Skip to main content

TTC32 Antibody - BSA Free

Novus Biologicals, part of Bio-Techne | Catalog # NBP3-45695

Novus Biologicals, part of Bio-Techne
Catalog #
Availability
Size / Price
Qty
Loading...
NBP3-45695

Key Product Details

Species Reactivity

Human, Mouse

Applications

Immunohistochemistry, Western Blot, ELISA, Immunocytochemistry/ Immunofluorescence, Immunoprecipitation

Label

Unconjugated

Antibody Source

Polyclonal Rabbit IgG

Format

BSA Free

Concentration

Please see the vial label for concentration. If unlisted please contact technical services.

Product Specifications

Immunogen

tetratricopeptide repeat domain 32. (Uniprot# Q5I0X7)

Clonality

Polyclonal

Host

Rabbit

Isotype

IgG

Theoretical MW

27 kDa.
Disclaimer note: The observed molecular weight of the protein may vary from the listed predicted molecular weight due to post translational modifications, post translation cleavages, relative charges, and other experimental factors.

Description

Novus Biologicals Rabbit TTC32 Antibody - BSA Free (NBP3-45695) is a polyclonal antibody validated for use in IHC, WB, ELISA, ICC/IF and IP. All Novus Biologicals antibodies are covered by our 100% guarantee.

Scientific Data Images for TTC32 Antibody - BSA Free

TTC32 Antibody - BSA Free

Western Blot: TTC32 Antibody - BSA Free [NBP3-45695] -

Western Blot: TTC32 Antibody - BSA Free [NBP3-45695] - Mouse testis tissue were subjected to SDS PAGE followed by western blot with (TTC32 Antibody) at dilution of 1:300
TTC32 Antibody - BSA Free

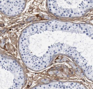
Immunohistochemistry: TTC32 Antibody - BSA Free [NBP3-45695] -

Immunohistochemistry: TTC32 Antibody - BSA Free [NBP3-45695] - Immunohistochemistry of paraffin-embedded human testis tissue slide using (TTC32 Antibody) at dilution of 1:50
TTC32 Antibody - BSA Free

Immunoprecipitation: TTC32 Antibody - BSA Free [NBP3-45695] -

Immunoprecipitation: TTC32 Antibody - BSA Free [NBP3-45695] - IP Result of anti-TTC32 (IP:, 4ug; Detection: 1:300) with mouse testis tissue lysate 4000ug.

Applications for TTC32 Antibody - BSA Free

Application
Recommended Usage

Immunocytochemistry/ Immunofluorescence

1:10-1:100

Immunohistochemistry

1:20-1:200

Immunoprecipitation

1:200-1:1000

Western Blot

1:200-1:1000

Formulation, Preparation, and Storage

Purification

Immunogen affinity purified

Formulation

PBS, 50% Glycerol, pH (7.3)

Format

BSA Free

Preservative

0.02% Sodium Azide

Concentration

Please see the vial label for concentration. If unlisted please contact technical services.

Shipping

The product is shipped with polar packs. Upon receipt, store it immediately at the temperature recommended below.

Stability & Storage

Store at -20C. Avoid freeze-thaw cycles.

Background: TTC32

Alternate Names

tetratricopeptide repeat domain 32, tetratricopeptide repeat protein 32, TPR repeat protein 32

Gene Symbol

TTC32

Additional TTC32 Products

Product Documents for TTC32 Antibody - BSA Free

Certificate of Analysis

To download a Certificate of Analysis, please enter a lot number in the search box below.

Product Specific Notices for TTC32 Antibody - BSA Free

This product is for research use only and is not approved for use in humans or in clinical diagnosis. Primary Antibodies are guaranteed for 1 year from date of receipt.

Loading...
Loading...
Loading...
Loading...