Skip to main content

TRM11 Antibody - BSA Free

Novus Biologicals, part of Bio-Techne | Catalog # NBP3-45726

Novus Biologicals, part of Bio-Techne
Catalog #
Availability
Size / Price
Qty
Loading...
NBP3-45726

Key Product Details

Species Reactivity

Human, Mouse, Rat

Applications

Immunohistochemistry, Western Blot, ELISA, Immunocytochemistry/ Immunofluorescence

Label

Unconjugated

Antibody Source

Polyclonal Rabbit IgG

Format

BSA Free

Concentration

Please see the vial label for concentration. If unlisted please contact technical services.

Product Specifications

Immunogen

tRNA methyltransferase 11 homolog. (Uniprot# Q7Z4G4)

Clonality

Polyclonal

Host

Rabbit

Isotype

IgG

Theoretical MW

53 kDa.
Disclaimer note: The observed molecular weight of the protein may vary from the listed predicted molecular weight due to post translational modifications, post translation cleavages, relative charges, and other experimental factors.

Description

Novus Biologicals Rabbit TRM11 Antibody - BSA Free (NBP3-45726) is a polyclonal antibody validated for use in IHC, WB, ELISA and ICC/IF. All Novus Biologicals antibodies are covered by our 100% guarantee.

Scientific Data Images for TRM11 Antibody - BSA Free

TRM11 Antibody - BSA Free

Western Blot: TRM11 Antibody - BSA Free [NBP3-45726] -

Western Blot: TRM11 Antibody - BSA Free [NBP3-45726] - Mouse uterus tissue were subjected to SDS PAGE followed by western blot with (TRM11 antibody) at dilution of 1:400
TRM11 Antibody - BSA Free

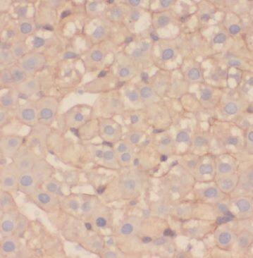
Immunohistochemistry: TRM11 Antibody - BSA Free [NBP3-45726] -

Immunohistochemistry: TRM11 Antibody - BSA Free [NBP3-45726] - Immunohistochemistry of paraffin-embedded human liver using (TRM11 antibody) at dilution of 1:50

Applications for TRM11 Antibody - BSA Free

Application
Recommended Usage

Immunocytochemistry/ Immunofluorescence

1:10-1:100

Immunohistochemistry

1:20-1:200

Western Blot

1:500-1:5000

Formulation, Preparation, and Storage

Purification

Immunogen affinity purified

Formulation

PBS, 50% Glycerol, pH (7.3)

Format

BSA Free

Preservative

0.02% Sodium Azide

Concentration

Please see the vial label for concentration. If unlisted please contact technical services.

Shipping

The product is shipped with polar packs. Upon receipt, store it immediately at the temperature recommended below.

Stability & Storage

Store at -20C. Avoid freeze-thaw cycles.

Background: TRM11

Catalytic subunit of an S-adenosyl-L-methionine-dependent tRNA methyltransferase complex that mediates themethylation of the guanosine nucleotide at position 10 (m2G10) in tRNAs

Alternate Names

C6orf75, chromosome 6 open reading frame 75, dJ187J11.2, EC 2.1.1, EC 2.1.1.-, EC 2.1.1.113, MDS024, TRM11, TRMT11-1, tRNA guanosine-2'-O-methyltransferase TRM11 homolog, tRNA methyltransferase 11 homolog (S. cerevisiae)

Gene Symbol

TRMT11

Additional TRM11 Products

Product Documents for TRM11 Antibody - BSA Free

Certificate of Analysis

To download a Certificate of Analysis, please enter a lot number in the search box below.

Product Specific Notices for TRM11 Antibody - BSA Free

This product is for research use only and is not approved for use in humans or in clinical diagnosis. Primary Antibodies are guaranteed for 1 year from date of receipt.

Loading...
Loading...
Loading...
Loading...