Skip to main content

TSC22/TSC22D1 Antibody (OTI4H8) - Azide and BSA Free

Novus Biologicals, part of Bio-Techne | Catalog # NBP2-74654

Novus Biologicals, part of Bio-Techne
Catalog #
Availability
Size / Price
Qty
Loading...
NBP2-74654

Key Product Details

Species Reactivity

Human, Mouse, Rat

Applications

Immunohistochemistry, Immunohistochemistry-Paraffin, Western Blot, Flow Cytometry, CyTOF-ready

Label

Unconjugated

Antibody Source

Monoclonal Mouse IgG2A Clone # OTI4H8

Format

Azide and BSA Free

Concentration

LYOPH mg/ml

Product Specifications

Immunogen

Full length human recombinant protein of human TSC22D1(NP_006013) produced in HEK293T cell.

Reactivity Notes

Please note that this antibody is reactive to Mouse and derived from the same host, Mouse. Mouse-On-Mouse blocking reagent may be needed for IHC and ICC experiments to reduce high background signal. You can find these reagents under catalog numbers PK-2200-NB and MP-2400-NB. Please contact Technical Support if you have any questions.

Clonality

Monoclonal

Host

Mouse

Isotype

IgG2A

Theoretical MW

15.5 kDa.
Disclaimer note: The observed molecular weight of the protein may vary from the listed predicted molecular weight due to post translational modifications, post translation cleavages, relative charges, and other experimental factors.

Description

Novus Biologicals Mouse TSC22/TSC22D1 Antibody (OTI4H8) - Azide and BSA Free (NBP2-46238) is a monoclonal antibody validated for use in IHC, WB and Flow. All Novus Biologicals antibodies are covered by our 100% guarantee.

Scientific Data Images for TSC22/TSC22D1 Antibody (OTI4H8) - Azide and BSA Free

Western Blot: TSC22/TSC22D1 Antibody (OTI4H8)Azide and BSA Free [NBP2-74654]

Western Blot: TSC22/TSC22D1 Antibody (OTI4H8)Azide and BSA Free [NBP2-74654]

Western Blot: TSC22/TSC22D1 Antibody (OTI4H8) - Azide and BSA Free [NBP2-74654] - Analysis of HEK293T cells were transfected with the pCMV6-ENTRY control (Left lane) or pCMV6-ENTRY TSC22D1.
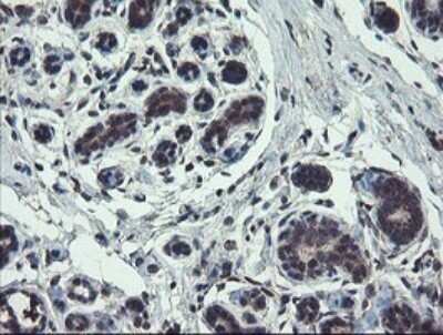
Immunohistochemistry: TSC22/TSC22D1 Antibody (OTI4H8) - Azide and BSA Free [NBP2-74654]

Immunohistochemistry: TSC22/TSC22D1 Antibody (OTI4H8) - Azide and BSA Free [NBP2-74654]

Immunohistochemistry: TSC22/TSC22D1 Antibody (OTI4H8) - Azide and BSA Free [NBP2-74654] - Analysis of Human prostate tissue.
Flow Cytometry: TSC22/TSC22D1 Antibody (OTI4H8) - Azide and BSA Free [NBP2-74654]

Flow Cytometry: TSC22/TSC22D1 Antibody (OTI4H8) - Azide and BSA Free [NBP2-74654]

Flow Cytometry: TSC22/TSC22D1 Antibody (OTI4H8) - Azide and BSA Free [NBP2-74654] - Analysis of Jurkat cells, using TSC22D1 antibody,(Red), compared to a nonspecific negative control antibody (Blue).

Applications for TSC22/TSC22D1 Antibody (OTI4H8) - Azide and BSA Free

Application
Recommended Usage

Flow Cytometry

1:100

Immunohistochemistry

1:150

Western Blot

1:2000

Formulation, Preparation, and Storage

Purification

Immunogen affinity purified

Reconstitution

we recommend adding 100uL distilled water to a final antibody concentration of about 1 mg/mL. To use this carrier-free antibody for conjugation experiment, we strongly recommend performing another round of desalting process.

Formulation

Lyophilized from PBS (pH 7.3) with 8% Trehalose

Format

Azide and BSA Free

Preservative

No Preservative

Concentration

LYOPH mg/ml

Shipping

The product is shipped with polar packs. Upon receipt, store it immediately at the temperature recommended below.

Stability & Storage

Store at -20C. Avoid freeze-thaw cycles.

Background: TSC22

Transforming growth factor-beta-stimulated clone-22 (TSC-22) acts as a transcriptionalregulator to modulate cell growth and differentiation and cell death. TSC-22 contains a leucine zipper domain as well as a nuclear export signal, resulting in cytoplasmic localization in living cells. However, concomitant with the induction of apoptosis, TSC-22 translocates from the cytoplasm to the nucleus and shows transcriptional regulatory activity. TSC-22 acts as a major downstream component in the TGF-beta pathway, and also the PPARgamma signalling pathway. The association of these two pathways with tumor suppression, and the significant downregulation of TSC-22 mRNA in various cancer types, such as brain and salivary gland tumors, imply an antiproliferative role for TSC-22.

Long Name

TSC22 Domain Family, Member 1

Alternate Names

Egr5, TGFB1I4, TSC22D1

Gene Symbol

TSC22D1

Additional TSC22 Products

Product Documents for TSC22/TSC22D1 Antibody (OTI4H8) - Azide and BSA Free

Certificate of Analysis

To download a Certificate of Analysis, please enter a lot number in the search box below.

Product Specific Notices for TSC22/TSC22D1 Antibody (OTI4H8) - Azide and BSA Free

This product is for research use only and is not approved for use in humans or in clinical diagnosis. Primary Antibodies are guaranteed for 1 year from date of receipt.

Loading...
Loading...
Loading...
Loading...
Loading...
Loading...