Skip to main content

TSC1 Antibody (OTI3A2)

Novus Biologicals, part of Bio-Techne | Catalog # NBP2-46234

Novus Biologicals, part of Bio-Techne
Catalog #
Availability
Size / Price
Qty
Loading...
NBP2-46234
Conjugate
Catalog #

Key Product Details

Species Reactivity

Human, Mouse, Rat

Applications

Immunohistochemistry, Immunohistochemistry-Paraffin, Western Blot

Label

Unconjugated

Antibody Source

Monoclonal Mouse IgG2A Clone # OTI3A2

Concentration

1 mg/ml

Product Specifications

Immunogen

Human recombinant protein fragment corresponding to amino acids 836-1164 of human TSC1 (NP_000359) produced in E.coli.

Reactivity Notes

Please note that this antibody is reactive to Mouse and derived from the same host, Mouse. Mouse-On-Mouse blocking reagent may be needed for IHC and ICC experiments to reduce high background signal. You can find these reagents under catalog numbers PK-2200-NB and MP-2400-NB. Please contact Technical Support if you have any questions.

Clonality

Monoclonal

Host

Mouse

Isotype

IgG2A

Theoretical MW

129.6 kDa.
Disclaimer note: The observed molecular weight of the protein may vary from the listed predicted molecular weight due to post translational modifications, post translation cleavages, relative charges, and other experimental factors.

Scientific Data Images for TSC1 Antibody (OTI3A2)

Immunohistochemistry: TSC1 Antibody (OTI3A2) [NBP2-46234]

Immunohistochemistry: TSC1 Antibody (OTI3A2) [NBP2-46234]

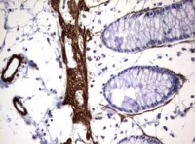
Immunohistochemistry: TSC1 Antibody (3A2) [NBP2-46234] - Analysis of Adenocarcinoma of Human colon tissue. (Heat-induced epitope retrieval by 10mM citric buffer, pH6.0, 120C for 3min)
Immunohistochemistry: TSC1 Antibody (OTI3A2) [NBP2-46234]

Immunohistochemistry: TSC1 Antibody (OTI3A2) [NBP2-46234]

Immunohistochemistry: TSC1 Antibody (3A2) [NBP2-46234] - Analysis of Carcinoma of Human prostate tissue. (Heat-induced epitope retrieval by 10mM citric buffer, pH6.0, 120C for 3min)
Immunohistochemistry: TSC1 Antibody (OTI3A2) [NBP2-46234]

Immunohistochemistry: TSC1 Antibody (OTI3A2) [NBP2-46234]

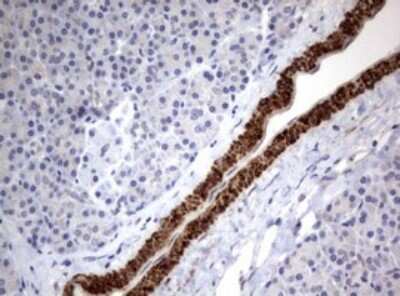
Immunohistochemistry: TSC1 Antibody (3A2) [NBP2-46234] - Analysis of Human prostate tissue. (Heat-induced epitope retrieval by 10mM citric buffer, pH6.0, 120C for 3min)

Applications for TSC1 Antibody (OTI3A2)

Application
Recommended Usage

Immunohistochemistry

1:150

Western Blot

1:2000

Formulation, Preparation, and Storage

Purification

Immunogen affinity purified

Formulation

PBS (pH 7.3), 1.0% BSA and 50% Glycerol

Preservative

0.02% Sodium Azide

Concentration

1 mg/ml

Shipping

The product is shipped with polar packs. Upon receipt, store it immediately at the temperature recommended below.

Stability & Storage

Store at -20C. Avoid freeze-thaw cycles.

Background: TSC1

Tuberous sclerosis complex (TSC) is an autosomal dominant tumor syndrome caused by mutations in either of the TSC1 or TSC2 tumor suppressor genes. The products of these genes form a protein complex that indirectly decreases the signaling of the mammalian Target of Rapamycin (TOR), an evolutionarily conserved serine/threonine kinase that regulates cell growth and cell cycle through its ability to integrate signals from nutrient levels and growth factors. TOR activity is stimulated by Rheb, a member of the Ras superfamily of G-proteins, when the GTP/GDP ratio bound to Rheb is high. Immunoprecipitated TSC1/TSC2 has been shown to stimulate Rheb GTPase activity in vitro, suggesting that the TSC1/TSC2 decreases the ability of Rheb to stimulate TOR activity. This is supported by experiments showing overexpression of TSC1 and TSC2 results in a significant decrease in the GTP/GDP ratio bound to Rheb and the inhibition of cell growth. A shorter 40 kDa isoform of TSC1 has been shown to exist but its function is unknown

Long Name

Tuberous Sclerosis 1

Alternate Names

Hamartin

Gene Symbol

TSC1

Additional TSC1 Products

Product Documents for TSC1 Antibody (OTI3A2)

Certificate of Analysis

To download a Certificate of Analysis, please enter a lot number in the search box below.

Product Specific Notices for TSC1 Antibody (OTI3A2)

This product is for research use only and is not approved for use in humans or in clinical diagnosis. Primary Antibodies are guaranteed for 1 year from date of receipt.

Loading...
Loading...
Loading...
Loading...