Skip to main content

TTC11 Antibody - BSA Free

Novus Biologicals, part of Bio-Techne | Catalog # NBP1-85664

Novus Biologicals, part of Bio-Techne
Catalog #
Availability
Size / Price
Qty
Loading...
NBP1-85664
NBP1-85664-25ul

Key Product Details

Species Reactivity

Validated:

Human, Mouse, Rat

Cited:

Human

Applications

Validated:

Immunohistochemistry, Immunohistochemistry-Paraffin, Western Blot, Immunocytochemistry/ Immunofluorescence

Cited:

Western Blot

Label

Unconjugated

Antibody Source

Polyclonal Rabbit IgG

Format

BSA Free

Concentration

Concentrations vary lot to lot. See vial label for concentration. If unlisted please contact technical services.

Product Specifications

Immunogen

This antibody was developed against Recombinant Protein corresponding to amino acids: MEAVLNELVSVEDLLKFEKKFQSEKAAGSVSKSTQFEYAWCLVRSKYNDDIRKGIVLLEELLPKGSKEEQRDYVFYLAVGNYRLKEYEKALKYVRGLLQTEPQNNQAKELERLIDKAMKKD

Reactivity Notes

Reactivity reported in scientific literature (PMID: 23249249)

Clonality

Polyclonal

Host

Rabbit

Isotype

IgG

Description

Novus Biologicals Rabbit TTC11 Antibody - BSA Free (NBP1-85664) is a polyclonal antibody validated for use in IHC, WB and ICC/IF. Anti-TTC11 Antibody: Cited in 2 publications. All Novus Biologicals antibodies are covered by our 100% guarantee.

Scientific Data Images for TTC11 Antibody - BSA Free

Immunohistochemistry-Paraffin: TTC11 Antibody [NBP1-85664]

Immunohistochemistry-Paraffin: TTC11 Antibody [NBP1-85664]

Immunohistochemistry-Paraffin: TTC11 Antibody [NBP1-85664] - Staining of human prostate shows moderate granular cytoplasmic positivity in glandular cells.
Immunohistochemistry-Paraffin: TTC11 Antibody [NBP1-85664]

Immunohistochemistry-Paraffin: TTC11 Antibody [NBP1-85664]

Immunohistochemistry-Paraffin: TTC11 Antibody [NBP1-85664] - Staining of human Fallopian tube shows moderate granular cytoplasmic positivity in glandular cells.
Immunohistochemistry-Paraffin: TTC11 Antibody [NBP1-85664]

Immunohistochemistry-Paraffin: TTC11 Antibody [NBP1-85664]

Immunohistochemistry-Paraffin: TTC11 Antibody [NBP1-85664] - Staining of human cerebral cortex shows moderate granular cytoplasmic positivity in neurons.

Applications for TTC11 Antibody - BSA Free

Application
Recommended Usage

Immunocytochemistry/ Immunofluorescence

0.25-2 ug/ml

Immunohistochemistry

1:500 - 1:1000

Immunohistochemistry-Paraffin

1:500 - 1:1000

Western Blot

0.04-0.4 ug/ml
Application Notes
For IHC-Paraffin, HIER pH 6 retrieval is recommended. ICC/IF Fixation Permeabilization: Use PFA/Triton X-100.

Formulation, Preparation, and Storage

Purification

Immunogen affinity purified

Formulation

PBS (pH 7.2) and 40% Glycerol

Format

BSA Free

Preservative

0.02% Sodium Azide

Concentration

Concentrations vary lot to lot. See vial label for concentration. If unlisted please contact technical services.

Shipping

The product is shipped with polar packs. Upon receipt, store it immediately at the temperature recommended below.

Stability & Storage

Store at 4C short term. Aliquot and store at -20C long term. Avoid freeze-thaw cycles.

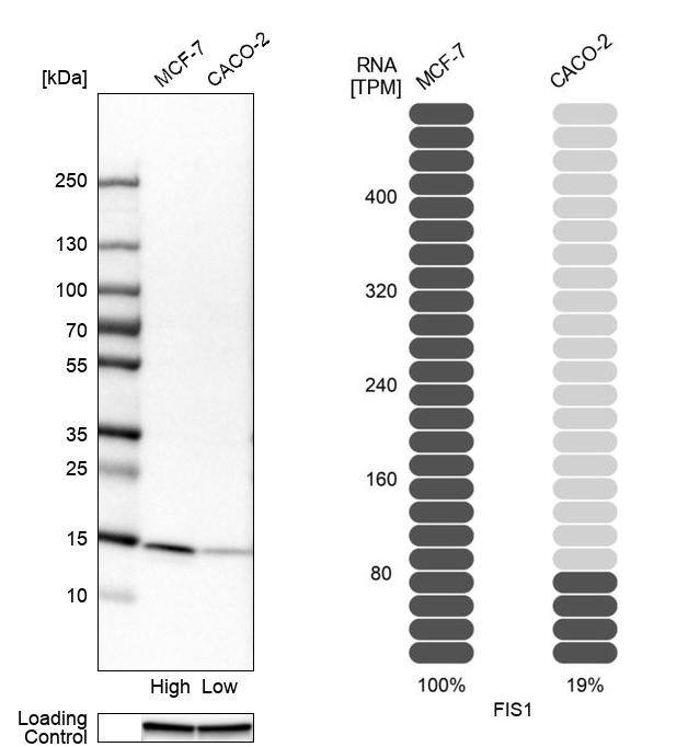
Background: TTC11

The balance between fission and fusion regulates the morphology of mitochondria. TTC11 is a component of a mitochondrial complex that promotes mitochondrial fission (James et al., 2003 [PubMed 12783892]).[supplied by OMIM]

Alternate Names

CGI-135, Fis1, FIS1 homolog, fission 1 (mitochondrial outer membrane) homolog (S. cerevisiae), fission 1 (mitochondrial outer membrane) homolog (yeast), H_NH0132A01.6, hFis1, mitochondrial fission 1 protein, tetratricopeptide repeat domain 11, Tetratricopeptide repeat protein 11, TTC11TPR repeat protein 11

Gene Symbol

FIS1

Additional TTC11 Products

Product Documents for TTC11 Antibody - BSA Free

Certificate of Analysis

To download a Certificate of Analysis, please enter a lot number in the search box below.

Product Specific Notices for TTC11 Antibody - BSA Free

This product is for research use only and is not approved for use in humans or in clinical diagnosis. Primary Antibodies are guaranteed for 1 year from date of receipt.

Loading...
Loading...
Loading...
Loading...