Skip to main content

UBA3 Antibody (1B5-2-3-R)

Novus Biologicals, part of Bio-Techne | Catalog # NBP3-33072

Recombinant Monoclonal Antibody
Novus Biologicals, part of Bio-Techne
Catalog #
Availability
Size / Price
Qty
Loading...
NBP3-33072

Key Product Details

Species Reactivity

Human, Mouse, Rat

Applications

Immunohistochemistry, Immunohistochemistry-Paraffin, Western Blot, Immunocytochemistry/ Immunofluorescence

Label

Unconjugated

Antibody Source

Recombinant Monoclonal Mouse IgG1 Clone # 1B5-2-3-R expressed in HEK293

Concentration

1 mg/ml

Product Specifications

Immunogen

Recombinant protein within Human UBA3 aa 220-424 / 463. (Uniprot: Q8TBC4)

Localization

Cytosol, nucleus, cytoplasm.

Clonality

Monoclonal

Host

Mouse

Isotype

IgG1

Theoretical MW

52 kDa.
Disclaimer note: The observed molecular weight of the protein may vary from the listed predicted molecular weight due to post translational modifications, post translation cleavages, relative charges, and other experimental factors.

Description

Novus Biologicals Mouse UBA3 Antibody (1B5-2-3-R) (NBP3-33072) is a recombinant monoclonal antibody validated for use in IHC, WB and ICC/IF. All Novus Biologicals antibodies are covered by our 100% guarantee.

Scientific Data Images for UBA3 Antibody (1B5-2-3-R)

UBA3 Antibody (1B5-2-3-R)

Western Blot: UBA3 Antibody (1B5-2-3-R) [NBP3-33072]

Western Blot: UBA3 Antibody (1B5-2-3-R) [NBP3-33072] - Western blot analysis of UBA3 on different lysates with Mouse anti-UBA3 antibody (NBP3-33072) at 1/500 dilution.

Lane 1: HepG2 cell lysate
Lane 2: Hela cell lysate
Lane 3: 293T cell lysate
Lane 4: K-562 cell lysate
Lane 5: RAW264.7 cell lysate
Lane 6: NIH/3T3 cell lysate
Lane 7: PC-12 cell lysate
Lane 8: Mouse brain tissue lysate
Lane 9: Human lung tissue lysate

Lysates/proteins at 20 ug/Lane.

Predicted band size: 52 kDa
Observed band size: 52 kDa

Exposure time: 2 minutes;

4-20% SDS-PAGE gel.

Proteins were transferred to a PVDF membrane and blocked with 5% NFDM/TBST for 1 hour at room temperature. The primary antibody (NBP3-33072) at 1/500 dilution was used in 5% NFDM/TBST at room temperature for 2 hours. Goat Anti-Mouse IgG - HRP Secondary Antibody at 1:150,000 dilution was used for 1 hour at room temperature.
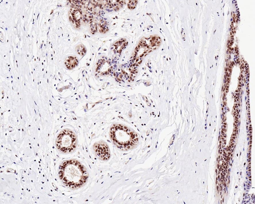
UBA3 Antibody (1B5-2-3-R)

Immunohistochemistry: UBA3 Antibody (1B5-2-3-R) [NBP3-33072]

Immunohistochemistry: UBA3 Antibody (1B5-2-3-R) [NBP3-33072] - Immunohistochemical analysis of paraffin-embedded human breast tissue with Mouse anti-UBA3 antibody (NBP3-33072) at 1/1,000 dilution.

The section was pre-treated using heat mediated antigen retrieval with sodium citrate buffer (pH 6.0) for 2 minutes. The tissues were blocked in 1% BSA for 20 minutes at room temperature, washed with ddH2O and PBS, and then probed with the primary antibody (NBP3-33072) at 1/1,000 dilution for 1 hour at room temperature. The detection was performed using an HRP conjugated compact polymer system. DAB was used as the chromogen. Tissues were counterstained with hematoxylin and mounted with DPX.
UBA3 Antibody (1B5-2-3-R)

Immunocytochemistry/ Immunofluorescence: UBA3 Antibody (1B5-2-3-R) [NBP3-33072]

Immunocytochemistry/ Immunofluorescence: UBA3 Antibody (1B5-2-3-R) [NBP3-33072] - Immunocytochemistry analysis of SiHa cells labeling UBA3 with Mouse anti-UBA3 antibody (NBP3-33072) at 1/200 dilution.

Cells were fixed in 4% paraformaldehyde for 30 minutes, permeabilized with 0.05% Triton X-100 in PBS for 20 minutes, and then blocked with 2% negative goat serum for 30 minutes at room temperature. Cells were then incubated with Mouse anti-UBA3 antibody (NBP3-33072) at 1/200 dilution in 2% negative goat serum overnight at 4 ℃. Goat Anti-Mouse IgG H&L (iFluor™ 488) was used as the secondary antibody at 1/1,000 dilution. Nuclear DNA was labelled in blue with DAPI.

beta Tubulin (red) was stained at 1/100 dilution overnight at +4℃. Goat Anti-Rabbit IgG H&L (iFluor™ 594) were used as the secondary antibody at 1/1,000 dilution.

Applications for UBA3 Antibody (1B5-2-3-R)

Application
Recommended Usage

Immunocytochemistry/ Immunofluorescence

1:200

Immunohistochemistry-Paraffin

1:1000

Western Blot

1:1000

Formulation, Preparation, and Storage

Purification

Protein A purified

Formulation

PBS (pH7.4), 0.1% BSA and 40% Glycerol

Preservative

0.05% Sodium Azide

Concentration

1 mg/ml

Shipping

The product is shipped with polar packs. Upon receipt, store it immediately at the temperature recommended below.

Stability & Storage

Store at 4C short term. Aliquot and store at -20C long term. Avoid freeze-thaw cycles.

Background: UBA3

The modification of proteins with ubiquitin is an important cellular mechanism for targeting abnormal or short-lived proteins for degradation. Ubiquitination involves at least three classes of enzymes: ubiquitin-activating enzymes, or E1s, ubiquitin-conjugating enzymes, or E2s, and ubiquitin-protein ligases, or E3s. This gene encodes a member of the E1 ubiquitin-activating enzyme family. The encoded enzyme associates with AppBp1, an amyloid beta precursor protein binding protein, to form a heterodimer, and then the enzyme complex activates NEDD8, a ubiquitin-like protein, which regulates cell division, signaling and embryogenesis. Multiple alternatively spliced transcript variants encoding distinct isoforms have been found for this gene.

Long Name

Ubiquitin-like Modifier Activating Enzyme 3

Alternate Names

UBE1C

Gene Symbol

UBA3

Additional UBA3 Products

Product Documents for UBA3 Antibody (1B5-2-3-R)

Certificate of Analysis

To download a Certificate of Analysis, please enter a lot number in the search box below.

Product Specific Notices for UBA3 Antibody (1B5-2-3-R)

This product is for research use only and is not approved for use in humans or in clinical diagnosis. Primary Antibodies are guaranteed for 1 year from date of receipt.

Loading...
Loading...
Loading...
Loading...