TSLPR/CRLF2 Antibody (59N5G4) - Azide and BSA Free
Novus Biologicals, part of Bio-Techne | Catalog # NBP2-81000
Conjugate
Catalog #
Key Product Details
Species Reactivity
Human
Applications
Immunohistochemistry, Immunohistochemistry-Paraffin, Western Blot
Label
Unconjugated
Antibody Source
Monoclonal Mouse IgG2b Kappa Clone # 59N5G4
Format
Azide and BSA Free
Concentration
0.5 mg/ml
Product Specifications
Immunogen
Amino acids 119-231 of human TSLPR protein were used as the immunogen for the antibody.
Clonality
Monoclonal
Host
Mouse
Isotype
IgG2b Kappa
Description
Novus Biologicals Mouse TSLPR/CRLF2 Antibody (59N5G4) - Azide and BSA Free (NBP2-27331) is a monoclonal antibody validated for use in IHC and WB. All Novus Biologicals antibodies are covered by our 100% guarantee.
Scientific Data Images for TSLPR/CRLF2 Antibody (59N5G4) - Azide and BSA Free
Western Blot: TSLPR/CRLF2 Antibody (59N5G4)Azide and BSA Free [NBP2-81000]
Western Blot: TSLPR/CRLF2 Antibody (59N5G4) - Azide and BSA Free [NBP2-81000] - Analysis of CRLF2 in an A) partial recombinant protein (0.1 ug/ml), B) human muscle and C) liver lysate (5 ug/ml) using CRLF2 antibody. Image from the standard format of this antibody.Immunohistochemistry-Paraffin: TSLPR/CRLF2 Antibody (59N5G4) - Azide and BSA Free [NBP2-81000]
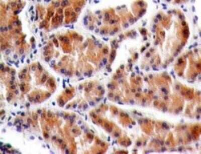
Immunohistochemistry-Paraffin: TSLPR/CRLF2 Antibody (59N5G4) - Azide and BSA Free [NBP2-81000] - Formalin-fixed, paraffin-embedded normal human kidney tissue stained with TSLPR antibody (5 ug/ml), peroxidase-conjugate and DAB chromogen. Image from the standard format of this antibody.Applications for TSLPR/CRLF2 Antibody (59N5G4) - Azide and BSA Free
Application
Recommended Usage
Western Blot
1:100-1:2000
Formulation, Preparation, and Storage
Purification
Protein G purified
Formulation
PBS
Format
Azide and BSA Free
Preservative
No Preservative
Concentration
0.5 mg/ml
Shipping
The product is shipped with polar packs. Upon receipt, store it immediately at the temperature recommended below.
Stability & Storage
Store at 4C short term. Aliquot and store at -20C long term. Avoid freeze-thaw cycles.
Background: TSLPR
Long Name
Thymic Stromal Lymphopoietin Receptor
Alternate Names
CRL2, CRLF2, CRLM-2, PCOR1, TSLP R
Gene Symbol
CRLF2
Additional TSLPR Products
Product Documents for TSLPR/CRLF2 Antibody (59N5G4) - Azide and BSA Free
Product Specific Notices for TSLPR/CRLF2 Antibody (59N5G4) - Azide and BSA Free
This product is for research use only and is not approved for use in humans or in clinical diagnosis. Primary Antibodies are guaranteed for 1 year from date of receipt.
Loading...
Loading...
Loading...
Loading...