Skip to main content

TXNDC10 Antibody - BSA Free

Novus Biologicals, part of Bio-Techne | Catalog # NBP3-45176

Novus Biologicals, part of Bio-Techne
Catalog #
Availability
Size / Price
Qty
Loading...
NBP3-45176

Key Product Details

Species Reactivity

Human, Mouse

Applications

Immunohistochemistry, Western Blot, ELISA

Label

Unconjugated

Antibody Source

Polyclonal Rabbit IgG

Format

BSA Free

Concentration

Please see the vial label for concentration. If unlisted please contact technical services.

Product Specifications

Immunogen

thioredoxin-related transmembrane protein 3. (Uniprot# Q96JJ7)

Clonality

Polyclonal

Host

Rabbit

Isotype

IgG

Theoretical MW

65 kDa.
Disclaimer note: The observed molecular weight of the protein may vary from the listed predicted molecular weight due to post translational modifications, post translation cleavages, relative charges, and other experimental factors.

Description

Novus Biologicals Rabbit TXNDC10 Antibody - BSA Free (NBP3-45176) is a polyclonal antibody validated for use in IHC, WB and ELISA. All Novus Biologicals antibodies are covered by our 100% guarantee.

Scientific Data Images for TXNDC10 Antibody - BSA Free

TXNDC10 Antibody - BSA Free

Western Blot: TXNDC10 Antibody - BSA Free [NBP3-45176] -

Western Blot: TXNDC10 Antibody - BSA Free [NBP3-45176] - Mouse brain tissue were subjected to SDS PAGE followed by western blot with (TXNDC10 Antibody) at dilution of 1:300
TXNDC10 Antibody - BSA Free

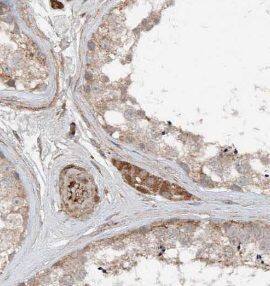
Immunohistochemistry: TXNDC10 Antibody - BSA Free [NBP3-45176] -

Immunohistochemistry: TXNDC10 Antibody - BSA Free [NBP3-45176] - Immunohistochemistry of paraffin-embedded human testis tissue slide using (TXNDC10 Antibody) at dilution of 1:50

Applications for TXNDC10 Antibody - BSA Free

Application
Recommended Usage

Immunohistochemistry

1:20-1:200

Western Blot

1:200-1:1000

Formulation, Preparation, and Storage

Purification

Immunogen affinity purified

Formulation

PBS, 50% Glycerol, pH (7.3)

Format

BSA Free

Preservative

0.02% Sodium Azide

Concentration

Please see the vial label for concentration. If unlisted please contact technical services.

Shipping

The product is shipped with polar packs. Upon receipt, store it immediately at the temperature recommended below.

Stability & Storage

Store at -20C. Avoid freeze-thaw cycles.

Background: TXNDC10

Probable disulfide isomerase, which participates in the folding of proteins containing disulfide bonds. May act as a dithiol oxidase

Alternate Names

EC 5.3.4.1, FLJ20793, KIAA1830TXNDC10, PDIA13, protein disulfide isomerase family A, member 13, protein disulfide-isomerase TMX3, thioredoxin domain containing 10, thioredoxin-related transmembrane protein 3Thioredoxin domain-containing protein 10

Gene Symbol

TMX3

Additional TXNDC10 Products

Product Documents for TXNDC10 Antibody - BSA Free

Certificate of Analysis

To download a Certificate of Analysis, please enter a lot number in the search box below.

Product Specific Notices for TXNDC10 Antibody - BSA Free

This product is for research use only and is not approved for use in humans or in clinical diagnosis. Primary Antibodies are guaranteed for 1 year from date of receipt.

Loading...
Loading...
Loading...
Loading...