TULP3 Antibody - BSA Free
Novus Biologicals, part of Bio-Techne | Catalog # NBP3-45680
Key Product Details
Species Reactivity
Human, Mouse, Rat
Applications
ELISA, Immunocytochemistry/ Immunofluorescence, Immunohistochemistry, Immunoprecipitation, Western Blot
Label
Unconjugated
Antibody Source
Polyclonal Rabbit IgG
Format
BSA Free
Concentration
Please see the vial label for concentration. If unlisted please contact technical services.
Product Specifications
Immunogen
tubby like protein 3. (Uniprot# O75386)
Clonality
Polyclonal
Host
Rabbit
Isotype
IgG
Theoretical MW
56 kDa.
Disclaimer note: The observed molecular weight of the protein may vary from the listed predicted molecular weight due to post translational modifications, post translation cleavages, relative charges, and other experimental factors.
Disclaimer note: The observed molecular weight of the protein may vary from the listed predicted molecular weight due to post translational modifications, post translation cleavages, relative charges, and other experimental factors.
Description
Novus Biologicals Rabbit TULP3 Antibody - BSA Free (NBP3-45680) is a polyclonal antibody validated for use in IHC, WB, ELISA, ICC/IF and IP. All Novus Biologicals antibodies are covered by our 100% guarantee.
Scientific Data Images for TULP3 Antibody - BSA Free
Western Blot: TULP3 Antibody - BSA Free [NBP3-45680] -
Western Blot: TULP3 Antibody - BSA Free [NBP3-45680] - SH-SY5Y cells were subjected to SDS PAGE followed by western blot with (TULP3 antibody) at dilution of 1:800Immunoprecipitation: TULP3 Antibody - BSA Free [NBP3-45680] -
Immunoprecipitation: TULP3 Antibody - BSA Free [NBP3-45680] - IP Result of anti-TULP3 (IP:, 4ug; Detection: 1:800) with SH-SY5Y cells lysate 1600ug.Immunohistochemistry: TULP3 Antibody - BSA Free [NBP3-45680] -
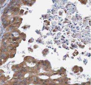
Immunohistochemistry: TULP3 Antibody - BSA Free [NBP3-45680] - Immunohistochemistry of paraffin-embedded human ovary tumor using (TULP3 antibody) at dilution of 1:100Applications for TULP3 Antibody - BSA Free
Application
Recommended Usage
Immunocytochemistry/ Immunofluorescence
1:20-1:200
Immunohistochemistry
1:20-1:200
Immunoprecipitation
1:200-1:1000
Western Blot
1:500-1:1000
Formulation, Preparation, and Storage
Purification
Immunogen affinity purified
Formulation
PBS, 50% Glycerol, pH (7.3)
Format
BSA Free
Preservative
0.02% Sodium Azide
Concentration
Please see the vial label for concentration. If unlisted please contact technical services.
Shipping
The product is shipped with polar packs. Upon receipt, store it immediately at the temperature recommended below.
Stability & Storage
Store at -20C. Avoid freeze-thaw cycles.
Background: TULP3
Alternate Names
MGC45295, tubby like protein 3, tubby-related protein 3, TUBL3Tubby-like protein 3
Gene Symbol
TULP3
Additional TULP3 Products
Product Documents for TULP3 Antibody - BSA Free
Product Specific Notices for TULP3 Antibody - BSA Free
This product is for research use only and is not approved for use in humans or in clinical diagnosis. Primary Antibodies are guaranteed for 1 year from date of receipt.
Loading...
Loading...
Loading...
Loading...