Skip to main content

TULP4 Antibody - BSA Free

Novus Biologicals, part of Bio-Techne | Catalog # NBP3-47518

Novus Biologicals, part of Bio-Techne
Catalog #
Availability
Size / Price
Qty
Loading...
NBP3-47518

Key Product Details

Species Reactivity

Human, Mouse, Rat

Applications

ELISA, Immunohistochemistry, Western Blot

Label

Unconjugated

Antibody Source

Polyclonal Rabbit IgG

Format

BSA Free

Concentration

Please see the vial label for concentration. If unlisted please contact technical services.

Product Specifications

Immunogen

tubby like protein 4. (Uniprot# Q9NRJ4)

Clonality

Polyclonal

Host

Rabbit

Isotype

IgG

Theoretical MW

169 kDa.
Disclaimer note: The observed molecular weight of the protein may vary from the listed predicted molecular weight due to post translational modifications, post translation cleavages, relative charges, and other experimental factors.

Description

Novus Biologicals Rabbit TULP4 Antibody - BSA Free (NBP3-47518) is a polyclonal antibody validated for use in IHC, WB and ELISA. All Novus Biologicals antibodies are covered by our 100% guarantee.

Scientific Data Images for TULP4 Antibody - BSA Free

TULP4 Antibody - BSA Free

Western Blot: TULP4 Antibody - BSA Free [NBP3-47518] -

Western Blot: TULP4 Antibody - BSA Free [NBP3-47518] - Human skeletal muscle tissue were subjected to SDS PAGE followed by western blot with (TULP4 antibody) at dilution of 1:800
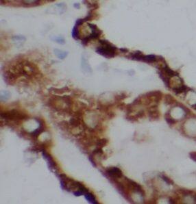
TULP4 Antibody - BSA Free

Immunohistochemistry: TULP4 Antibody - BSA Free [NBP3-47518] -

Immunohistochemistry: TULP4 Antibody - BSA Free [NBP3-47518] - Immunohistochemistry of paraffin-embedded human kidney using (TULP4 antibody) at dilution of 1:100

Applications for TULP4 Antibody - BSA Free

Application
Recommended Usage

Immunohistochemistry

1:20-1:200

Western Blot

1:500-1:2000

Formulation, Preparation, and Storage

Purification

Immunogen affinity purified

Formulation

PBS, 50% Glycerol, pH (7.3)

Format

BSA Free

Preservative

0.02% Sodium Azide

Concentration

Please see the vial label for concentration. If unlisted please contact technical services.

Shipping

The product is shipped with polar packs. Upon receipt, store it immediately at the temperature recommended below.

Stability & Storage

Store at -20C. Avoid freeze-thaw cycles.

Background: TULP4

Tubby like protein 4 may be a substrate-recognition component of a SCF-like ECS (Elongin-Cullin-SOCS-box protein) E3 ubiquitinligase complex which mediates the ubiquitination and subsequent proteasomal degradation of target proteins (Bysimilarity)

Alternate Names

KIAA1397tubby super-family protein, tubby like protein 4, Tubby superfamily protein, Tubby-like protein 4, TUBL4, TUSPtubby-related protein 4

Gene Symbol

TULP4

Additional TULP4 Products

Product Documents for TULP4 Antibody - BSA Free

Certificate of Analysis

To download a Certificate of Analysis, please enter a lot number in the search box below.

Product Specific Notices for TULP4 Antibody - BSA Free

This product is for research use only and is not approved for use in humans or in clinical diagnosis. Primary Antibodies are guaranteed for 1 year from date of receipt.

Loading...
Loading...
Loading...
Loading...