Skip to main content

TSEN54 Antibody - BSA Free

Novus Biologicals, part of Bio-Techne | Catalog # NBP2-30377

Novus Biologicals, part of Bio-Techne
Catalog #
Availability
Size / Price
Qty
Loading...
NBP2-30377-25ul
NBP2-30377

Key Product Details

Species Reactivity

Validated:

Human

Predicted:

Rat (93%). Backed by our 100% Guarantee.

Applications

Immunohistochemistry, Immunohistochemistry-Paraffin, Western Blot

Label

Unconjugated

Antibody Source

Polyclonal Rabbit IgG

Format

BSA Free

Concentration

Concentrations vary lot to lot. See vial label for concentration. If unlisted please contact technical services.

Product Specifications

Immunogen

This antibody was developed against a recombinant protein corresponding to amino acids: TTHLPDGGVRLLEKSGGLEIIFDVYQADAVATFRKNNPGKPYARMCISGFDEPVPDLCSLKRLSYQSGDVPLIFALVDHGDISFYSFRDFTLPQDV

Reactivity Notes

Immunogen displays the following percentage of sequence identity for non-tested species: Mouse (89%)

Clonality

Polyclonal

Host

Rabbit

Isotype

IgG

Description

Novus Biologicals Rabbit TSEN54 Antibody - BSA Free (NBP2-30377) is a polyclonal antibody validated for use in IHC and WB. All Novus Biologicals antibodies are covered by our 100% guarantee.

Scientific Data Images for TSEN54 Antibody - BSA Free

Western Blot: TSEN54 Antibody [NBP2-30377]

Western Blot: TSEN54 Antibody [NBP2-30377]

Western Blot: TSEN54 Antibody [NBP2-30377] - Lane 1: Marker [kDa] 250, 130, 95, 72, 55, 36, 28, 17, 10. Lane 2: Human cell line RT-4. Lane 3: Human cell line U-251MG sp. Lane 4: Human plasma (IgG/HSA depleted). Lane 5: Human liver tissue. Lane 6: Human tonsil tissue
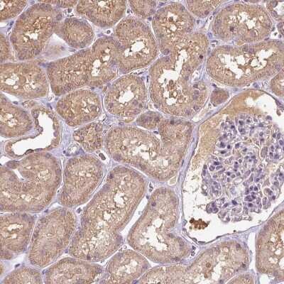
Immunohistochemistry: TSEN54 Antibody [NBP2-30377]

Immunohistochemistry: TSEN54 Antibody [NBP2-30377]

Immunohistochemistry: TSEN54 Antibody [NBP2-30377] - Staining of human kidney shows moderate positivity in renal tubules.

Applications for TSEN54 Antibody - BSA Free

Application
Recommended Usage

Immunohistochemistry

1:200 - 1:500

Immunohistochemistry-Paraffin

1:200 - 1:500

Western Blot

0.04-0.4 ug/ml
Application Notes
For IHC-Paraffin, HIER pH 6 retrieval is recommended.

Formulation, Preparation, and Storage

Purification

Affinity purified

Formulation

PBS (pH 7.2) and 40% Glycerol

Format

BSA Free

Preservative

0.02% Sodium Azide

Concentration

Concentrations vary lot to lot. See vial label for concentration. If unlisted please contact technical services.

Shipping

The product is shipped with polar packs. Upon receipt, store it immediately at the temperature recommended below.

Stability & Storage

Store at 4C short term. Aliquot and store at -20C long term. Avoid freeze-thaw cycles.

Background: TSEN54

TSEN54 - tRNA splicing endonuclease 54 homolog (SEN54, S. cerevisiae)

Alternate Names

hsSen54, PCH2A, PCH4, sen54, SEN54 homolog, SEN54FLJ37147, SEN54L, tRNA splicing endonuclease 54 homolog (S. cerevisiae), tRNA splicing endonuclease 54 homolog (SEN54, S. cerevisiae), tRNA-intron endonuclease Sen54, tRNA-splicing endonuclease subunit Sen54

Gene Symbol

TSEN54

UniProt

Additional TSEN54 Products

Product Documents for TSEN54 Antibody - BSA Free

Certificate of Analysis

To download a Certificate of Analysis, please enter a lot number in the search box below.

Product Specific Notices for TSEN54 Antibody - BSA Free

This product is for research use only and is not approved for use in humans or in clinical diagnosis. Primary Antibodies are guaranteed for 1 year from date of receipt.

Loading...
Loading...
Loading...
Loading...