Skip to main content

TXNDC5 Antibody - BSA Free

Novus Biologicals, part of Bio-Techne | Catalog # NBP2-13496

Novus Biologicals, part of Bio-Techne
Catalog #
Availability
Size / Price
Qty
Loading...
NBP2-13496
NBP2-13496-25ul

Key Product Details

Validated by

Orthogonal Validation, Independent Antibodies

Species Reactivity

Validated:

Human

Predicted:

Mouse (93%), Rat (93%). Backed by our 100% Guarantee.

Applications

Immunohistochemistry, Immunohistochemistry-Paraffin, Western Blot

Label

Unconjugated

Antibody Source

Polyclonal Rabbit IgG

Format

BSA Free

Concentration

Concentrations vary lot to lot. See vial label for concentration. If unlisted please contact technical services.

Product Specifications

Immunogen

This antibody was developed against a recombinant protein corresponding to the amino acids: TLENWMLQTLNEEPVTPEPEVEPPSAPELKQGLYELSASNFELHVAQGDHFIKFFAPWCGHCKALAPTWEQLALGLEHSETVKIGKVDC

Clonality

Polyclonal

Host

Rabbit

Isotype

IgG

Description

Novus Biologicals Rabbit TXNDC5 Antibody - BSA Free (NBP2-13496) is a polyclonal antibody validated for use in IHC and WB. All Novus Biologicals antibodies are covered by our 100% guarantee.

Scientific Data Images for TXNDC5 Antibody - BSA Free

Western Blot: TXNDC5 Antibody [NBP2-13496]

Western Blot: TXNDC5 Antibody [NBP2-13496]

Western Blot: TXNDC5 Antibody [NBP2-13496] - Analysis using Anti-TXNDC5 antibody NBP2-13496 (A) shows similar pattern to independent antibody NBP2-13497 (B).
Immunohistochemistry-Paraffin: TXNDC5 Antibody [NBP2-13496]

Immunohistochemistry-Paraffin: TXNDC5 Antibody [NBP2-13496]

Immunohistochemistry-Paraffin: TXNDC5 Antibody [NBP2-13496] - Staining in human tonsil and cerebral cortex tissues using anti-TXNDC5 antibody. Corresponding TXNDC5 RNA-seq data are presented for the same tissues.
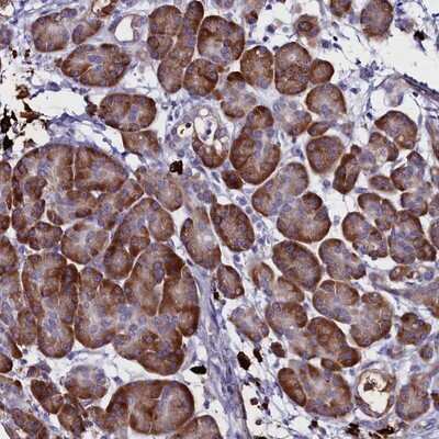
Immunohistochemistry-Paraffin: TXNDC5 Antibody [NBP2-13496]

Immunohistochemistry-Paraffin: TXNDC5 Antibody [NBP2-13496]

Immunohistochemistry-Paraffin: TXNDC5 Antibody [NBP2-13496] - Staining of human pancreas shows strong cytoplasmic positivity in exocrine glandular cells.

Applications for TXNDC5 Antibody - BSA Free

Application
Recommended Usage

Immunohistochemistry

1:2500 - 1:5000

Immunohistochemistry-Paraffin

1:2500 - 1:5000

Western Blot

0.04-0.4 ug/ml
Application Notes
For IHC-Paraffin, HIER pH 6 retrieval is recommended.

Formulation, Preparation, and Storage

Purification

Immunogen affinity purified

Formulation

PBS (pH 7.2) and 40% Glycerol

Format

BSA Free

Preservative

0.02% Sodium Azide

Concentration

Concentrations vary lot to lot. See vial label for concentration. If unlisted please contact technical services.

Shipping

The product is shipped with polar packs. Upon receipt, store it immediately at the temperature recommended below.

Stability & Storage

Store at 4C short term. Aliquot and store at -20C long term. Avoid freeze-thaw cycles.

Background: TXNDC5

TXNDC5 encodes a protein-disulfide isomerase. Its expression is induced by hypoxia and its role may be to protect hypoxic cells from apoptosis. This gene can be co-transcribed with the upstream gene MU.

Long Name

Thioredoxin Domain Containing 5

Alternate Names

EndoPDI, ERp46, TLP46

Gene Symbol

TXNDC5

Additional TXNDC5 Products

Product Documents for TXNDC5 Antibody - BSA Free

Certificate of Analysis

To download a Certificate of Analysis, please enter a lot number in the search box below.

Product Specific Notices for TXNDC5 Antibody - BSA Free

This product is for research use only and is not approved for use in humans or in clinical diagnosis. Primary Antibodies are guaranteed for 1 year from date of receipt.

Loading...
Loading...
Loading...
Loading...