Skip to main content

TTC18 Antibody - BSA Free

Novus Biologicals, part of Bio-Techne | Catalog # NBP2-62668

Novus Biologicals, part of Bio-Techne
Catalog #
Availability
Size / Price
Qty
Loading...
NBP2-62668
NBP2-62668-25ul

Key Product Details

Validated by

Orthogonal Validation

Species Reactivity

Human

Applications

Immunohistochemistry, Immunohistochemistry-Paraffin

Label

Unconjugated

Antibody Source

Polyclonal Rabbit IgG

Format

BSA Free

Concentration

Concentrations vary lot to lot. See vial label for concentration. If unlisted please contact technical services.

Product Specifications

Immunogen

This antibody was developed against a recombinant protein corresponding to amino acids: DLKGFKGDTPVTFIRAEFNQVVLGDSAKITVSPEGSAKYNFTSSFEFNPEGGITSDDLAHKPVFLTVTEVLPKEKKQKE

Reactivity Notes

Mouse (80%), Rat (81%).

Clonality

Polyclonal

Host

Rabbit

Isotype

IgG

Description

Novus Biologicals Rabbit TTC18 Antibody - BSA Free (NBP2-62668) is a polyclonal antibody validated for use in IHC. All Novus Biologicals antibodies are covered by our 100% guarantee.

Scientific Data Images for TTC18 Antibody - BSA Free

Immunohistochemistry-Paraffin: TTC18 Antibody [NBP2-62668]

Immunohistochemistry-Paraffin: TTC18 Antibody [NBP2-62668]

Immunohistochemistry-Paraffin: TTC18 Antibody [NBP2-62668] - Analysis in human testis and colon tissues using Anti-CFAP70 antibody. Corresponding CFAP70 RNA-seq data are presented for the same tissues.
Immunohistochemistry-Paraffin: TTC18 Antibody [NBP2-62668]

Immunohistochemistry-Paraffin: TTC18 Antibody [NBP2-62668]

Immunohistochemistry-Paraffin: TTC18 Antibody [NBP2-62668] - Staining of human colon shows low expression as expected.
Immunohistochemistry-Paraffin: TTC18 Antibody [NBP2-62668]

Immunohistochemistry-Paraffin: TTC18 Antibody [NBP2-62668]

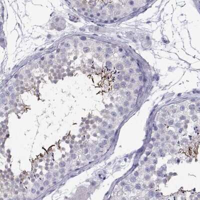
Immunohistochemistry-Paraffin: TTC18 Antibody [NBP2-62668] - Staining of human testis shows high expression.

Applications for TTC18 Antibody - BSA Free

Application
Recommended Usage

Immunohistochemistry

1:200 - 1:500

Immunohistochemistry-Paraffin

1:200 - 1:500
Application Notes
For IHC-Paraffin, HIER pH 6 retrieval is recommended.

Formulation, Preparation, and Storage

Purification

Affinity purified

Formulation

PBS (pH 7.2) and 40% Glycerol

Format

BSA Free

Preservative

0.02% Sodium Azide

Concentration

Concentrations vary lot to lot. See vial label for concentration. If unlisted please contact technical services.

Shipping

The product is shipped with polar packs. Upon receipt, store it immediately at the temperature recommended below.

Stability & Storage

Store at 4C short term. Aliquot and store at -20C long term. Avoid freeze-thaw cycles.

Background: TTC18

Alternate Names

FLJ12173, FLJ25765, RP11-152N13.6, tetratricopeptide repeat domain 18, tetratricopeptide repeat protein 18, tetratricopeptide repeat-containing protein, TPR repeat protein 18

Gene Symbol

TTC18

Additional TTC18 Products

Product Documents for TTC18 Antibody - BSA Free

Certificate of Analysis

To download a Certificate of Analysis, please enter a lot number in the search box below.

Product Specific Notices for TTC18 Antibody - BSA Free

This product is for research use only and is not approved for use in humans or in clinical diagnosis. Primary Antibodies are guaranteed for 1 year from date of receipt.

Loading...
Loading...
Loading...
Loading...