Skip to main content

TRPM2 Antibody - BSA Free

Novus Biologicals, part of Bio-Techne | Catalog # NBP2-48635

Novus Biologicals, part of Bio-Techne
Catalog #
Availability
Size / Price
Qty
Loading...
NBP2-48635
NBP2-48635-25ul

Key Product Details

Validated by

Orthogonal Validation

Species Reactivity

Validated:

Human

Predicted:

Mouse (91%), Rat (94%). Backed by our 100% Guarantee.

Applications

Immunohistochemistry, Immunohistochemistry-Paraffin

Label

Unconjugated

Antibody Source

Polyclonal Rabbit IgG

Format

BSA Free

Concentration

Concentrations vary lot to lot. See vial label for concentration. If unlisted please contact technical services.

Product Specifications

Immunogen

This antibody was developed against a recombinant protein corresponding to amino acids: RTRLEKFISEQTKERGGVAIKIPIVCVVLEGGPGTLHTIDNATTNGTPCVVVEGSGRVADVIAQVANLPVSDITISLIQQKLSVFFQEMFETFTESRIVEWTKKIQDIVRRRQLLTVFREGKDGQQDV

Clonality

Polyclonal

Host

Rabbit

Isotype

IgG

Description

Novus Biologicals Rabbit TRPM2 Antibody - BSA Free (NBP2-48635) is a polyclonal antibody validated for use in IHC. All Novus Biologicals antibodies are covered by our 100% guarantee.

Scientific Data Images for TRPM2 Antibody - BSA Free

Immunohistochemistry-Paraffin: TRPM2 Antibody [NBP2-48635]

Immunohistochemistry-Paraffin: TRPM2 Antibody [NBP2-48635]

Immunohistochemistry-Paraffin: TRPM2 Antibody [NBP2-48635] - Staining of human lymph node shows high expression.
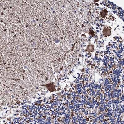
Immunohistochemistry: TRPM2 Antibody [NBP2-48635]

Immunohistochemistry: TRPM2 Antibody [NBP2-48635]

Immunohistochemistry: TRPM2 Antibody [NBP2-48635] - Staining of human cerebellum shows strong cytoplasmic positivity in Purkinje cells.
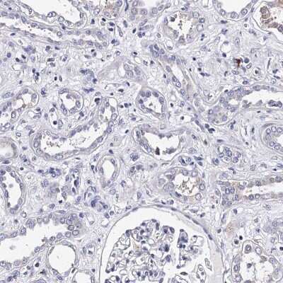
Immunohistochemistry-Paraffin: TRPM2 Antibody [NBP2-48635]

Immunohistochemistry-Paraffin: TRPM2 Antibody [NBP2-48635]

Immunohistochemistry-Paraffin: TRPM2 Antibody [NBP2-48635] - Staining of human kidney shows low expression as expected.

Applications for TRPM2 Antibody - BSA Free

Application
Recommended Usage

Immunohistochemistry

1:200 - 1:500

Immunohistochemistry-Paraffin

1:200 - 1:500
Application Notes
For IHC-Paraffin, HIER pH 6 retrieval is recommended.

Formulation, Preparation, and Storage

Purification

Affinity purified

Formulation

PBS (pH 7.2) and 40% Glycerol

Format

BSA Free

Preservative

0.02% Sodium Azide

Concentration

Concentrations vary lot to lot. See vial label for concentration. If unlisted please contact technical services.

Shipping

The product is shipped with polar packs. Upon receipt, store it immediately at the temperature recommended below.

Stability & Storage

Store at 4C short term. Aliquot and store at -20C long term. Avoid freeze-thaw cycles.

Background: TRPM2

TRPM2 belongs to the ion transport protein family. This family contains Sodium, Potassium, Calcium and ion channels. This family has 6 transmembrane helices in which the last two helices flank a loop which determines ion selectivity. TRPM2 is activated by oxidative stress and confers susceptibility to cell death.

Alternate Names

EC 3.6.1.13, EREG1MGC133383, Estrogen-responsive element-associated gene 1 protein, KNP3LTrpC-2, Long transient receptor potential channel 2, LTrpC2, LTRPC2TRPC7transient receptor potential cation channel subfamily M member 2, NUDT9H, NUDT9L1, transient receptor potential cation channel, subfamily M, member 2, Transient receptor potential channel 7, TrpC7

Gene Symbol

TRPM2

Additional TRPM2 Products

Product Documents for TRPM2 Antibody - BSA Free

Certificate of Analysis

To download a Certificate of Analysis, please enter a lot number in the search box below.

Product Specific Notices for TRPM2 Antibody - BSA Free

This product is for research use only and is not approved for use in humans or in clinical diagnosis. Primary Antibodies are guaranteed for 1 year from date of receipt.

Loading...
Loading...
Loading...
Loading...