Skip to main content

TSG101 Antibody - BSA Free

Novus Biologicals, part of Bio-Techne | Catalog # NBP1-80659

Novus Biologicals, part of Bio-Techne
Catalog #
Availability
Size / Price
Qty
Loading...
NBP1-80659
NBP1-80659-25ul

Key Product Details

Validated by

Knockout/Knockdown

Species Reactivity

Validated:

Human, Mouse, Rat

Cited:

Human, Mouse, Rat

Applications

Validated:

Immunohistochemistry, Immunohistochemistry-Paraffin, Western Blot, Immunocytochemistry/ Immunofluorescence, Simple Western, Knockdown Validated

Cited:

Western Blot, Immunocytochemistry/ Immunofluorescence

Label

Unconjugated

Antibody Source

Polyclonal Rabbit IgG

Format

BSA Free

Concentration

Concentrations vary lot to lot. See vial label for concentration. If unlisted please contact technical services.

Product Specifications

Immunogen

This antibody was developed against Recombinant Protein corresponding to amino acids: RMKEEMDRAQAELNALKRTEEDLKKGHQKLEEMVTRLDQEVAEVDKNIELLKKKDEELSSALEKMENQSENNDIDEVIIPTAPLYKQILNLYAEENAIEDTIFYLGEALRRGVIDLDVFLKHVRLLS

Marker

Exosome Marker

Clonality

Polyclonal

Host

Rabbit

Isotype

IgG

Description

Novus Biologicals Rabbit TSG101 Antibody - BSA Free (NBP1-80659) is a polyclonal antibody validated for use in IHC, WB, ICC/IF and Simple Western. Anti-TSG101 Antibody: Cited in 11 publications. All Novus Biologicals antibodies are covered by our 100% guarantee.

Scientific Data Images for TSG101 Antibody - BSA Free

Western Blot: TSG101 Antibody [NBP1-80659]

Western Blot: TSG101 Antibody [NBP1-80659]

Western Blot: TSG101 Antibody [NBP1-80659] - Analysis in MCF-7 cells transfected with control siRNA, target specific siRNA probe #1 and #2, using Anti-TSG101 antibody. Remaining relative intensity is presented. Loading control: Anti-GAPDH.
Immunocytochemistry/ Immunofluorescence: TSG101 Antibody [NBP1-80659]

Immunocytochemistry/ Immunofluorescence: TSG101 Antibody [NBP1-80659]

Immunocytochemistry/Immunofluorescence: TSG101 Antibody [NBP1-80659] - Staining of human cell line A-431 shows localization to plasma membrane & cytosol. Antibody staining is shown in green.
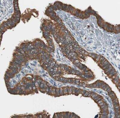
Immunohistochemistry-Paraffin: TSG101 Antibody [NBP1-80659]

Immunohistochemistry-Paraffin: TSG101 Antibody [NBP1-80659]

Immunohistochemistry-Paraffin: TSG101 Antibody [NBP1-80659] - Staining of human fallopian tube shows strong cytoplasmic positivity in glandular cells.

Applications for TSG101 Antibody - BSA Free

Application
Recommended Usage

Immunocytochemistry/ Immunofluorescence

0.25-2 ug/ml

Immunohistochemistry

1:200 - 1:500

Immunohistochemistry-Paraffin

1:200 - 1:500

Simple Western

1:50

Western Blot

0.04-0.4 ug/ml
Application Notes
For IHC-Paraffin, HIER pH 6 retrieval is recommended. ICC/IF Fixation Permeabilization, Use PFA/Triton X-100.
See Simple Western Antibody Database for Simple Western validation: Tested in Typical EV marker, antibody dilution of 1:50

Reviewed Applications

Read 2 reviews rated 4 using NBP1-80659 in the following applications:

Formulation, Preparation, and Storage

Purification

Immunogen affinity purified

Formulation

PBS (pH 7.2) and 40% Glycerol

Format

BSA Free

Preservative

0.02% Sodium Azide

Concentration

Concentrations vary lot to lot. See vial label for concentration. If unlisted please contact technical services.

Shipping

The product is shipped with polar packs. Upon receipt, store it immediately at the temperature recommended below.

Stability & Storage

Store at 4C short term. Aliquot and store at -20C long term. Avoid freeze-thaw cycles.

Background: TSG101

Tumor susceptibility 101 protein (human TSG101 theoretical molecular weight 44kDa) is the mammalian homologue of the yeast protein Vps23 which plays a role in endosomal and multivesicular body trafficking. TSG101 forms part of the endosomal sorting complexes required for transport complex 1 (ESCRT-I), a cytosolic multiprotein complex consisting additionally of Vps28, Vps37 (A-D) and Mvb12 (A, B) or UBAP1 (1). TSG101 contains multiple domains including the amino terminal ubiquitin e2 variant (UEV) domain, a proline-rich (RRR) domain, a coiled coil (CC) domain, and a carboxy terminal alpha-helical/steadiness box (SB) domain (2). As part of the ESCRT-I complex, TSG101 interacts through its UEV domain with ubiquitinated membrane proteins and members of the ESCRT-0 complex. The UEV domain plays a critical role for various TSG101 functions such as protein sorting into multivesicular bodies and late endosomes, and in the process of viral budding. For example, TSG101 interacts with the intermediate-conductance, Ca2+ -activated K+ channel (KCa3.1), facilitating its targeting to the lysosome for degradation (3). Additionally, TSG101 has been implicated in the turnover of connexins such as connexins 43 and 45 (4). TSG101 plays a role in other cellular functions including transcriptional regulation, cytokinesis and cell growth (2).

Upon its initial discovery, TSG101 was recognized as a tumor suppressor protein due to the identification of deletions within the TSG101 gene in human breast carcinomas. However, re-examination of the initial findings argued against this function and supported that TSG101 promotes tumorigenesis (2). In agreement with this role, TSG101 expression is upregulated in several types of cancer including breast, ovarian, and colorectal carcinoma.

References

1. Schmidt, O., & Teis, D. (2012). The ESCRT machinery. Current Biology. https://doi.org/10.1016/j.cub.2012.01.028

2. Jiang, Y., Ou, Y., & Cheng, X. (2013). Role of TSG101 in cancer. Frontiers in Bioscience. https://doi.org/10.2741/4099

3. Balut, C. M., Gao, Y., Murray, S. A., Thibodeau, P. H., & Devor, D. C. (2010). ESCRT-dependent targeting of plasma membrane localized KCa3.1 to the lysosomes. American Journal of Physiology - Cell Physiology. https://doi.org/10.1152/ajpcell.00120.2010

4. Su, V., & Lau, A. F. (2014). Connexins: Mechanisms regulating protein levels and intercellular communication. FEBS Letters. https://doi.org/10.1016/j.febslet.2014.01.013

Long Name

Tumor Susceptibility 101

Alternate Names

TSG10, VPS23

Entrez Gene IDs

7251 (Human)

Gene Symbol

TSG101

UniProt

Additional TSG101 Products

Product Documents for TSG101 Antibody - BSA Free

Certificate of Analysis

To download a Certificate of Analysis, please enter a lot number in the search box below.

Product Specific Notices for TSG101 Antibody - BSA Free

This product is for research use only and is not approved for use in humans or in clinical diagnosis. Primary Antibodies are guaranteed for 1 year from date of receipt.

Loading...
Loading...
Loading...
Loading...