Skip to main content

UACA Antibody - BSA Free

Novus Biologicals, part of Bio-Techne | Catalog # NB100-61622

Novus Biologicals, part of Bio-Techne

Key Product Details

Validated by

Independent Antibodies

Species Reactivity

Human

Applications

Immunohistochemistry, Immunohistochemistry-Paraffin, Immunoprecipitation, Western Blot (Negative)

Label

Unconjugated

Antibody Source

Polyclonal Rabbit IgG

Format

BSA Free

Concentration

1.0 mg/ml

Product Specifications

Immunogen

The immunogen recognized by this antibody maps to a region between residue 675 and 725 of human uveal autoantigen with coiled-coil domains and ankyrin repeats using the numbering given in entry NP_060473.2 (GeneID 55075).

Clonality

Polyclonal

Host

Rabbit

Isotype

IgG

Description

Novus Biologicals Rabbit UACA Antibody - BSA Free (NB100-61622) is a polyclonal antibody validated for use in IHC and IP. All Novus Biologicals antibodies are covered by our 100% guarantee.

Scientific Data Images for UACA Antibody - BSA Free

Western Blot: UACA Antibody [NB100-61622]

Western Blot: UACA Antibody [NB100-61622]

Western Blot: UACA Antibody [NB100-61622] - Detection of Human UACA by Western Blot of Immunoprecipitates. Samples: Whole cell lysate (1 mg for IP, 20% of IP loaded) from HeLa cells. Antibodies: Affinity purified rabbit anti-UACA antibody NB100-61622 used for IP at 3 mcg/mg lysate. UACA was also immunoprecipitated by rabbit anti- UACA antibodies NB100-61621 and NB100-61623, which recognize other epitopes.Detection: Chemiluminescence with an exposure time of 3 seconds.
Immunohistochemistry: UACA Antibody [NB100-61622]

Immunohistochemistry: UACA Antibody [NB100-61622]

Immunohistochemistry: UACA Antibody [NB100-61622] - Sample: FFPE section of human prostate carcinoma. Antibody: Affinity purified rabbit anti- UACA used at a dilution of 1:1,000 (1ug/ml). Detection: DAB
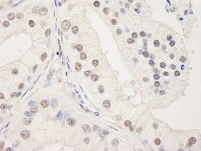
Immunohistochemistry-Paraffin: UACA Antibody [NB100-61622]

Immunohistochemistry-Paraffin: UACA Antibody [NB100-61622]

Immunohistochemistry-Paraffin: UACA Antibody [NB100-61622] - FFPE section of human ovarian carcinoma. Affinity purified rabbit anti-UACA used at a dilution of 1:250.

Applications for UACA Antibody - BSA Free

Application
Recommended Usage

Immunohistochemistry

1:10-1:500

Immunohistochemistry-Paraffin

1:100-1:500

Immunoprecipitation

2-5 ug/mg lysate
Application Notes
This antibody is not recommended for Western Blot analysis.

Formulation, Preparation, and Storage

Purification

Immunogen affinity purified

Formulation

Tris-Citrate/Phosphate (pH 7.0 - 8.0)

Format

BSA Free

Preservative

0.09% Sodium Azide

Concentration

1.0 mg/ml

Shipping

The product is shipped with polar packs. Upon receipt, store it immediately at the temperature recommended below.

Stability & Storage

Store at 4C. Do not freeze.

Background: UACA

UACA (uveal autoantigen with coiled-coil domains and ankyrin repeats) was originally identified as an autoantigen in patients with panuveitis, a characteristic of Vogt-Koyanagi-Harada disease, and in patients with Graves' disease. UACA was also later identified as Nucling, an mRNA differentially expressed in F9 embryonal carcinoma cells during cardiac muscle differentiation. UACA appears to function as a pro-apoptotic protein that recruits the apaf-1-pro-caspase-9 complex for the induction of apoptosis to mediate the cell-death pathway.

Alternate Names

FLJ10128, KIAA1561MGC141969, MGC141967, nuclear membrane binding protein, NUCLING, uveal autoantigen with coiled coil domains and ankyrin repeats, uveal autoantigen with coiled-coil domains and ankyrin repeats

Entrez Gene IDs

55075 (Human)

Gene Symbol

UACA

Additional UACA Products

Product Documents for UACA Antibody - BSA Free

Certificate of Analysis

To download a Certificate of Analysis, please enter a lot number in the search box below.

Product Specific Notices for UACA Antibody - BSA Free

This product is for research use only and is not approved for use in humans or in clinical diagnosis. Primary Antibodies are guaranteed for 1 year from date of receipt.

Loading...
Loading...
Loading...
Loading...