Skip to main content

TXNDC11 Antibody

Novus Biologicals, part of Bio-Techne | Catalog # NBP1-78287

Novus Biologicals, part of Bio-Techne
Catalog #
Availability
Size / Price
Qty
Loading...
NBP1-78287

Key Product Details

Species Reactivity

Human

Applications

Immunohistochemistry, Immunohistochemistry-Paraffin, Western Blot, Peptide ELISA

Label

Unconjugated

Antibody Source

Polyclonal Goat IgG

Concentration

0.5 mg/ml

Product Specifications

Immunogen

Peptide with sequence C-QLDYAEYVRRDSE corresponding to internal region according to NP_056998.4.

Epitope

aa113-126

Clonality

Polyclonal

Host

Goat

Isotype

IgG

Scientific Data Images for TXNDC11 Antibody

Western Blot: TXNDC11 Antibody [NBP1-78287]

Western Blot: TXNDC11 Antibody [NBP1-78287]

Western Blot: TXNDC11 Antibody [NBP1-78287] - (1ug/ml) staining of Human Thymus lysate (35ug protein in RIPA buffer). Primary incubation was 1 hour. Detected by chemiluminescence.
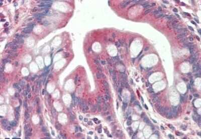
Immunohistochemistry-Paraffin: TXNDC11 Antibody [NBP1-78287]

Immunohistochemistry-Paraffin: TXNDC11 Antibody [NBP1-78287]

Immunohistochemistry-Paraffin: TXNDC11 Antibody [NBP1-78287] - 5ug/ml staining of paraffin embedded Human Small Intestine. Steamed antigen retrieval with citrate buffer pH 6, AP-staining.

Applications for TXNDC11 Antibody

Application
Recommended Usage

Immunohistochemistry

5 ug/ml

Immunohistochemistry-Paraffin

5 ug/ml

Peptide ELISA

Detection limit 1:16000

Western Blot

1-3 ug/ml
Application Notes
Western blot: Approx 100kDa band observed in Human Spleen and Thymus lysates (calculated MW of 108kDa according to NP_056998.4). Primary incubation was 1 hour
IHC: Paraffin embedded Human Small Intestine.

Formulation, Preparation, and Storage

Purification

Immunogen affinity purified

Formulation

Tris saline (20 mM Tris pH 7.3, 150 mM NaCl), 0.5% BSA

Preservative

0.02% Sodium Azide

Concentration

0.5 mg/ml

Shipping

The product is shipped with polar packs. Upon receipt, store it immediately at the temperature recommended below.

Stability & Storage

Store at -20C. Avoid freeze-thaw cycles.

Background: TXNDC11

Alternate Names

EF-hand binding protein 1, EF-hand-binding protein 1, EFP1, thioredoxin domain containing 11, thioredoxin domain-containing protein 11

Gene Symbol

TXNDC11

Additional TXNDC11 Products

Product Documents for TXNDC11 Antibody

Certificate of Analysis

To download a Certificate of Analysis, please enter a lot number in the search box below.

Product Specific Notices for TXNDC11 Antibody

This product is for research use only and is not approved for use in humans or in clinical diagnosis. Primary Antibodies are guaranteed for 1 year from date of receipt.

Loading...
Loading...
Loading...
Loading...