Skip to main content

TRPS1 Antibody (TRPS1/8008R) - Azide and BSA Free

Novus Biologicals, part of Bio-Techne | Catalog # NBP3-21052

Recombinant Monoclonal Antibody
Novus Biologicals, part of Bio-Techne

Key Product Details

Species Reactivity

Human

Applications

Immunohistochemistry-Paraffin

Label

Unconjugated

Antibody Source

Recombinant Monoclonal Rabbit IgG Kappa Clone # TRPS1/8008R

Format

Azide and BSA Free

Concentration

1 mg/ml

Product Specifications

Immunogen

Recombinant fragment (around aa900-1100) of human TRPS1 protein (exact sequence is proprietary)

Localization

Nucleus.

Clonality

Monoclonal

Host

Rabbit

Isotype

IgG Kappa

Description

Positive Controls: Human squamous epithelium, breast or breast cancer.

Antibody with azide - store at 2 to 8C. Antibody without azide - store at -20 to -80C. Non-hazardous. No MSDS required.

Scientific Data Images for TRPS1 Antibody (TRPS1/8008R) - Azide and BSA Free

TRPS1 Antibody (TRPS1/8008R) - Azide and BSA Free

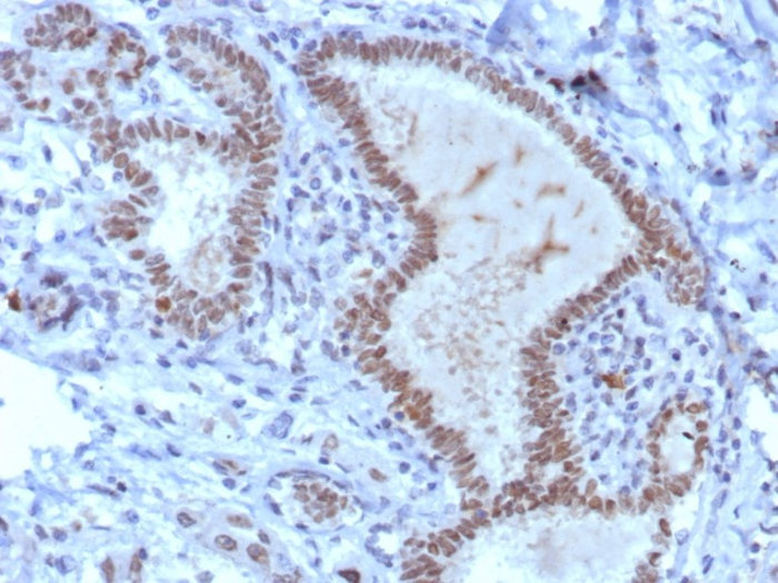
TRPS1 Antibody (TRPS1/8008R)

IHC analysis of formalin-fixed, paraffin-embedded human uterus. Strong nuclear staining using TRPS1 antibody (TRPS1/8008R) at 2ug/ml. HIER: Tris/EDTA, pH9.0, 45min. 2: HRP-polymer, 30min. DAB, 5min.
TRPS1 Antibody (TRPS1/8008R) - Azide and BSA Free

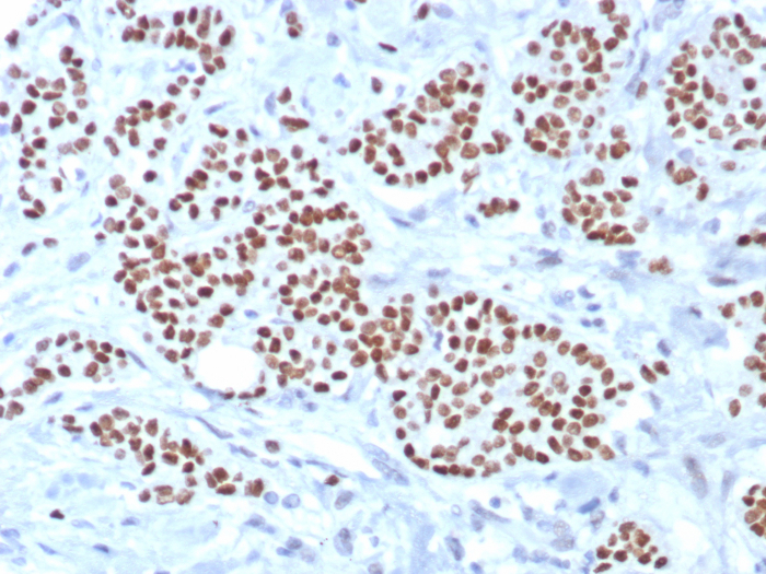
TRPS1 Antibody (TRPS1/8008R)

