Skip to main content

TXNDC5 Antibody - BSA Free

Novus Biologicals, part of Bio-Techne | Catalog # NBP2-98558

Novus Biologicals, part of Bio-Techne

Key Product Details

Species Reactivity

Human

Applications

Immunohistochemistry, Immunohistochemistry-Paraffin, Western Blot, Immunocytochemistry/ Immunofluorescence, Immunoprecipitation

Label

Unconjugated

Antibody Source

Polyclonal Rabbit IgG

Format

BSA Free

Concentration

Please see the vial label for concentration. If unlisted please contact technical services.

Product Specifications

Immunogen

Produced in rabbits immunized with E. coli-derived Human TXNDC5 fragment.

Clonality

Polyclonal

Host

Rabbit

Isotype

IgG

Description

This antibody can be stored at 2C to 8C for one month without detectable loss of activity. Antibody products are stable for twelve months from date of receipt when stored at -20C to -80C. Avoid repeated freeze-thaw cycles.

Scientific Data Images for TXNDC5 Antibody - BSA Free

Western Blot: TXNDC5 Antibody [NBP2-98558]

Western Blot: TXNDC5 Antibody [NBP2-98558]

Western Blot: TXNDC5 Antibody [NBP2-98558] - Anti-TXNDC5 rabbit polyclonal antibody at 1:5000 dilution. Lane A: HepG2 Whole Cell Lysate Lane B: HeLa Whole Cell Lysate Lane C: HEK293 Whole Cell Lysate Lane D: 293T Whole Cell Lysate Lysates/proteins at 30 ug per lane. Secondary Goat Anti-Rabbit IgG (H+L)/HRP at 1/10000 dilution. Developed using the ECL technique. Performed under reducing conditions. Predicted band size: 48 kDa. Observed band size: 50 kDa
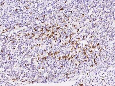
Immunohistochemistry-Paraffin: TXNDC5 Antibody [NBP2-98558]

Immunohistochemistry-Paraffin: TXNDC5 Antibody [NBP2-98558]

Immunohistochemistry-Paraffin: TXNDC5 Antibody [NBP2-98558] - Immunochemical staining of human TXNDC5 in human tonsil with rabbit polyclonal antibody at 1:5000 dilution, formalin-fixed paraffin embedded sections.
Immunohistochemistry-Paraffin: TXNDC5 Antibody [NBP2-98558]

Immunohistochemistry-Paraffin: TXNDC5 Antibody [NBP2-98558]

Immunohistochemistry-Paraffin: TXNDC5 Antibody [NBP2-98558] - Immunochemical staining of human TXNDC5 in human stomach with rabbit polyclonal antibody at 1:5000 dilution, formalin-fixed paraffin embedded sections.

Applications for TXNDC5 Antibody - BSA Free

Application
Recommended Usage

Immunocytochemistry/ Immunofluorescence

1:100-1:500

Immunohistochemistry-Paraffin

1:1000-1:10000

Immunoprecipitation

0.5-1uL/mg of lysate

Western Blot

1:5000-1:20000

Formulation, Preparation, and Storage

Purification

Antigen and protein A Affinity-purified

Formulation

PBS

Format

BSA Free

Preservative

0.03% Proclin 300

Concentration

Please see the vial label for concentration. If unlisted please contact technical services.

Shipping

The product is shipped with polar packs. Upon receipt, store it immediately at the temperature recommended below.

Stability & Storage

Store at 4C short term. Aliquot and store at -20C long term. Avoid freeze-thaw cycles.

Background: TXNDC5

TXNDC5 encodes a protein-disulfide isomerase. Its expression is induced by hypoxia and its role may be to protect hypoxic cells from apoptosis. This gene can be co-transcribed with the upstream gene MU.

Long Name

Thioredoxin Domain Containing 5

Alternate Names

EndoPDI, ERp46, TLP46

Gene Symbol

TXNDC5

Additional TXNDC5 Products

Product Documents for TXNDC5 Antibody - BSA Free

Certificate of Analysis

To download a Certificate of Analysis, please enter a lot number in the search box below.

Product Specific Notices for TXNDC5 Antibody - BSA Free

This product is for research use only and is not approved for use in humans or in clinical diagnosis. Primary Antibodies are guaranteed for 1 year from date of receipt.

Loading...
Loading...
Loading...
Loading...