TWF2 Antibody - BSA Free
Novus Biologicals, part of Bio-Techne | Catalog # NBP2-47591
Key Product Details
Species Reactivity
Validated:
Human
Predicted:
Mouse (94%), Rat (94%). Backed by our 100% Guarantee.
Applications
Immunohistochemistry, Immunohistochemistry-Paraffin, Western Blot
Label
Unconjugated
Antibody Source
Polyclonal Rabbit IgG
Format
BSA Free
Concentration
Concentrations vary lot to lot. See vial label for concentration. If unlisted please contact technical services.
Product Specifications
Immunogen
This antibody was developed against a recombinant protein corresponding to amino acids: HQTGIHATEELKEFFAKARAGSVRLIKVVIEDEQLVLGASQEPVGRWDQDYDRAVLPLLDAQQPCYLLYR
Clonality
Polyclonal
Host
Rabbit
Isotype
IgG
Scientific Data Images for TWF2 Antibody - BSA Free
Western Blot: TWF2 Antibody [NBP2-47591]
Western Blot: TWF2 Antibody [NBP2-47591] - Lane 1: Marker [kDa] 250, 130, 95, 72, 55, 36, 28, 17, 10. Lane 2: Human cell line RT-4. Lane 3: Human cell line U-251MG.Immunohistochemistry-Paraffin: TWF2 Antibody [NBP2-47591]
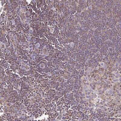
Immunohistochemistry-Paraffin: TWF2 Antibody [NBP2-47591] - Staining of human lymph node shows moderate cytoplasmic positivity in non-germinal center cells.Applications for TWF2 Antibody - BSA Free
Application
Recommended Usage
Immunohistochemistry
1:200 - 1:500
Immunohistochemistry-Paraffin
1:200 - 1:500
Western Blot
0.04-0.4 ug/ml
Application Notes
For IHC-Paraffin, HIER pH 6 retrieval is recommended.
Formulation, Preparation, and Storage
Purification
Affinity purified
Formulation
PBS (pH 7.2) and 40% Glycerol
Format
BSA Free
Preservative
0.02% Sodium Azide
Concentration
Concentrations vary lot to lot. See vial label for concentration. If unlisted please contact technical services.
Shipping
The product is shipped with polar packs. Upon receipt, store it immediately at the temperature recommended below.
Stability & Storage
Store at 4C short term. Aliquot and store at -20C long term. Avoid freeze-thaw cycles.
Background: TWF2
Alternate Names
A6-related protein, A6RPFLJ56277, hA6RP, Protein tyrosine kinase 9-like, protein tyrosine kinase 9-like (A6-related protein), PTK9L protein tyrosine kinase 9-like (A6-related protein), PTK9LA6r, twinfilin, actin-binding protein, homolog 2 (Drosophila), Twinfilin-1-like protein, twinfilin-2
Gene Symbol
TWF2
Additional TWF2 Products
Product Documents for TWF2 Antibody - BSA Free
Product Specific Notices for TWF2 Antibody - BSA Free
This product is for research use only and is not approved for use in humans or in clinical diagnosis. Primary Antibodies are guaranteed for 1 year from date of receipt.
Loading...
Loading...
Loading...
Loading...