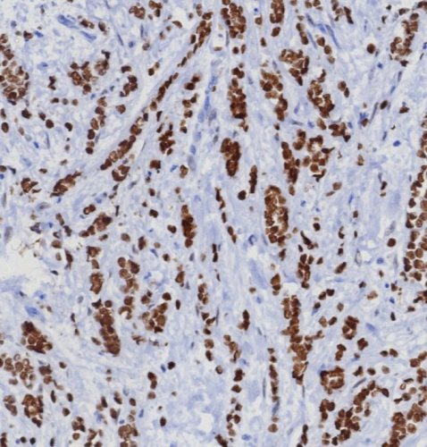
IHC analysis of formalin-fixed, paraffin-embedded human breast carcinoma. Strong nuclear staining using TRPS1 antibody (TRPS1/8008R) at 2ug/ml. HIER: Tris/EDTA, pH9.0, 45min. 2: HRP-polymer, 30min. DAB, 5min.
TRPS1 Antibody (TRPS1/8008R) - Azide and BSA Free

TRPS1 Antibody (TRPS1/8008R)

IHC analysis of formalin-fixed, paraffin-embedded human uterus. Strong nuclear staining using TRPS1 antibody (TRPS1/8008R) at 2ug/ml. HIER: Tris/EDTA, pH9.0, 45min. Secondary: HRP-polymer, 30min. DAB, 5min.

Applications for TRPS1 Antibody (TRPS1/8008R) - Azide and BSA Free

Application
Recommended Usage

Immunohistochemistry-Paraffin

1-2 ug/ml
Application Notes
Immunohistochemistry (Formalin-fixed): 1-2ug/ml for 30 minutes. at RT. Staining of formalin-fixed tissues requires heating tissue sections in 10mM Tris with 1mM EDTA, pH 9.0, for 45 min at 95C followed by cooling at RT for 20 minutes.

Optimal dilution for a specific application should be determined.

Formulation, Preparation, and Storage

Purification

Protein A or G purified

Formulation

10mM PBS

Format

Azide and BSA Free

Preservative

No Preservative

Concentration

1 mg/ml

Shipping

The product is shipped with polar packs. Upon receipt, store it immediately at the temperature recommended below.

Stability & Storage

Store at -20 to -70C. Avoid freeze-thaw cycles.

Background: TRPS1

The TRPS1 gene encodes a transcription factor that represses GATA-regulated genes and binds to a dynein light chain protein. Binding of the encoded protein to the dynein light chain protein affects binding to GATA consensus sequences and suppresses its transcr

Long Name

Tricho-rhino-phalangeal Syndrome Type I Protein

Alternate Names

GC79

Gene Symbol

TRPS1

Additional TRPS1 Products

Product Documents for TRPS1 Antibody (TRPS1/8008R) - Azide and BSA Free

Certificate of Analysis

To download a Certificate of Analysis, please enter a lot number in the search box below.

Product Specific Notices for TRPS1 Antibody (TRPS1/8008R) - Azide and BSA Free

This product is for research use only and is not approved for use in humans or in clinical diagnosis. Primary Antibodies are guaranteed for 1 year from date of receipt.

Loading...
Loading...
Loading...
Loading...