Skip to main content

UACA Antibody - BSA Free

Novus Biologicals, part of Bio-Techne | Catalog # NBP1-92554

Novus Biologicals, part of Bio-Techne
Catalog #
Availability
Size / Price
Qty
Loading...
NBP1-92554
NBP1-92554-25ul

Key Product Details

Species Reactivity

Human

Applications

Immunohistochemistry, Immunohistochemistry-Paraffin, Western Blot

Label

Unconjugated

Antibody Source

Polyclonal Rabbit IgG

Format

BSA Free

Concentration

Concentrations vary lot to lot. See vial label for concentration. If unlisted please contact technical services.

Product Specifications

Immunogen

This antibody was developed against Recombinant Protein corresponding to amino acids: ELNKQLKDLSQKYTEVKNVKEKLVEENAKQTSEILAVQNLLQKQHVPLEQVEALKKSLNGTIENLKEELKSMQRCYEKEQQTVTKLHQLLENQKNSSVPLA

Reactivity Notes

Immunogen displays the following percentage of sequence identity for non-tested species: Mouse (81%)

Clonality

Polyclonal

Host

Rabbit

Isotype

IgG

Scientific Data Images for UACA Antibody - BSA Free

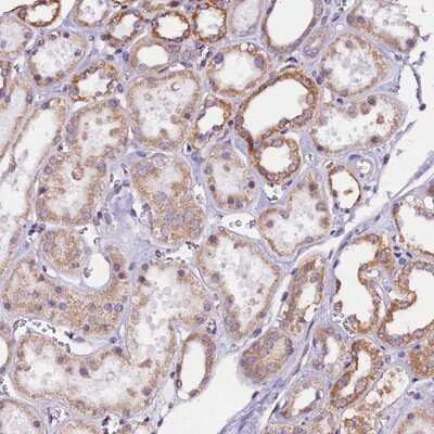
Immunohistochemistry-Paraffin: UACA Antibody [NBP1-92554]

Immunohistochemistry-Paraffin: UACA Antibody [NBP1-92554]

Immunohistochemistry-Paraffin: UACA Antibody [NBP1-92554] - Staining of human kidney shows moderate cytoplasmic positivity in cells in tubules.
UACA Antibody - BSA Free Western Blot: UACA Antibody - BSA Free [NBP1-92554]

Western Blot: UACA Antibody - BSA Free [NBP1-92554]

Lane 1: Marker [kDa] 250, 130, 95, 72, 55, 36, 28, 17, 10
Lane 2: Human cell line RT-4
Lane 3: Human cell line U-251MG sp

Applications for UACA Antibody - BSA Free

Application
Recommended Usage

Immunohistochemistry

1:200 - 1:500

Immunohistochemistry-Paraffin

1:200-1:500

Western Blot

0.04-0.4 ug/ml
Application Notes
For IHC-Paraffin, HIER pH 6 retrieval is recommended. Immunocytochemistry/Immunofluorescence Fixation Permeabilization: Use PFA/Triton X-100.

Formulation, Preparation, and Storage

Purification

Affinity purified

Formulation

PBS (pH 7.2) and 40% Glycerol

Format

BSA Free

Preservative

0.02% Sodium Azide

Concentration

Concentrations vary lot to lot. See vial label for concentration. If unlisted please contact technical services.

Shipping

The product is shipped with polar packs. Upon receipt, store it immediately at the temperature recommended below.

Stability & Storage

Store at 4C short term. Aliquot and store at -20C long term. Avoid freeze-thaw cycles.

Background: UACA

UACA (uveal autoantigen with coiled-coil domains and ankyrin repeats) was originally identified as an autoantigen in patients with panuveitis, a characteristic of Vogt-Koyanagi-Harada disease, and in patients with Graves' disease. UACA was also later identified as Nucling, an mRNA differentially expressed in F9 embryonal carcinoma cells during cardiac muscle differentiation. UACA appears to function as a pro-apoptotic protein that recruits the apaf-1-pro-caspase-9 complex for the induction of apoptosis to mediate the cell-death pathway.

Alternate Names

FLJ10128, KIAA1561MGC141969, MGC141967, nuclear membrane binding protein, NUCLING, uveal autoantigen with coiled coil domains and ankyrin repeats, uveal autoantigen with coiled-coil domains and ankyrin repeats

Gene Symbol

UACA

Additional UACA Products

Product Documents for UACA Antibody - BSA Free

Certificate of Analysis

To download a Certificate of Analysis, please enter a lot number in the search box below.

Product Specific Notices for UACA Antibody - BSA Free

This product is for research use only and is not approved for use in humans or in clinical diagnosis. Primary Antibodies are guaranteed for 1 year from date of receipt.

Loading...
Loading...
Loading...
Loading...