Skip to main content

TRPM2 Antibody - BSA Free

Novus Biologicals, part of Bio-Techne | Catalog # NBP1-33416

Novus Biologicals, part of Bio-Techne
Catalog #
Availability
Size / Price
Qty
Loading...
NBP1-33416

Key Product Details

Species Reactivity

Validated:

Human, Rat

Predicted:

Mouse (90%). Backed by our 100% Guarantee.

Applications

Immunohistochemistry, Immunohistochemistry-Paraffin, Western Blot

Label

Unconjugated

Antibody Source

Polyclonal Rabbit IgG

Format

BSA Free

Concentration

Concentrations vary lot to lot. See vial label for concentration. If unlisted please contact technical services.

Product Specifications

Immunogen

Recombinant protein encompassing a sequence within the N-terminus region of human TRPM2. The exact sequence is proprietary.

Localization

Membrane, Multi-pass membrane protein

Clonality

Polyclonal

Host

Rabbit

Isotype

IgG

Theoretical MW

171 kDa.
Disclaimer note: The observed molecular weight of the protein may vary from the listed predicted molecular weight due to post translational modifications, post translation cleavages, relative charges, and other experimental factors.

Scientific Data Images for TRPM2 Antibody - BSA Free

Immunohistochemistry-Paraffin: TRPM2 Antibody [NBP1-33416]

Immunohistochemistry-Paraffin: TRPM2 Antibody [NBP1-33416]

Immunohistochemistry-Paraffin: TRPM2 Antibody [NBP1-33416] - Paraffin-embedded rat liver. TRPM2 antibody [N1N2-2], N-term diluted at 1:500.
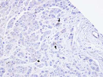
Immunohistochemistry-Paraffin: TRPM2 Antibody [NBP1-33416]

Immunohistochemistry-Paraffin: TRPM2 Antibody [NBP1-33416]

Immunohistochemistry-Paraffin: TRPM2 Antibody [NBP1-33416] - Paraffin-embedded MDAMB468 xenograft, using antibody at 1:100 dilution.
TRPM2 Antibody

Western Blot: TRPM2 Antibody [NBP1-33416] -

Western Blot: TRPM2 Antibody [NBP1-33416] - HepG2 whole cell and membrane extracts (30 ug) were separated by 5% SDS-PAGE, and the membrane was blotted with TRPM2 antibody [N1N2-2], N-term (NBP1-33416) diluted at 1:500. The HRP-conjugated anti-rabbit IgG antibody was used to detect the primary antibody, and the signal was developed with Trident ECL plus-Enhanced.

Applications for TRPM2 Antibody - BSA Free

Application
Recommended Usage

Immunohistochemistry

1:100-1:1000

Immunohistochemistry-Paraffin

1:100-1:1000

Western Blot

1:500-1:3000

Formulation, Preparation, and Storage

Purification

Antigen Affinity-purified

Formulation

PBS, 20% Glycerol

Format

BSA Free

Preservative

0.025% Proclin 300

Concentration

Concentrations vary lot to lot. See vial label for concentration. If unlisted please contact technical services.

Shipping

The product is shipped with polar packs. Upon receipt, store it immediately at the temperature recommended below.

Stability & Storage

Aliquot and store at -20C or -80C. Avoid freeze-thaw cycles.

Background: TRPM2

TRPM2 belongs to the ion transport protein family. This family contains Sodium, Potassium, Calcium and ion channels. This family has 6 transmembrane helices in which the last two helices flank a loop which determines ion selectivity. TRPM2 is activated by oxidative stress and confers susceptibility to cell death.

Alternate Names

EC 3.6.1.13, EREG1MGC133383, Estrogen-responsive element-associated gene 1 protein, KNP3LTrpC-2, Long transient receptor potential channel 2, LTrpC2, LTRPC2TRPC7transient receptor potential cation channel subfamily M member 2, NUDT9H, NUDT9L1, transient receptor potential cation channel, subfamily M, member 2, Transient receptor potential channel 7, TrpC7

Gene Symbol

TRPM2

Additional TRPM2 Products

Product Documents for TRPM2 Antibody - BSA Free

Certificate of Analysis

To download a Certificate of Analysis, please enter a lot number in the search box below.

Product Specific Notices for TRPM2 Antibody - BSA Free

This product is for research use only and is not approved for use in humans or in clinical diagnosis. Primary Antibodies are guaranteed for 1 year from date of receipt.

Loading...
Loading...
Loading...
Loading...