Skip to main content

TSLP Antibody (55N2D4) - BSA Free

Novus Biologicals, part of Bio-Techne | Catalog # NBP2-27325

Novus Biologicals, part of Bio-Techne
Catalog #
Availability
Size / Price
Qty
Loading...
NBP2-27325
NBP2-27325SS

Key Product Details

Species Reactivity

Human

Applications

Immunohistochemistry, Immunohistochemistry-Paraffin, Western Blot

Label

Unconjugated

Antibody Source

Monoclonal Mouse IgG2a Kappa Clone # 55N2D4

Format

BSA Free

Concentration

1.0 mg/ml

Product Specifications

Immunogen

amino acids (27-158) MDYDFTNCDFEkIkAAYLSTISkDLITYMSGTkSTEFNNTVSCSNRPHCLTEIQSLTFNP~TAGCASLAkEMFAMkTkAALAIWCPGYSETQINATQAMkkRRkRkVTTNkCLEQVSQLQG~LWRRFNRPLLkQQL

Clonality

Monoclonal

Host

Mouse

Isotype

IgG2a Kappa

Description

Novus Biologicals Mouse TSLP Antibody (55N2D4) - BSA Free (NBP2-27325) is a monoclonal antibody validated for use in IHC and WB. All Novus Biologicals antibodies are covered by our 100% guarantee.

Scientific Data Images for TSLP Antibody (55N2D4) - BSA Free

Western Blot: TSLP Antibody (55N2D4)BSA Free [NBP2-27325]

Western Blot: TSLP Antibody (55N2D4)BSA Free [NBP2-27325]

Western Blot: TSLP Antibody (55N2D4) [NBP2-27325] - Analysis of a TSLP recombinant protein using TSLP antibody at 0.5 ug/ml. Goat anti-mouse Ig HRP secondary antibody and PicoTect ECL substrate solution were used for this test.
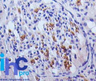
Immunohistochemistry-Paraffin: TSLP Antibody (55N2D4) - BSA Free [NBP2-27325]

Immunohistochemistry-Paraffin: TSLP Antibody (55N2D4) - BSA Free [NBP2-27325]

Immunohistochemistry-Paraffin: TSLP Antibody (55N2D4) [NBP2-27325] - Formalin-fixed, paraffin-embedded normal human kidney stained with TSLP antibody (3 ug/ml), peroxidase-conjugate and DAB chromogen. tissue array slide was used for this test.

Applications for TSLP Antibody (55N2D4) - BSA Free

Application
Recommended Usage

Immunohistochemistry-Paraffin

3-5ug/ml

Western Blot

0.5-2ug/ml~
Application Notes
Staining of formalin-fixed tissues is enhanced by boiling tissue sections in 10 mM sodium citrate buffer, pH 6.0 for 10-20 min followed by cooling at RT for 20 min.

Formulation, Preparation, and Storage

Purification

Protein G purified

Formulation

PBS

Format

BSA Free

Preservative

0.05% Sodium Azide

Concentration

1.0 mg/ml

Shipping

The product is shipped with polar packs. Upon receipt, store it immediately at the temperature recommended below.

Stability & Storage

Store at 4C short term. Aliquot and store at -20C long term. Avoid freeze-thaw cycles.

Background: TSLP

TSLP is a 159 amino acid four helix-bundle hemopoietic cytokine that signals through a heterodimeric receptor complex consisting of the human TSLP receptor and the IL-7R alpha-chain. It impacts myeloid cells and induces the release of Tcell-attracting chemokines from monocytes, enhances the maturation of CD11c+ dendritic cells, naive CD4+, and CD8+ Tcells into proallergic effectors, and primes DCs to produce large amounts of IL-12 after CD40 ligand stimulation. TSLP influences the regulation of the positive selection of regulatory Tcells and maintenance of peripheral CD4+ Tcell homeostasis. It induces allergic inflammation by directly activating mast cells and may be involved in the pathophysiology of inflammatory arthritis. TSLP is expressed in heart, liver and prostate.

Long Name

Thymic Stromal Lymphopoietin

Alternate Names

thymic stromal lymphopoietin

Gene Symbol

TSLP

UniProt

Additional TSLP Products

Product Documents for TSLP Antibody (55N2D4) - BSA Free

Certificate of Analysis

To download a Certificate of Analysis, please enter a lot number in the search box below.

Product Specific Notices for TSLP Antibody (55N2D4) - BSA Free

This product is for research use only and is not approved for use in humans or in clinical diagnosis. Primary Antibodies are guaranteed for 1 year from date of receipt.

Loading...
Loading...
Loading...
Loading...