Skip to main content

TUG Antibody (3D10-1D11) - Azide and BSA Free

Novus Biologicals, part of Bio-Techne | Catalog # H00079058-M01

Novus Biologicals, part of Bio-Techne
Catalog #
Availability
Size / Price
Qty
Loading...
H00079058-M01

Key Product Details

Species Reactivity

Human

Applications

ELISA, Immunohistochemistry, Immunohistochemistry-Paraffin, Western Blot

Label

Unconjugated

Antibody Source

Monoclonal Mouse IgG1 kappa Clone # 3D10-1D11

Format

Azide and BSA Free

Concentration

Concentrations vary lot to lot. See vial label for concentration. If unlisted please contact technical services.

Product Specifications

Immunogen

ASPSCR1 (AAH18722, 1 a.a. ~ 553 a.a) full-length recombinant protein with GST tag. MW of the GST tag alone is 26 KDa. MAAPAGGGGSAVSVLAPNGRRHTVKVTPSTVLLQVLEDTCRRQDFNPCEYDLKFQRSVLDLSLQWRFANLPNNAKLEMVPASRSREGPENMVRIALQLDDGSRLQDSFCSGQTLWELLSHFPQIRECLQHPGGATPVCVYTRDEVTGEAALRGTTLQSLGLTGGSATIRFVMKCYDPVGKTPGSLGSSASAGQAAASAPLPLESGELSRGDLSRPEDADTSGPCCEHTQEKQSTRAPAAAPFVPFSGGGQRQGGPPGPTRPLTSSSAKLPKSLSSPGGPSKPKKSKSGQDPQQEQEQERERDPQQEQERERPVDREPVDREPVVCHPDLEERLQAWPAELPDEFFELTVDDVRRRLAQLKSERKRLEEAPLVTKAFREAQIKEKLERYPKVALRVLFPDRYVLQGFFRPSETVGDLRDFVRSHLGNPELSFYLFITPPKTVLDDHTQTLFQANLFPAALVHLGAEEPAGVYLEPGLLEHAISPSAADVLVARYMSRAAGSPSPLPAPDPAPKSEPAAEEGALVPPEPIPGTAQPVKRSLGKVPKWLKLPASKR

Reactivity Notes

Human. Other species not tested.

Specificity

ASPSCR1 - alveolar soft part sarcoma chromosome region, candidate 1

Clonality

Monoclonal

Host

Mouse

Isotype

IgG1 kappa

Description

Novus Biologicals Mouse TUG Antibody (3D10-1D11) - Azide and BSA Free (H00079058-M01) is a monoclonal antibody validated for use in IHC, WB and ELISA. All Novus Biologicals antibodies are covered by our 100% guarantee.

Scientific Data Images for TUG Antibody (3D10-1D11) - Azide and BSA Free

Western Blot: TUG Antibody (3D10-1D11) [H00079058-M01]

Western Blot: TUG Antibody (3D10-1D11) [H00079058-M01]

Western Blot: TUG Antibody (3D10-1D11) [H00079058-M01] - ASPSCR1 monoclonal antibody (M01), clone 3D10-1D11. Analysis of ASPSCR1 expression in HepG2.
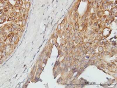
Immunohistochemistry-Paraffin: TUG Antibody (3D10-1D11) [H00079058-M01]

Immunohistochemistry-Paraffin: TUG Antibody (3D10-1D11) [H00079058-M01]

Immunohistochemistry-Paraffin: TUG Antibody (3D10-1D11) [H00079058-M01] - Analysis of monoclonal antibody to ASPSCR1 on formalin-fixed paraffin-embedded human breast cancer. Antibody concentration 3 ug/ml.
Western Blot: TUG Antibody (3D10-1D11) [H00079058-M01]

Western Blot: TUG Antibody (3D10-1D11) [H00079058-M01]

Western Blot: TUG Antibody (3D10-1D11) [H00079058-M01] - ASPSCR1 expression in Hela NE ( Cat # L013V3 ).

Applications for TUG Antibody (3D10-1D11) - Azide and BSA Free

Application
Recommended Usage

Western Blot

1:500
Application Notes
Antibody reactive against cell lysate and recombinant protein for Western Blot. Has also been used for immunohistochemistry (paraffin) and ELISA.

Formulation, Preparation, and Storage

Purification

IgG purified

Formulation

In 1x PBS, pH 7.4

Format

Azide and BSA Free

Preservative

No Preservative

Concentration

Concentrations vary lot to lot. See vial label for concentration. If unlisted please contact technical services.

Shipping

The product is shipped with polar packs. Upon receipt, store it immediately at the temperature recommended below.

Stability & Storage

Aliquot and store at -20C or -80C. Avoid freeze-thaw cycles.

Background: TUG

This gene is a candidate gene for alveolar soft part sarcoma (ASPS). It has been found that this gene is fused with transcription factor TFE3 gene in ASPS and also in renal cell carcinomas. Several alternatively spliced transcript variants of this gene have been described, but their full length nature has not been determined.

Alternate Names

Alveolar soft part sarcoma chromosomal region candidate gene 1 protein, alveolar soft part sarcoma chromosome region, candidate 1, Alveolar soft part sarcoma locus, ASPLUBX domain-containing protein 9, ASPSrenal cell carcinoma gene on chromosome 17, RCC17renal cell carcinoma, papillary, 17, Renal papillary cell carcinoma protein 17, tether containing UBX domain for GLUT4, TUG, UBX domain protein 9, UBXD9ASPCR1, UBXN9FLJ45380

Entrez Gene IDs

79058 (Human)

Gene Symbol

ASPSCR1

OMIM

606 (Human)

Additional TUG Products

Product Documents for TUG Antibody (3D10-1D11) - Azide and BSA Free

Certificate of Analysis

To download a Certificate of Analysis, please enter a lot number in the search box below.

Product Specific Notices for TUG Antibody (3D10-1D11) - Azide and BSA Free

This product is produced by and distributed for Abnova, a company based in Taiwan.

This product is for research use only and is not approved for use in humans or in clinical diagnosis. Primary Antibodies are guaranteed for 1 year from date of receipt.

Loading...
Loading...
Loading...
Loading...