Skip to main content

TXNRD2 Antibody (PSH02-26)

Novus Biologicals, part of Bio-Techne | Catalog # NBP3-33068

Recombinant Monoclonal Antibody
Novus Biologicals, part of Bio-Techne
Catalog #
Availability
Size / Price
Qty
Loading...
NBP3-33068

Key Product Details

Species Reactivity

Human, Mouse, Rat

Applications

Immunohistochemistry, Immunohistochemistry-Paraffin, Western Blot

Label

Unconjugated

Antibody Source

Recombinant Monoclonal Rabbit IgG Clone # PSH02-26 expressed in HEK293

Concentration

1 mg/ml

Product Specifications

Immunogen

Recombinant protein within human TXNRD2 aa 1-524 / 524. (Uniprot: Q9NNW7)

Localization

Mitochondrion.

Clonality

Monoclonal

Host

Rabbit

Isotype

IgG

Theoretical MW

57 kDa.
Disclaimer note: The observed molecular weight of the protein may vary from the listed predicted molecular weight due to post translational modifications, post translation cleavages, relative charges, and other experimental factors.

Description

Novus Biologicals Rabbit TXNRD2 Antibody (PSH02-26) (NBP3-33068) is a recombinant monoclonal antibody validated for use in IHC and WB. All Novus Biologicals antibodies are covered by our 100% guarantee.

Scientific Data Images for TXNRD2 Antibody (PSH02-26)

TXNRD2 Antibody (PSH02-26)

Immunohistochemistry: TXNRD2 Antibody (PSH02-26) [NBP3-33068]

Immunohistochemistry: TXNRD2 Antibody (PSH02-26) [NBP3-33068] - Immunofluorescence analysis of paraffin-embedded rat liver tissue labeling TXNRD2 with Rabbit anti-TXNRD2 antibody (NBP3-33068) at 1/50 dilution.

The section was pre-treated using heat mediated antigen retrieval with Tris-EDTA buffer (pH 9.0) for 20 minutes. The tissues were blocked in 10% negative goat serum for 1 hour at room temperature, washed with PBS, and then probed with the primary antibody (NBP3-33068, green) at 1/50 dilution overnight at 4 ℃, washed with PBS. Goat Anti-Rabbit IgG H&L (iFluor™ 488) was used as the secondary antibody at 1/1,000 dilution. Nuclei were counterstained with DAPI (blue).
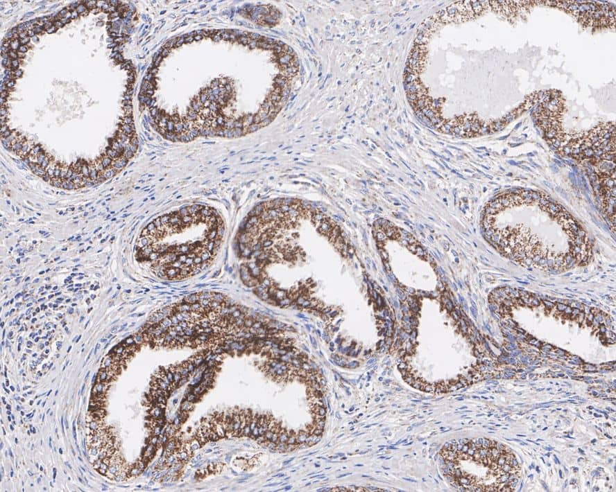
TXNRD2 Antibody (PSH02-26)

Immunohistochemistry: TXNRD2 Antibody (PSH02-26) [NBP3-33068]

Immunohistochemistry: TXNRD2 Antibody (PSH02-26) [NBP3-33068] - Immunohistochemical analysis of paraffin-embedded human prostate tissue with Rabbit anti-TXNRD2 antibody (NBP3-33068) at 1/1,000 dilution.

The section was pre-treated using heat mediated antigen retrieval with Tris-EDTA buffer (pH 9.0) for 20 minutes. The tissues were blocked in 1% BSA for 20 minutes at room temperature, washed with ddH2O and PBS, and then probed with the primary antibody (NBP3-33068) at 1/1,000 dilution for 1 hour at room temperature. The detection was performed using an HRP conjugated compact polymer system. DAB was used as the chromogen. Tissues were counterstained with hematoxylin and mounted with DPX.
TXNRD2 Antibody (PSH02-26)

Western Blot: TXNRD2 Antibody (PSH02-26) [NBP3-33068]

Western Blot: TXNRD2 Antibody (PSH02-26) [NBP3-33068] - Western blot analysis of TXNRD2 on different lysates with Rabbit anti-TXNRD2 antibody (NBP3-33068) at 1/1,000 dilution.
Lane 1: HEK-293 cell lysate (20 µg/Lane)
Lane 2: HeLa cell lysate (20 µg/Lane)
Lane 3: A431 cell lysate (20 µg/Lane)
Lane 4: K-562 cell lysate (20 µg/Lane)
Lane 5: Mouse heart tissue lysate (40 µg/Lane)
Lane 6: Rat heart tissue lysate (40 µg/Lane)
Lane 7: Mouse liver tissue lysate (40 µg/Lane)
Lane 8: Rat liver tissue lysate (40 µg/Lane)
Lane 9: Human kidney tissue lysate (40 µg/Lane)
Lane 10: Mouse kidney tissue lysate (40 µg/Lane)
Lane 11: Rat kidney tissue lysate (40 µg/Lane)

Predicted band size: 57 kDa
Observed band size: 57 kDa

Exposure time: 3 minutes;

4-20% SDS-PAGE gel.

Proteins were transferred to a PVDF membrane and blocked with 5% NFDM/TBST for 1 hour at room temperature. The primary antibody at 1/1,000 dilution was used in 5% NFDM/TBST at 4℃ overnight. Goat Anti-Rabbit IgG - HRP Secondary Antibody at 1/50,000 dilution was used for 1 hour at room temperature.

Applications for TXNRD2 Antibody (PSH02-26)

Application
Recommended Usage

Immunohistochemistry-Paraffin

1:200-1:1000

Western Blot

1:1000

Formulation, Preparation, and Storage

Purification

Protein A purified

Formulation

PBS (pH7.4), 0.1% BSA and 40% Glycerol

Preservative

0.05% Sodium Azide

Concentration

1 mg/ml

Shipping

The product is shipped with polar packs. Upon receipt, store it immediately at the temperature recommended below.

Stability & Storage

Store at 4C short term. Aliquot and store at -20C long term. Avoid freeze-thaw cycles.

Background: Thioredoxin Reductase 2/TRXR2

Thioredoxin reductase (TR) is a dimeric NADPH-dependent FAD containing enzyme that catalyzes the reduction of the active site disulfide of thioredoxin and other substrates. TR is a member of a family of pyridine nucleotide-disulfide oxidoreductases and is a key enzyme in the regulation of the intracellular redox environment. Three thioredoxin reductase genes have been found that encode selenocysteine containing proteins. This gene partially overlaps the COMT gene on chromosome 22. (provided by RefSeq)

Alternate Names

SelZ, TR-beta, TRXR2, TXNRD2

Gene Symbol

TXNRD2

Additional Thioredoxin Reductase 2/TRXR2 Products

Product Documents for TXNRD2 Antibody (PSH02-26)

Certificate of Analysis

To download a Certificate of Analysis, please enter a lot number in the search box below.

Product Specific Notices for TXNRD2 Antibody (PSH02-26)

This product is for research use only and is not approved for use in humans or in clinical diagnosis. Primary Antibodies are guaranteed for 1 year from date of receipt.

Loading...
Loading...
Loading...
Loading...