Skip to main content

TRPC3 Antibody - BSA Free

Novus Biologicals, part of Bio-Techne | Catalog # NBP1-77262

Novus Biologicals, part of Bio-Techne

Key Product Details

Species Reactivity

Validated:

Human, Mouse

Predicted:

Rat (100%). Backed by our 100% Guarantee.

Applications

Immunohistochemistry, Immunohistochemistry-Paraffin, Western Blot, ELISA, Immunocytochemistry/ Immunofluorescence

Label

Unconjugated

Antibody Source

Polyclonal Rabbit IgG

Format

BSA Free

Concentration

1 mg/ml

Product Specifications

Immunogen

Antibody was raised against a 14 amino acid synthetic peptide from near the carboxy terminus of human TRPC3. The immunogen is located within amino acids 760 - 810 of TRPC3. Amino Acid Squence: VDKENDEVNEGELK

Clonality

Polyclonal

Host

Rabbit

Isotype

IgG

Theoretical MW

96 kDa.
Disclaimer note: The observed molecular weight of the protein may vary from the listed predicted molecular weight due to post translational modifications, post translation cleavages, relative charges, and other experimental factors.

Description

Novus Biologicals Rabbit TRPC3 Antibody - BSA Free (NBP1-77262) is a polyclonal antibody validated for use in IHC, WB, ELISA and ICC/IF. All Novus Biologicals antibodies are covered by our 100% guarantee.

Scientific Data Images for TRPC3 Antibody - BSA Free

Western Blot: TRPC3 AntibodyBSA Free [NBP1-77262]

Western Blot: TRPC3 AntibodyBSA Free [NBP1-77262]

Western Blot: TRPC3 Antibody [NBP1-77262] - Human brain tissue lysate. (A) 1 and (B) 2 ug/mL.
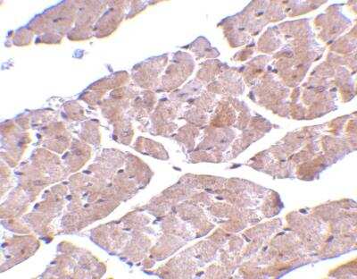
Immunohistochemistry-Paraffin: TRPC3 Antibody - BSA Free [NBP1-77262]

Immunohistochemistry-Paraffin: TRPC3 Antibody - BSA Free [NBP1-77262]

Immunohistochemistry-Paraffin: TRPC3 Antibody [NBP1-77262] - Mouse heart tissue with TRPC3 antibody at 2 ug/mL.
TRPC3 Antibody - BSA Free

Immunocytochemistry/ Immunofluorescence: TRPC3 Antibody - BSA Free [NBP1-77262] -

Immunocytochemistry/ Immunofluorescence: TRPC3 Antibody - BSA Free [NBP1-77262] - Immunofluorescence of TRPC3 in Mouse Heart cells with TRPC3 antibody at 20 ug/mL.

Applications for TRPC3 Antibody - BSA Free

Application
Recommended Usage

ELISA

1:100-1:2000

Immunocytochemistry/ Immunofluorescence

20 ug/mL

Immunohistochemistry

2 ug/ml

Immunohistochemistry-Paraffin

2 ug/ml

Western Blot

1-2 ug/ml

Formulation, Preparation, and Storage

Purification

Peptide affinity purified

Formulation

PBS

Format

BSA Free

Preservative

0.02% Sodium Azide

Concentration

1 mg/ml

Shipping

The product is shipped with polar packs. Upon receipt, store it immediately at the temperature recommended below.

Stability & Storage

Store at 4C.

Background: TRPC3

The mammalian transient receptor potential (TRP) superfamily can be divided into three major families including the canonical TRP (TRPC) family. The seven members of this family share the activation through PLC-coupled receptors and have been suggested to be components of receptor-regulated cation channels in different cell types. Furthermore, the members of the TRPC3/6/7 subfamily can be activated by diacylglycerol analogs, suggesting a possible mechanism of activation of these channels by PLC-coupled receptors. TRPC3 encodes a Ca2+-permeant channel that is agonist-activated but not store-operated or directly receptor-activated. TRPC3 physically interacts with TRPC6 and TRPC7 and forms functional tetrameric channels.

Long Name

Short transient receptor potential channel 3

Alternate Names

hTrp-3, hTrp3, TRP-3, TRP3

Entrez Gene IDs

7222 (Human)

Gene Symbol

TRPC3

UniProt

Additional TRPC3 Products

Product Documents for TRPC3 Antibody - BSA Free

Certificate of Analysis

To download a Certificate of Analysis, please enter a lot number in the search box below.

Product Specific Notices for TRPC3 Antibody - BSA Free

This product is for research use only and is not approved for use in humans or in clinical diagnosis. Primary Antibodies are guaranteed for 1 year from date of receipt.

Loading...
Loading...
Loading...
Loading...
Loading...