Skip to main content

TSC21 Antibody - BSA Free

Novus Biologicals, part of Bio-Techne | Catalog # NBP1-91727

Novus Biologicals, part of Bio-Techne
Catalog #
Availability
Size / Price
Qty
Loading...
NBP1-91727-25ul
NBP1-91727

Key Product Details

Validated by

Orthogonal Validation

Species Reactivity

Human

Applications

Immunohistochemistry, Immunohistochemistry-Paraffin, Western Blot

Label

Unconjugated

Antibody Source

Polyclonal Rabbit IgG

Format

BSA Free

Concentration

Concentrations vary lot to lot. See vial label for concentration. If unlisted please contact technical services.

Product Specifications

Immunogen

This antibody was developed against Recombinant Protein corresponding to amino acids: PVDLDIYQSSHMVDYQPYRKHKYSRVTPQEQAKLDAQLRDKEFYRPIPNPNPKLTDGYPAFKRPHMTAKDLGLP

Clonality

Polyclonal

Host

Rabbit

Isotype

IgG

Scientific Data Images for TSC21 Antibody - BSA Free

Western Blot: TSC21 Antibody [NBP1-91727]

Western Blot: TSC21 Antibody [NBP1-91727]

Western Blot: TSC21 Antibody [NBP1-91727] - Analysis in control (vector only transfected HEK293T lysate) and TEX37 over-expression lysate (Co-expressed with a C-terminal myc-DDK tag (3.1 kDa) in mammalian HEK293T cells).
Immunohistochemistry-Paraffin: TSC21 Antibody [NBP1-91727]

Immunohistochemistry-Paraffin: TSC21 Antibody [NBP1-91727]

Immunohistochemistry-Paraffin: TSC21 Antibody [NBP1-91727] - Staining of human endometrium shows low expression as expected.
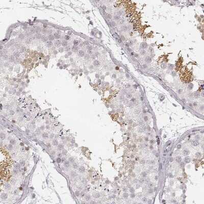
Immunohistochemistry-Paraffin: TSC21 Antibody [NBP1-91727]

Immunohistochemistry-Paraffin: TSC21 Antibody [NBP1-91727]

Immunohistochemistry-Paraffin: TSC21 Antibody [NBP1-91727] - Staining of human testis shows high expression.

Applications for TSC21 Antibody - BSA Free

Application
Recommended Usage

Immunohistochemistry

1:1000 - 1:2500

Immunohistochemistry-Paraffin

1:1000 - 1:2500

Western Blot

0.04-0.4 ug/ml
Application Notes
For IHC-Paraffin, HIER pH 6 retrieval is recommended.

Formulation, Preparation, and Storage

Purification

Affinity purified

Formulation

PBS (pH 7.2) and 40% Glycerol

Format

BSA Free

Preservative

0.02% Sodium Azide

Concentration

Concentrations vary lot to lot. See vial label for concentration. If unlisted please contact technical services.

Shipping

The product is shipped with polar packs. Upon receipt, store it immediately at the temperature recommended below.

Stability & Storage

Store at 4C short term. Aliquot and store at -20C long term. Avoid freeze-thaw cycles.

Background: TSC21

Alternate Names

chromosome 2 open reading frame 51, FLJ25369, protein TSC21, Testis-specific conserved protein of 21 kDa, TSC21

Gene Symbol

TEX37

Additional TSC21 Products

Product Documents for TSC21 Antibody - BSA Free

Certificate of Analysis

To download a Certificate of Analysis, please enter a lot number in the search box below.

Product Specific Notices for TSC21 Antibody - BSA Free

This product is for research use only and is not approved for use in humans or in clinical diagnosis. Primary Antibodies are guaranteed for 1 year from date of receipt.

Loading...
Loading...
Loading...
Loading...