration
Concentrations vary lot to lot. See vial label for concentration. If unlisted please contact technical services.
Shipping
The product is shipped with polar packs. Upon receipt, store it immediately at the temperature recommended below.
Stability & Storage
Aliquot and store at -20C or -80C. Avoid freeze-thaw cycles.
Background: UBASH3B/STS1
Long Name
Ubiquitin Associated and SH3 Domain Containing Protein B
Alternate Names
Cbl-interacting Protein p70, STS1
Gene Symbol
UBASH3B
Additional UBASH3B/STS1 Products
Product Documents for UBASH3B/STS1/Tula-2 Antibody - BSA Free
Product Specific Notices for UBASH3B/STS1/Tula-2 Antibody - BSA Free
This product is for research use only and is not approved for use in humans or in clinical diagnosis. Primary Antibodies are guaranteed for 1 year from date of receipt.
Loading...
Loading...
Loading...
Loading...
⚠ WARNING: This product can expose you to chemicals including mercury, which is known to the State of California to cause reproductive toxicity with developmental effects. For more information go to www.P65Warnings.ca.gov.