Tryptophanyl tRNA synthetase Antibody - BSA Free
Novus Biologicals, part of Bio-Techne | Catalog # NBP2-20744
Key Product Details
Validated by
Knockout/Knockdown
Species Reactivity
Human, Mouse, Rat
Applications
Immunohistochemistry, Immunohistochemistry-Paraffin, Western Blot
Label
Unconjugated
Antibody Source
Polyclonal Rabbit IgG
Format
BSA Free
Concentration
Concentrations vary lot to lot. See vial label for concentration. If unlisted please contact technical services.
Product Specifications
Immunogen
Recombinant fragment of human Tryptophanyl tRNA synthetase
Localization
Cytoplasm
Clonality
Polyclonal
Host
Rabbit
Isotype
IgG
Theoretical MW
53 kDa.
Disclaimer note: The observed molecular weight of the protein may vary from the listed predicted molecular weight due to post translational modifications, post translation cleavages, relative charges, and other experimental factors.
Disclaimer note: The observed molecular weight of the protein may vary from the listed predicted molecular weight due to post translational modifications, post translation cleavages, relative charges, and other experimental factors.
Description
Novus Biologicals Rabbit Tryptophanyl tRNA synthetase Antibody - BSA Free (NBP2-20744) is a polyclonal antibody validated for use in IHC and WB. All Novus Biologicals antibodies are covered by our 100% guarantee.
Scientific Data Images for Tryptophanyl tRNA synthetase Antibody - BSA Free
Western Blot: Tryptophanyl tRNA synthetase Antibody [NBP2-20744]
Western Blot: Tryptophanyl tRNA synthetase Antibody [NBP2-20744] - Sample (50 ug of whole cell lysate) A: Mouse Brain, 10% SDS PAGE gel, diluted at 1:1000.Immunohistochemistry-Paraffin: Tryptophanyl tRNA synthetase Antibody [NBP2-20744]
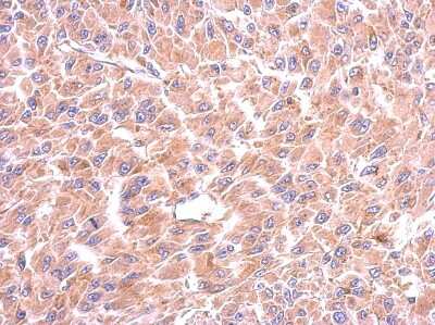
Immunohistochemistry-Paraffin: Tryptophanyl tRNA synthetase Antibody [NBP2-20744] - U87 xenograft, using Tryptophanyl tRNA synthetase antibody at 1:500 dilution.Antigen Retrieval: Trilogy™ (EDTA based, pH 8.0) buffer, 15min.Immunohistochemistry-Paraffin: Tryptophanyl tRNA synthetase Antibody [NBP2-20744]
Immunohistochemistry-Paraffin: Tryptophanyl tRNA synthetase Antibody [NBP2-20744] - Mouse prostate. Tryptophanyl tRNA synthetase antibody dilution: 1:500. Antigen Retrieval: Trilogy™ (EDTA based, pH 8.0) buffer, 15min.Applications for Tryptophanyl tRNA synthetase Antibody - BSA Free
Application
Recommended Usage
Immunohistochemistry
1:100-1:1000
Immunohistochemistry-Paraffin
1:100-1:1000
Western Blot
1:500-1:3000
Formulation, Preparation, and Storage
Purification
Protein A purified
Formulation
0.1M Tris, 0.1M Glycine, 10% Glycerol
Format
BSA Free
Preservative
0.01% Thimerosal
Concentration
Concentrations vary lot to lot. See vial label for concentration. If unlisted please contact technical services.
Shipping
The product is shipped with polar packs. Upon receipt, store it immediately at the temperature recommended below.
Stability & Storage
Aliquot and store at -20C or -80C. Avoid freeze-thaw cycles.
Background: Tryptophanyl tRNA synthetase
Alternate Names
EC 6.1.1, EC 6.1.1.2, GAMMA-2, hWRS, IFI53, IFP53trpRS, Interferon-induced protein 53, TrpRS, tryptophan tRNA ligase 1, cytoplasmic, Tryptophan--tRNA ligase, tryptophanyl-tRNA synthetase, tryptophanyl-tRNA synthetase, cytoplasmic, WRS
Gene Symbol
WARS1
UniProt
Additional Tryptophanyl tRNA synthetase Products
Product Documents for Tryptophanyl tRNA synthetase Antibody - BSA Free
Product Specific Notices for Tryptophanyl tRNA synthetase Antibody - BSA Free
This product is for research use only and is not approved for use in humans or in clinical diagnosis. Primary Antibodies are guaranteed for 1 year from date of receipt.
Loading...
Loading...
Loading...
Loading...
⚠ WARNING: This product can expose you to chemicals including mercury, which is known to the State of California to cause reproductive toxicity with developmental effects. For more information go to www.P65Warnings.ca.gov.