Skip to main content

TRMT9B Antibody - BSA Free

Novus Biologicals, part of Bio-Techne | Catalog # NBP1-87541

Novus Biologicals, part of Bio-Techne
Catalog #
Availability
Size / Price
Qty
Loading...
NBP1-87541
NBP1-87541-25ul

Key Product Details

Species Reactivity

Human

Applications

Immunohistochemistry, Immunohistochemistry-Paraffin, Immunocytochemistry/ Immunofluorescence

Label

Unconjugated

Antibody Source

Polyclonal Rabbit IgG

Format

BSA Free

Concentration

Concentrations vary lot to lot. See vial label for concentration. If unlisted please contact technical services.

Product Specifications

Immunogen

This antibody was developed against Recombinant Protein corresponding to amino acids: HPPCSECSCSVCFKEQCGSKRSHSVGYEPAMARTCFANISKEGEEEYGFYSTLGKSFRSWFFSRSLDESTL

Clonality

Polyclonal

Host

Rabbit

Isotype

IgG

Scientific Data Images for TRMT9B Antibody - BSA Free

Immunocytochemistry/ Immunofluorescence: TRMT9B Antibody [NBP1-87541]

Immunocytochemistry/ Immunofluorescence: TRMT9B Antibody [NBP1-87541]

Immunocytochemistry/Immunofluorescence: C8orf79 Antibody [NBP1-87541] - Staining of human cell line BJ shows localization to nucleoplasm & cytosol. Antibody staining is shown in green.
Immunohistochemistry-Paraffin: TRMT9B Antibody [NBP1-87541]

Immunohistochemistry-Paraffin: TRMT9B Antibody [NBP1-87541]

Immunohistochemistry-Paraffin: C8orf79 Antibody [NBP1-87541] - Staining of human pancreas shows very weak cytoplasmic positivity in exocrine glandular cells.
Immunohistochemistry-Paraffin: TRMT9B Antibody [NBP1-87541]

Immunohistochemistry-Paraffin: TRMT9B Antibody [NBP1-87541]

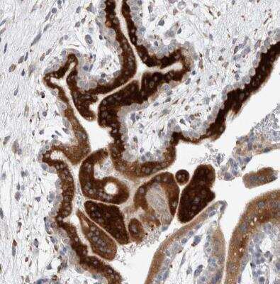
Immunohistochemistry-Paraffin: C8orf79 Antibody [NBP1-87541] - Staining of human thyroid gland shows strong cytoplasmic positivity in glandular cells.

Applications for TRMT9B Antibody - BSA Free

Application
Recommended Usage

Immunocytochemistry/ Immunofluorescence

0.25-2 ug/ml

Immunohistochemistry

1:20 - 1:50

Immunohistochemistry-Paraffin

1:20 - 1:50
Application Notes
For IHC-Paraffin, HIER pH 6 retrieval is recommended. ICC/IF Fixation Permeabilization: Use PFA/Triton X-100.

Formulation, Preparation, and Storage

Purification

Affinity purified

Formulation

PBS (pH 7.2) and 40% Glycerol

Format

BSA Free

Preservative

0.02% Sodium Azide

Concentration

Concentrations vary lot to lot. See vial label for concentration. If unlisted please contact technical services.

Shipping

The product is shipped with polar packs. Upon receipt, store it immediately at the temperature recommended below.

Stability & Storage

Store at 4C short term. Aliquot and store at -20C long term. Avoid freeze-thaw cycles.

Background: TRMT9B

Alternate Names

C8orf79, EC 2.1.1.-, KIAA1456

Gene Symbol

TRMT9B

Additional TRMT9B Products

Product Documents for TRMT9B Antibody - BSA Free

Certificate of Analysis

To download a Certificate of Analysis, please enter a lot number in the search box below.

Product Specific Notices for TRMT9B Antibody - BSA Free

This product is for research use only and is not approved for use in humans or in clinical diagnosis. Primary Antibodies are guaranteed for 1 year from date of receipt.

Loading...
Loading...
Loading...
Loading...