Skip to main content

UBA52 Antibody - BSA Free

Novus Biologicals, part of Bio-Techne | Catalog # NB300-263

Novus Biologicals, part of Bio-Techne

Key Product Details

Species Reactivity

Human, Mouse, Bovine

Applications

Immunohistochemistry, Immunohistochemistry-Paraffin, Western Blot

Label

Unconjugated

Antibody Source

Polyclonal Rabbit IgG

Format

BSA Free

Concentration

1.0 mg/ml

Product Specifications

Immunogen

The immunogen this antibody was made to, maps to a region between residues 1 and 50 of human Ubiquitin using the numbering given in entry P62988.(GeneID 7311).

Clonality

Polyclonal

Host

Rabbit

Isotype

IgG

Description

Novus Biologicals Rabbit UBA52 Antibody - BSA Free (NB300-263) is a polyclonal antibody validated for use in IHC and WB. Anti-UBA52 Antibody: Cited in 1 publication. All Novus Biologicals antibodies are covered by our 100% guarantee.

Scientific Data Images for UBA52 Antibody - BSA Free

Western Blot: UBA52 Antibody [NB300-263]

Western Blot: UBA52 Antibody [NB300-263]

Western Blot: UBA52 Antibody [NB300-263] - Detection of Ubiquitin by Western Blotting of Products from an Ubiquitination Assay and Purified Ubiquitin. Samples: A) Ubiquitination assay was performed as described in Zhang et al., 2004, Mol. Cell. Biol. 24(24):10941-10953. B) Purified human ubiquitin was applied in decreasing amounts from 5 to 0.1 mcg. Antibody: Affinity purified rabbit anti-Ubiquitin antibody NB 300-263 used at 0.4 mcg/ml for Western Blot. Detection: Alkaline phosphatase conjugated secondary antibody and development with NBT/BCIP for 10 minutes (A and B).
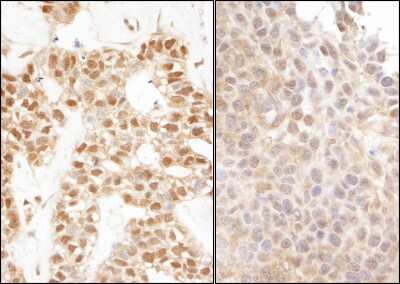
Immunohistochemistry: UBA52 Antibody [NB300-263]

Immunohistochemistry: UBA52 Antibody [NB300-263]

Immunohistochemistry: UBA52 Antibody [NB300-263] - Sample: FFPE sections of human breast carcinoma (left) and mouse teratoma (right). Antibody: Affinity purified rabbit anti- Ubiquitin used at a dilution of 1:1,000 (1ug/ml). Detection: DAB

Applications for UBA52 Antibody - BSA Free

Application
Recommended Usage

Immunohistochemistry

1:500-1:2000

Immunohistochemistry-Paraffin

1:500-1:2000

Western Blot

1:1000-1:10000
Application Notes
Epitope retrieval with Tris-EDTA pH9.0 is recommended for FFPE tissue sections.

Formulation, Preparation, and Storage

Purification

Immunogen affinity purified

Formulation

Tris-Citrate/Phosphate (pH 7.0 - 8.0)

Format

BSA Free

Preservative

0.09% Sodium Azide

Concentration

1.0 mg/ml

Shipping

The product is shipped with polar packs. Upon receipt, store it immediately at the temperature recommended below.

Stability & Storage

Store at 4C. Do not freeze.

Background: UBA52

Ubiquitin (Ub) is a small 76aa highly conserved protein found ubiquitously in eukaryotic organisms. The conjugation of ubiquitin to proteins provides an important means to regulate protein abundance and activity by tagging them for degradation. Ubiquitination is a highly regulated and reversible process that appears to be involved in the regulation of many cellular processes and a variety of clinical disorders.

Alternate Names

CEP52ubiquitin carboxyl extension protein 52, HUBCEP52, MGC126879, MGC126881, MGC57125, RPL40, UBCEP2, ubiquitin A-52 residue ribosomal protein fusion product 160S ribosomal protein L40, ubiquitin-52 amino acid fusion protein, ubiquitin-60S ribosomal protein L40, ubiquitin-CEP52

Gene Symbol

UBA52

Additional UBA52 Products

Product Documents for UBA52 Antibody - BSA Free

Certificate of Analysis

To download a Certificate of Analysis, please enter a lot number in the search box below.

Product Specific Notices for UBA52 Antibody - BSA Free

This product is for research use only and is not approved for use in humans or in clinical diagnosis. Primary Antibodies are guaranteed for 1 year from date of receipt.

Loading...
Loading...
Loading...
Loading...