TTC40 Antibody - BSA Free
Novus Biologicals, part of Bio-Techne | Catalog # NBP2-15632
Key Product Details
Species Reactivity
Human
Applications
Immunohistochemistry, Immunohistochemistry-Paraffin, Western Blot, Immunocytochemistry/ Immunofluorescence
Label
Unconjugated
Antibody Source
Polyclonal Rabbit IgG
Format
BSA Free
Concentration
Concentrations vary lot to lot. See vial label for concentration. If unlisted please contact technical services.
Product Specifications
Immunogen
Recombinant protein encompassing a sequence within the center region of human TTC40. The exact sequence is proprietary.
Clonality
Polyclonal
Host
Rabbit
Isotype
IgG
Description
Novus Biologicals Rabbit TTC40 Antibody - BSA Free (NBP2-15632) is a polyclonal antibody validated for use in IHC, WB and ICC/IF. All Novus Biologicals antibodies are covered by our 100% guarantee.
Scientific Data Images for TTC40 Antibody - BSA Free
Western Blot: TTC40 Antibody [NBP2-15632]
Western Blot: TTC40 Antibody [NBP2-15632] - Sample (30 ug of whole cell lysate) A: HCT116 12% SDS PAGE gel, diluted at 1:1000.Immunocytochemistry/ Immunofluorescence: TTC40 Antibody [NBP2-15632]
Immunocytochemistry/Immunofluorescence: TTC40 Antibody [NBP2-15632] - Immunofluorescence analysis of methanol-fixed HeLa, using antibody at 1:200 dilution.Immunohistochemistry-Paraffin: TTC40 Antibody [NBP2-15632]
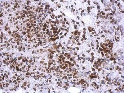
Immunohistochemistry-Paraffin: TTC40 Antibody [NBP2-15632] - Immunohistochemical analysis of paraffin-embedded HBL435 xenograft, using antibody at 1:500 dilution.Applications for TTC40 Antibody - BSA Free
Application
Recommended Usage
Immunocytochemistry/ Immunofluorescence
1:100-1:1000
Immunohistochemistry
1:100-1:1000
Immunohistochemistry-Paraffin
1:100-1:1000
Western Blot
1:500-1:3000
Formulation, Preparation, and Storage
Purification
Antigen Affinity-purified
Formulation
0.1M Tris, 0.1M Glycine, 20% Glycerol
Format
BSA Free
Preservative
0.01% Thimerosal
Concentration
Concentrations vary lot to lot. See vial label for concentration. If unlisted please contact technical services.
Shipping
The product is shipped with polar packs. Upon receipt, store it immediately at the temperature recommended below.
Stability & Storage
Aliquot and store at -20C or -80C. Avoid freeze-thaw cycles.
Background: TTC40
Alternate Names
bA288G11.4, bA288G11.5, bB137A17.2, bB137A17.3, C10orf123, C10orf124, C10orf92, C10orf93, chromosome 10 open reading frame 93, RP11-288G11.4, RP13-137A17.3
Gene Symbol
TTC40
UniProt
Additional TTC40 Products
Product Documents for TTC40 Antibody - BSA Free
Product Specific Notices for TTC40 Antibody - BSA Free
This product is for research use only and is not approved for use in humans or in clinical diagnosis. Primary Antibodies are guaranteed for 1 year from date of receipt.
Loading...
Loading...
Loading...
Loading...
⚠ WARNING: This product can expose you to chemicals including mercury, which is known to the State of California to cause reproductive toxicity with developmental effects. For more information go to www.P65Warnings.ca.gov.